A 37-year-old woman comes to the physician because of a 6-week history of pain and swelling of her hands, wrists, and knees. Physical examination shows swelling, warmth, and tenderness of several metacarpal, phalangeal, and proximal interphalangeal joints bilaterally and of the wrists and knees. Serum studies show rheumatoid factor and anticyclic citrullinated polypeptide antibodies. Administration of prednisone results in clinical improvement. Which of the following is the most likely mechanism of the beneficial effect of this drug in this patient?
Correct
Incorrect
Question 2 of 50
2. Question
An 18-year-old man has recurrent hematuria and a serum creatinine concentration of 1.2 mg/dL. Results of immunofluorescence studies for immunoglobulin heavy chains of a glomerulus are shown. Which of the following is the most likely diagnosis?
Correct
Incorrect
Question 3 of 50
3. Question
A 40-year-old man who lives in Rhode Island comes to the physician because of intermittent fever and marked fatigue over the past 6 months. He is a frequent hunter and has had numerous tick bites on recent hunting trips. He had a splenectomy at age 15 years after an automobile collision; he received numerous blood transfusions during that hospitalization. His temperature now is 37°C (98.6°F), pulse is 84/min, respirations are 20/min, and blood pressure is 130/80 mm Hg. Physical examination shows mild jaundice and an evanescent, slightly erythematous, and pruritic rash. The liver is tender and palpated 6 cm below the right costal margin. Serum transaminase activities are increased. A peripheral blood smear shows schistocytes and numerous ring-like structures within erythrocytes, several of which show tetrad formations. Which of the following is the most likely causal organism?
Correct
Incorrect
Question 4 of 50
4. Question
The mother of a 13-year-old boy calls the physician to seek advice. She says, “I just caught my son smoking. I am so upset. Since he’s been able to talk, I’ve told him over and over again that smoking is bad. When he was 7 years old, he would even embarrass me in restaurants complaining about other people smoking. No one has ever smoked in our house. Now he’s doing it. I’ve tried to talk to him and he just won’t answer me. What can I do to make him stop?” When advising the mother on how to get her son to stop smoking, which of the following actions on her part will have the greatest impact?
Correct
Incorrect
Question 5 of 50
5. Question
A 35-year-old primigravid woman at 17 weeks’ gestation comes to the office because of a 3-week history of mild pain in her arms and hands. The pain increases in severity with physical activity and keeps her awake at night. She notes mild weakness when gripping small objects. Pregnancy has been uncomplicated. She has no history of serious illness, and her only medication is a prenatal vitamin. Physical examination shows a uterus consistent in size with a 17-week gestation. Which of the following additional physical findings is most likely in this patient?
Correct
Incorrect
Question 6 of 50
6. Question
A 27-year-old woman at 12 weeks’ gestation comes to the physician because of a 3-day history of weakness and fatigue. She has hypertension treated with methyldopa for the past year. Her blood pressure today is 120/70 mm Hg. Physical examination shows pallor and a uterus consistent in size with a 12-week gestation. Laboratory studies show a hemoglobin concentration of 9 g/dL, hematocrit of 40%, reticulocyte count of 15%, and spherocytosis. A direct antiglobulin (Coombs) test result is positive. Which of the following is the most likely cause of the anemia in this patient?
Correct
Incorrect
Question 7 of 50
7. Question
A 25-year-old man comes to the physician because of thickening of his skin, diarrhea, and weight loss during the past 6 months. Physical examination shows generalized hyperkeratotic skin lesions. Serum concentrations of antiendomysial and anti-tissue transglutaminase antibodies are increased. Stool analysis shows an increased fat concentration. Which of the following is the most likely mechanism of the deficiency causing this patient’s skin lesions?
Correct
Incorrect
Question 8 of 50
8. Question
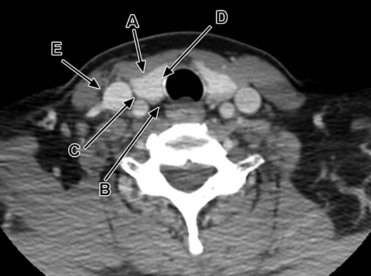
A 58-year-old woman comes to the physician because of a 6-month history of fatigue and muscle weakness. Physical examination shows no abnormalities. Serum studies show a calcium concentration of 11.8 mg/dL and intact parathyroid hormone concentration of 340 pg/mL. A nuclear parathyroid scan is shown; the arrow indicates a parathyroid adenoma in the region of the right lower pole of the thyroid gland. This adenoma is most likely located in which of the following labeled areas of the axial CT scan of the thyroid gland?
Correct
Incorrect
Question 9 of 50
9. Question
A 13-year-old girl is brought to the physician because of a 2-week history of fever, sore throat, palpitations, and intermittent pain and swelling of multiple joints. She does not appear to be in acute distress. Her temperature is 38.3°C (100.9°F), pulse is 110/min, respirations are 16/min, and blood pressure is 126/84 mm Hg. Physical examination shows a pericardial friction rub, a grade 2/6 holosystolic murmur, and redness and swelling of the left knee. Laboratory studies show an increased erythrocyte sedimentation rate and antistreptolysin O antibodies. A throat culture grows no organisms. A chest x-ray shows cardiomegaly. Echocardiography shows multiple 0.3-cm vegetations on the mitral valve. Which of the following best describes the pathogenesis of the valvular heart disease in this patient?
Correct
Incorrect
Question 10 of 50
10. Question
A 35-year-old man is brought to the emergency department 1 hour after the police found him collapsed and unresponsive in an alleyway. He is known to have alcohol use disorder and use intravenous illicit drugs. Physical examination shows jaundice and multiple widespread cutaneous ecchymoses. Laboratory studies show a platelet count of 160,000/mm3, prothrombin time of 20 seconds (INR=3), and partial thromboplastin time of 55 seconds. Test of the stool for occult blood is positive. Which of the following steps in procoagulant protein synthesis is most likely defective in this patient?
Correct
Incorrect
Question 11 of 50
11. Question
A 47-year-old man is diagnosed with acute myelogenous leukemia. He has no personal or family history of major medical illness. He has never smoked. He has worked at a local oil refinery for the past 20 years. The patient believes that his leukemia was caused by exposure to chemicals at his job. He tells the physician, “If you write a letter to my employer stating that my illness was caused by something I was exposed to at my job, then workers’ compensation will pay for my treatment and provide me with some income to help care for my family. Can you help me?” Which of the following is the most appropriate initial response by the physician?
Correct
Incorrect
Question 12 of 50
12. Question
A 4-year-old boy is brought to a clinic in Thailand because of a 6-hour history of profuse diarrhea. His mother says that their only source of water is a stream. His temperature is 37°C (98.6°F), pulse is 120/min, respirations are 28/min, and palpable systolic blood pressure is 60 mm Hg. Physical examination shows severe volume depletion. Fresh stool analysis shows motile, curved, gram-negative rods with flagella. Which of the following best describes the mechanism of action of the toxin of the causal organism?
Correct
Incorrect
Question 13 of 50
13. Question
A 21-year-old man is brought to the emergency department 30 minutes after fainting while playing basketball. There was no trauma or evidence of seizure activity when he fainted. He has a history of a benign, low-grade cardiac murmur that had been attributed to his fitness as an athlete. He is now conscious. His temperature is 37.6°C (99.6°F), pulse is 62/min, respirations are 12/min, and blood pressure is 122/70 mm Hg. There is no cyanosis. The lungs are clear. Cardiac examination shows a double impulse over the carotid arteries. There are normal pulses in the extremities. S1 and S2 are normal, but there is a grade 3/6, systolic ejection murmur heard best in the second intercostal space at the left parasternal border and into the apex. The murmur increases in intensity on Valsalva maneuver. Which of the following is the most likely cause of this patient’s murmur?
Correct
Incorrect
Question 14 of 50
14. Question
A 65-year-old man has a 7-month history of fatigue and abdominal discomfort. Examination shows splenomegaly and hepatomegaly. A complete blood count shows anemia, teardrop erythrocytes, and a leukoerythroblastic reaction. A bone marrow biopsy shows myelofibrosis. Which of the following findings is most likely to be seen on microscopic examination of tissue from the spleen?
Correct
Incorrect
Question 15 of 50
15. Question
A 28-year-old woman comes to the physician because of insomnia since her fiancé suddenly broke off their engagement 10 days ago. She has difficulty falling asleep, but once she is asleep she usually sleeps well. Taking hot baths, drinking chamomile tea, and listening to soothing music before bed have not resulted in relief. She states that her lack of sleep is beginning to affect her performance at work, and she asks for medication to help her temporarily. If the physician determines that pharmacotherapy to help this patient sleep is indicated, the most appropriate medication has which of the following mechanisms of action?
Correct
Incorrect
Question 16 of 50
16. Question
A 22-year-old man comes to the emergency department 30 minutes after his left forearm was slashed with a pocketknife during a bar fight. Continuous application of pressure to the affected area has not resolved the profuse bleeding. His pulse is 140/min, and blood pressure is 100/65 mm Hg. Physical examination shows pale conjunctivae. Examination of the left upper extremity shows a 3-cm laceration that is oriented transversely over the palmar aspect of the distal forearm and located 2 cm proximal to the distal palmar wrist crease. He is unable to abduct the left thumb or flex the metacarpophalangeal or proximal interphalangeal joints of the index and middle fingers. He is able to flex the distal interphalangeal joints of all digits, including the thumb. Sensation to pinprick is decreased over the palmar aspect of the thumb and index and middle fingers. Capillary refill time is normal for all digits. Doppler pulse evaluation of the superficial palmar arch shows an intact signal. A median nerve injury is suspected. Which of the following tendons also is most likely injured in this patient?
Correct
Incorrect
Question 17 of 50
17. Question
A 35-year-old woman comes to the physician for a follow-up examination. Three months ago she underwent operative removal of a catecholamine-secreting tumor from the right adrenal gland. Her mother has retinal angiomas and her maternal grandfather had a hemangioblastoma of the cerebellum. Physical examination shows a well-healed laparoscopic scar on the abdomen. This patient most likely has a mutation of which of the following genes?
Correct
Incorrect
Question 18 of 50
18. Question
A 32-year-old man comes to the physician because of a 2-month history of intermittent diarrhea and nausea without vomiting. The symptoms occur in the mornings before work and sometimes cause him to be late or stay home. The diarrhea is brown and loose with no traces of blood. The symptoms subside on the weekends. Physical examination shows no abnormalities. Which of the following questions by the physician is most likely to be helpful in establishing the diagnosis?
Correct
Incorrect
Question 19 of 50
19. Question
A 10-year-old African American boy is brought to the emergency department because of a 4-hour history of severe abdominal pain. He appears in acute distress. Physical examination shows pale mucous membranes. Bowel sounds are normal, and there is no rebound tenderness. His hemoglobin concentration is 8 g/dL and hematocrit is 25%. A photomicrograph of a peripheral blood smear is shown. Which of the following hemoglobin abnormalities is the most likely cause of the findings in this patient?
Correct
Incorrect
Question 20 of 50
20. Question
A 36-year-old woman comes to the office because of a 1-year history of progressive fatigue and weakness as well as decreased appetite and intermittent nausea. She also has had a 5-kg (11-lb) weight loss during this time. Vital signs are within normal limits. Physical examination shows no abnormalities. Results of laboratory studies are shown:
Hemoglobin
11.6 g/dL
Hematocrit
34%
Serum
Na+
132 mEq/L
K+
5.7 mEq/L
Glucose [fasting]
55 mg/dL
Adrenocorticotropic hormone
300 pg/mL (N<120)
Which of the following histopathologic changes is most likely in this patient’s adrenal cortex?
Correct
Incorrect
Question 21 of 50
21. Question
A 40-year-old woman comes to the physician after skin blisters appeared following exposure to the sun 2 days ago. Physical examination shows vesicles and bullae on the face, hands, upper and lower extremities, and feet. Urine studies show increased concentrations of porphyrins. This patient most likely has a defect in which of the following biochemical pathways?
Correct
Incorrect
Question 22 of 50
22. Question
A 7-year-old girl is brought to the physician by her mother because of a 5-day history of nasal congestion, sore throat, nonproductive cough, and malaise. Evaluation shows an upper respiratory tract infection. The physician advises the mother that the patient should begin feeling better during the next few days with continued rest; he also tells the mother to ensure that the patient drinks plenty of fluids so that she stays well hydrated. The mother asks the physician, “Aren’t you going to give her an antibiotic?” The physician declines, telling the mother that an antibiotic is not necessary in this case. The mother angrily responds, “Look, I know my daughter, and I know that she needs an antibiotic.” Which of the following is the most appropriate initial response by the physician?
Correct
Incorrect
Question 23 of 50
23. Question
A 58-year-old man occasionally takes a vasodilator drug sublingually to relieve chest pain due to angina pectoris. After taking this drug, the activity of which of the following enzymes is most likely increased in the coronary vascular smooth muscle cells of this patient?
Correct
Incorrect
Question 24 of 50
24. Question
A 60-year-old man with a history of angina pectoris well controlled with nitroglycerin comes to the physician because of a 6-month history of intermittent erectile dysfunction. He tells the physician that he no longer feels like a real man and is too embarrassed to discuss the situation with his wife. He underwent successful coronary artery bypass grafting 5 years ago. Medications include one aspirin each morning. He asks the physician for a prescription for sildenafil. Which of the following is the most appropriate response by the physician?
Correct
Incorrect
Question 25 of 50
25. Question
A 6-year-old boy has had progressive fatigue and weakness over the past several months. Examination indicates both cardiac and skeletal muscle involvement. Microscopic examination of skeletal muscle tissue obtained on biopsy shows ragged red fibers. The most likely cause of his condition is a defect in which of the following organelles?
Correct
Incorrect
Question 26 of 50
26. Question
A 5-month-old girl is brought to the emergency department by her parents in January because of a 2-day history of runny nose and cough followed by fever; noisy, rapid breathing; and difficulty feeding. She was delivered at 28 weeks’ gestation. Her temperature is 38.8°C (101.8°F), pulse is 155/min, and respirations are 38/min. Pulse oximetry on room air shows an oxygen saturation of 92%. Physical examination shows nasal flaring and intercostal and supraclavicular retractions. Scattered wheezes are heard over all lung fields. The clinical picture in this patient is best explained by attachment of the causal infectious agent to the epithelium of which of the following structures?
Correct
Incorrect
Question 27 of 50
27. Question
A 64-year-old woman comes to the office because of a 2-year history of joint pain and stiffness in her knees, which has resulted in decreased mobility. Examination of the right knee shows diminished range of motion; passive and active flexion of the knee elicits pain. Examination of the left knee shows similar but milder findings. Arthroscopic examination of the knee joints would most likely show which of the following?
Correct
Incorrect
Question 28 of 50
28. Question
A 46-year-old man with AIDS is admitted to the hospital because of fever and severe shortness of breath. He has no known allergies. His temperature is 37.6°C (99.7°F), pulse is 92/min, respirations are 32/min, and blood pressure is 110/70 mm Hg. Breath sounds are decreased. There is dullness to percussion in all lung fields. Immunofluorescent staining of a sediment obtained via bronchoalveolar lavage is positive for Pneumocystis jirovecii. The most appropriate pharmacotherapy for this patient is a drug that inhibits which of the following?
Correct
Incorrect
Question 29 of 50
29. Question
During a clinical study of an Ashkenazi Jewish population, Tay-Sachs disease is found to have an incidence of 1 in 3900 children. Which of the following is the approximate heterozygote frequency in this population?
Correct
Incorrect
Question 30 of 50
30. Question
A 45-year-old woman comes to the emergency department 8 hours after developing nausea, vomiting, and severe abdominal pain that radiates to the back. She has a history of several similar episodes during the past year, usually lasting 1 to 2 hours. She has type 2 diabetes mellitus, osteoarthritis, and hypertension. Current medications include ibuprofen, glyburide, and hydrochlorothiazide. She is 173 cm (5 ft 8 in) tall and weighs 93 kg (205 lb); BMI is 31 kg/m2. Her temperature is 37.5°C (99.5°F), pulse is 110/min, and blood pressure is 140/90 mm Hg. Physical examination shows scleral icterus. There is tenderness of the right upper quadrant of the abdomen with no masses. Laboratory studies show:
Hemoglobin
13 g/dL
Hematocrit
39%
Leukocyte count
12,000/mm3
Serum
Urea nitrogen
20 mg/dL
Creatinine
1.2 mg/dL
Total bilirubin
4.6 mg/dL
ALT
100 U/L
Amylase
1000 U/L
Which of the following is the most likely cause of these findings?
Correct
Incorrect
Question 31 of 50
31. Question
A 4.6-kg (10-lb) female newborn is delivered at 38 weeks’ gestation to a 28-year-old woman. The mother has had type 1 diabetes mellitus since the age of 12 years, and was treated with insulin during the pregnancy. Her hemoglobin A1c was 11%. The newborn appears large. Physical examination shows a plethoric face. This newborn is most immediately at risk for hypoglycemia because of which of the following?
Correct
Incorrect
Question 32 of 50
32. Question
A 6-month-old infant has a convulsion 2 days after starting antibiotic therapy and intravenous fluids for bacterial meningitis. Laboratory evaluation shows:
Serum
Na+
115 mEq/L
K+
4.2 mEq/L
Glucose
140 mg/dL
Osmolality
227 mOsmol/kg
Urine osmolality
700 mOsmol/kg
Which of the following is the most likely diagnosis?
Correct
Incorrect
Question 33 of 50
33. Question
A 24-year-old man with dislocated lenses, tall stature, scoliosis, and a dilated aortic root is found to have a mutation in the fibrillin gene on chromosome 15. Which of the following terms best explains the assortment of features seen with this gene abnormality?
Correct
Incorrect
Question 34 of 50
34. Question
A female infant dies at the age of 2 months. She underwent closure of a lumbar myelomeningocele 24 hours after birth. A photograph of a sagittal section of the brain is shown. Which of the following is most likely present in this infant’s brain?
Correct
Incorrect
Question 35 of 50
35. Question
A 32-year-old man with type 1 diabetes mellitus comes to the physician for a routine examination. This morning he took his usual dose of insulin (12 units of short-acting insulin and 24 units of long-acting insulin), but he did not eat breakfast. At 11 am, his blood glucose concentration is 45 mg/dL. Which of the following organs is most likely to be adversely affected in this patient?
Correct
Incorrect
Question 36 of 50
36. Question
A study is being planned to evaluate cigarette smoking prevalence. Which of the following approaches is most likely to give the best estimate among adults between the ages of 18 and 65 years in a large city?
Correct
Incorrect
Question 37 of 50
37. Question
A 58-year-old woman comes to the physician for a follow-up examination after she was found to have an intraocular pressure of 30 mm Hg in the left eye and 31 mm Hg in the right eye. A drug is administered that increases the outflow of aqueous humor. This drug is most likely which of the following?
Correct
Incorrect
Question 38 of 50
38. Question
A 45-year-old man is brought to the emergency department 30 minutes after being stabbed in the chest with a knife. Physical examination shows a 10-inch knife protruding from the chest in the fourth intercostal space along the left sternal border. The knife most likely passed through which of the following structures (from first to last)?
Correct
Incorrect
Question 39 of 50
39. Question
A 3-year-old boy and girl who are fraternal twins are brought to a new physician for a scheduled examination. The mother estimates that she drank 3 to 5 beers daily and had wine or hard liquor 2 to 3 times weekly throughout the pregnancy. The girl has unusual facies, delayed growth, and intellectual developmental disorder consistent with the diagnosis of fetal alcohol syndrome. The boy has only minor behavior problems. Which of the following is the most likely explanation for these discordant findings?
Correct
Incorrect
Question 40 of 50
40. Question
A 49-year-old man comes to the physician because of a 2-month history of progressive fatigue. He also has had a 6.8-kg (15-lb) weight loss during the past 4 months. He has smoked 1 pack of cigarettes daily for 30 years. His blood pressure is 162/92 mm Hg. Physical examination shows mild, right-sided costovertebral angle tenderness. Laboratory studies show:
Hemoglobin
18.5 g/dL
Hematocrit
56%
Leukocyte count
24,000/mm3
Serum Ca2+
11.3 mg/dL
A chest x-ray shows two small peripheral masses in the right lower lung lobe. Fine-needle aspiration of one mass shows a malignant clear cell tumor containing a spindle cell component. Tumor cells express cytokeratin, carcinoembryonic antigen, and epithelial membrane antigen, but they do not express thyroid transcription factor-1 or S-100. Which of the following is the most likely diagnosis?
Correct
Incorrect
Question 41 of 50
41. Question
A 70-year-old man comes to the physician because of a 2-week history of urinary frequency and pain with urination. As a result, he decreased his fluid intake 1 week ago. Three weeks ago, he underwent a biopsy of the prostate after he was found to have an enlarged prostate and an increased prostate-specific antigen concentration. Results of the biopsy showed hyperplasia. His vital signs are within normal limits. Physical examination shows suprapubic tenderness. Urinalysis shows 15 WBC/hpf and greater than 100,000 gram-negative rods/mL. Which of the following is the most likely causal organism?
Correct
Incorrect
Question 42 of 50
42. Question
A 24-year-old woman has a well-delineated, lobular, firm, mobile, nontender nodule in her left breast. Which of the following is the most likely diagnosis?
Correct
Incorrect
Question 43 of 50
43. Question
A 24-year-old man comes to the physician because of a 2-day history of fever, muscle aches, and headache. He also has had a rash that started around his wrists and ankles and spread to his palms during the past 24 hours. He went hiking in the woods last week. Physical examination shows an erythematous rash on the abdomen as well. The most appropriate treatment is an antibiotic with which of the following mechanisms?
Correct
Incorrect
Question 44 of 50
44. Question
The estimated LD50 for ingested iron is 200 mg/kg in humans. The toxic effects of iron are mediated by oxygen radical damage of mitochondria in the heart and central nervous system by circulating free iron. Patients with which of the following conditions will most likely have a decreased LD50 for ingested iron?
Correct
Incorrect
Question 45 of 50
45. Question
A 5-year-old boy is brought to the emergency department 6 hours after the sudden onset of a rash over his stomach. He also has a 2-day history of fever, headache, and vomiting. His temperature is 40.5°C (104.9°F). Physical examination shows purpura over the abdomen. Cultures of blood and cerebrospinal fluid grow gram-negative diplococci. He was successfully treated with ceftriaxone for a similar infection at 3 years of age. A defect of which of the following immune system components best explains this patient’s recurrent infection?
Correct
Incorrect
Question 46 of 50
46. Question
A 57-year-old man is brought to the emergency department 1 hour after he suddenly collapsed at home. He regained consciousness 5 minutes later. He has a 5-year history of hypertension. Neurologic examination shows dysmetria on the right. Sensation to pain and temperature is decreased over the right side of the face. Which of the following labeled regions in the photograph of the myelin-stained cross section of the brain stem shown is most likely damaged in this patient?
Correct
Incorrect
Question 47 of 50
47. Question
A 27-year-old man comes to the physician because of a dry, scaling, itchy, red rash. A diagnosis of moderately severe active psoriasis with psoriatic arthropathy is made. Use of nonsteroidal drugs and topical therapies is not successful in treating the symptoms. The most appropriate treatment is a drug that inhibits which of the following?
Correct
Incorrect
Question 48 of 50
48. Question
A 47-year-old man comes to the physician because of a cough productive of white sputum for 3 months. He has not had fever or weight loss. He takes no medications. He has smoked 2 packs of cigarettes daily for 25 years. Physical examination shows a barrel-shaped chest. Occasional wheezes are heard on auscultation of the chest. Which of the following is most likely to be heard on cardiac examination?
Correct
Incorrect
Question 49 of 50
49. Question
A 55-year-old man is undergoing suprapubic prostatectomy. During the procedure, the nerves in close proximity to the lateral surfaces of the prostate are inadvertently cut. Which of the following is the most likely sequela?
Correct
Incorrect
Question 50 of 50
50. Question
A survey is conducted to assess the health of a group of medical students before they enter clinical rotations. A total of 100 male and female medical students are asked to complete a 10-item survey regarding their personal and family medical histories. Students are from the same university and are 20 to 40 years of age. The results of the survey indicate that more women than men have a family history of type 2 diabetes mellitus. Which of the following statistical tests is most likely to determine if this finding is due to chance?
Correct
Incorrect
لا تفوّت فرصتك!
احصل على تجربة مجانية لدورة USMLE
محتوى مختار من المحاضرات، الكتب، بنك الأسئلة مع فيديوهات قصيرة لحل الأسئلة، والفلاش كاردز.