A 25-year-old woman of Mediterranean descent comes to the physician because of a 2-day history of shortness of breath and dizziness with exertion. Five days ago, she began treatment with clotrimazole and trimethoprim-sulfamethoxazole for dysuria, bacteriuria, and pyuria. Her identical twin sister, who had similar symptoms and findings, also began treatment with the same dosage of the same medications at that time; the sister’s symptoms have resolved without complication. The patient’s respirations are 15/min. Physical examination shows pallor. Her hemoglobin concentration is 7 g/dL, and hematocrit is 21%. A peripheral blood smear shows marked anisocytosis, poikilocytosis, and polychromasia with increased numbers of nucleated erythrocytes. The difference in drug response between the patient and her sister is best explained by a difference in which of the following?
Correct
Incorrect
Question 2 of 50
2. Question
A previously healthy 33-year-old man comes to the physician because of a 3-week history of cough and the frequent need to clear his throat. He takes no medications. He does not smoke cigarettes. Examination of the nasopharynx shows secretions and cobblestoning. The patient says, “I am concerned that I may have lung cancer like my dad. His lung cancer started with a cough just like this.” Which of the following is the most appropriate response by the physician?
Correct
Incorrect
Question 3 of 50
3. Question
A 29-year-old man is brought to the emergency department 30 minutes after he developed shortness of breath following a wasp sting. He appears acutely ill. His pulse is 130/min, respirations are 24/min, and systolic blood pressure is 70 mm Hg. Physical examination shows a diffuse urticarial rash. Wheezes are heard over all lung fields. It is most appropriate to first administer a drug with which of the following mechanisms of action?
Correct
Incorrect
Question 4 of 50
4. Question
A 1-day hypertension awareness program is held at a local community center. As part of the program, participants undergo blood pressure measurement to screen for systolic hypertension. A total of 250 adults are screened for systolic hypertension. The systolic blood pressure values for the participants are shown. Which of the following is the most appropriate measure to use to identify the central tendency of these data?
Correct
Incorrect
Question 5 of 50
5. Question
A 15-year-old boy is brought to the emergency department because of a 36-hour history of severe thirst and voluminous, painless, watery diarrhea; he also has had a 4-kg (8.8-lb) weight loss during this period. He has not had vomiting. His pulse is 110/min, and blood pressure is 110/60 mm Hg while supine; his pulse increases to 170/min, and blood pressure decreases to 70/40 mm Hg while standing. An increase of which of the following most likely occurs in this patient when he stands?
Correct
Incorrect
Question 6 of 50
6. Question
A 61-year-old man comes to the emergency department because of a 2-month history of progressive shortness of breath and right-sided chest pain. The symptoms now occur at rest. He describes the chest pain as sharp, but he cannot localize it. He has worked as a carpenter on construction sites for 40 years. His temperature is 37°C (98.6°F), pulse is 80/min, respirations are 14/min, and blood pressure is 136/88 mm Hg. There are decreased breath sounds and dullness to percussion over the right lung field. Laboratory studies show no abnormalities. A chest x-ray shows thickening of the majority of the right pleura and decreased size of the right lung. A right pleural biopsy specimen shows atypical epithelioid cells that stain positive for cytokeratin and calretinin but are negative for carcinoembryonic antigen and thyroid transcription factor-1. Occupational exposure to which of the following is the most likely cause of these findings?
Correct
Incorrect
Question 7 of 50
7. Question
A 29-year-old man is brought to the emergency department because of a 12-hour history of light-headedness and dizziness that coincides with acute nausea, vomiting, and diarrhea. After sitting in the waiting room for 2 hours, he is called for examination. On standing, he feels faint and immediately returns to a seated position. His blood pressure is 98/69 mm Hg and increases to 118/82 mm Hg within 5 minutes. Activation of vascular receptors by which of the following best explains the return of this patient’s blood pressure to normal when he sits down?
Correct
Incorrect
Question 8 of 50
8. Question
A 17-year-old boy is brought to the office by his mother because of delayed puberty. The patient is 147 cm (4 ft 10 in) tall and weighs 50 kg (110 lb); BMI is 23 kg/m2. Physical examination shows a lack of facial and body hair, small testes, and poorly developed muscles. The patient speaks with a high voice. Neurologic examination shows anosmia. The results of serum studies are shown:
Thyroid-stimulating hormone
2.1 μU/mL (N=0.5–5)
Thyroxine (T4)
10 μg/dL (N=5–12)
Growth hormone
8 ng/mL (N=1–9)
Insulin-like growth factor-1
200 ng/mL (N=113–566)
Total testosterone
3.5 nmol/L (N=10–35)
Luteinizing hormone
undetectable
Genetic testing shows a mutation in the KAL1 gene. The most likely cause of these findings is which of the following defects in the gonadotropin-releasing hormone (GnRH) system?
Correct
Incorrect
Question 9 of 50
9. Question
During a study of vitamin A, one experimental animal is given a normal, balanced diet (Animal X). A different experimental animal (Animal Y) is given a diet that is similar except for a total lack of vitamin A. Which of the following tissue types taken from Animal Y is most likely to show severe and extensive effects compared with tissue taken from Animal X?
Correct
Incorrect
Question 10 of 50
10. Question
An investigator is conducting a study of hypertension in a group of healthy volunteers. Fifty men and 50 women are enrolled in the study. Each participant is between the ages of 40 and 50 years, has a family history of hypertension, exercises regularly, and has a normal BMI. Results show that the average blood pressure of the women is 120/75 mm Hg compared with 135/80 mm Hg for the men. Which of the following effects of estrogen in the women best accounts for this difference?
Correct
Incorrect
Question 11 of 50
11. Question
A new antiplatelet agent is developed for the prevention of recurrence of stroke. In a large randomized clinical trial with equal numbers of men and women, the rates of stroke are lower in patients receiving the new agent than in patients receiving the standard treatment. Results are shown:
Recurrent Stroke Rates per 1000 Person-Years
Standard Treatment
New Antiplatelet Drug
Women
.12
.04
Men
.24
.08
Overall
.18
.06
Based on the overall results, which of the following is the overall relative risk reduction?
Correct
Incorrect
Question 12 of 50
12. Question
A 4-day-old breast-fed male newborn is admitted to the hospital because of jaundice, vomiting, and diarrhea. He appears listless. Physical examination shows scleral icterus and hepatomegaly. Galactose 1-phosphate uridyltransferase activity is analyzed in an extract of erythrocytes at varying concentrations of galactose 1-phosphate. A double reciprocal plot of data obtained from the patient compared with a healthy newborn is shown. Which of the following is most likely in this patient?
Correct
Incorrect
Question 13 of 50
13. Question
A 70-year-old woman comes to the physician because of occasional difficulty swallowing and a feeling of having food “stuck in her throat” since undergoing surgical removal of a pharyngeal tumor 2 weeks ago. On direct laryngoscopy, sensation to light touch is absent unilaterally above but not below the left vocal fold. Which of the following nerves on the left was most likely injured in this patient during the procedure?
Correct
Incorrect
Question 14 of 50
14. Question
A 79-year-old man with progressive, nonresectable lung cancer is admitted to the hospital because of a 3-day history of progressive dizziness and shortness of breath. He currently receives chemotherapy with docetaxel. He appears acutely ill. Temperature is 36.7°C (98.1°F), pulse is 122/min, and respirations are 24/min. Blood pressure is 70/30 mm Hg on inspiration and 90/40 mm Hg on expiration. Pulse oximetry on room air shows an oxygen saturation of 90%. Physical examination shows venous distention over the forehead and neck. Cardiac examination is most likely to disclose which of the following findings?
Correct
Incorrect
Question 15 of 50
15. Question
A 4-month-old girl is brought to the physician by her mother because of a 2-day history of vomiting and diarrhea. She weighs 6.8 kg (15 lb); she weighed 7.5 kg (16.5 lb) at her last examination 2 weeks ago. Her pulse is 150/min, and blood pressure is 86/56 mm Hg. Physical examination shows decreased saliva production and cool extremities. Which of the following most accurately estimates this patient’s volume deficit (in mL)?
Correct
Incorrect
Question 16 of 50
16. Question
A 75-year-old man who is a widower comes to the physician for advice before becoming sexually active with his new partner. He has a 5-year history of hypertension and type 2 diabetes mellitus with no end-organ damage. Current medications include metformin and metoprolol. His blood pressure is 126/80 mm Hg. Physical examination shows no abnormalities. The patient says, “I just want to be sure that this type of thing is okay for me.” Which of the following is the most appropriate initial response by the physician?
Correct
Incorrect
Question 17 of 50
17. Question
A previously healthy 45-year-old man is brought to the emergency department 1 hour after the sudden onset of right-sided paralysis and difficulty speaking. He returned from a trip to India 3 days ago. His temperature is 37°C (98.6°F), pulse is 80/min and regular, respirations are 16/min, and blood pressure is 120/75 mm Hg. Physical examination shows edema and tenderness of the right calf. Cardiac studies are most likely to show which of the following additional findings?
Correct
Incorrect
Question 18 of 50
18. Question
A 35-year-old man is brought to the emergency department because of a 3-hour history of sharp cramping pain that began in his back and then localized to the right lower abdomen and groin. Physical examination shows no abnormalities. Laboratory studies show hematuria. It is determined that the pain is most likely due to a renal calculus passing through the ureter. The calculus is most likely to lodge at which of the following junctions because of narrowing of the lumen?
Correct
Incorrect
Question 19 of 50
19. Question
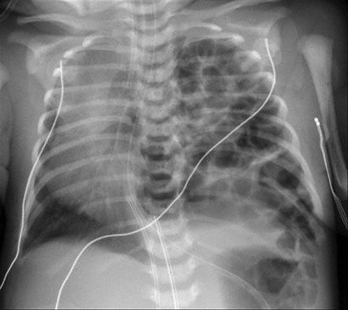
A 3200-g (7-lb 1-oz) male newborn is delivered at 38 weeks’ gestation to a 21-year-old primigravid woman. The newborn develops respiratory distress and cyanosis within 5 minutes of delivery. Physical examination shows a barrel-shaped chest and scaphoid abdomen. Cardiopulmonary examination shows absent air entry on the left side, with a shift of heart sounds to the right side of the chest. Arterial blood gas analysis on room air shows hypoxia and acidosis. A chest x-ray is shown. Which of the following is the most likely diagnosis?
Correct
Incorrect
Question 20 of 50
20. Question
A 12-year-old boy with osteosarcoma of the right lower extremity is scheduled to receive high-dose methotrexate chemotherapy. He is given a drug after receiving the course of methotrexate therapy to decrease toxicity. This drug is most likely to have which of the following actions?
Correct
Incorrect
Question 21 of 50
21. Question
A randomized, double-blind, controlled trial is conducted to assess whether a drug that decreases clotting by interfering with the function of platelets also decreases the incidence of myocardial infarction in 60-year-old men with known risk factors, such as hypertension and hyperlipidemia. After informed consent is obtained, subjects are assigned to Group X or Group Y by coin toss. After collecting baseline data, Group X receives the experimental drug, and Group Y receives placebo. In both groups, risk factors are aggressively treated. At the first data analysis point, it is found that at baseline, Groups X and Y are similar regarding factors associated with increased risk for myocardial infarction. Which of the following best explains this similarity?
Correct
Incorrect
Question 22 of 50
22. Question
A 62-year-old man is brought to the emergency department by his wife because of a 2-day history of intermittent fever, chills, nausea, and vomiting. One year ago, he traveled extensively through Southeast Asia for 1 month. He appears acutely ill and is shaking continuously. His temperature is 40.5°C (104.9°F), pulse is 128/min, respirations are 32/min, and blood pressure is 160/92 mm Hg. Physical examination shows profound diaphoresis. A photomicrograph of a peripheral blood smear is shown. The most likely explanation for these clinical findings is activation of the causal organism from a dormant state in which of the following cell types?
Correct
Incorrect
Question 23 of 50
23. Question
A 35-year-old woman comes to the office 2 days after the sudden onset of fever and chills with accompanying muscle and joint pain. Three weeks ago, she returned from a vacation in the Philippines. During this trip, she went swimming in fresh water on several occasions. Her temperature is 38.9°C (102°F), pulse is 120/min, respirations are 24/min, and blood pressure is 110/70 mm Hg. Physical examination shows hepatosplenomegaly. Her leukocyte count is 16,000/mm3, with 35% segmented neutrophils, 40% eosinophils, 20% lymphocytes, and 5% monocytes. Which of the following factors is most likely being released in increased quantities in this patient at this time?
Correct
Incorrect
Question 24 of 50
24. Question
A 54-year-old man comes to the physician for a follow-up examination. Two months ago, he received an experimental vaccine for treatment of recurrent melanoma. The vaccine consisted of tumor cells from the patient that had been cultured in vitro, transfected with a plasmid for expression of the gene for human interleukin-2 (IL-2), then irradiated before administration. Today, physical examination shows regression of localized melanoma skin lesions. Infiltrating cells are isolated from one of the regressing lesions and are characterized for cell-surface markers and intracellular protein expression using flow cytometry. Results show that the majority of the cells are negative for CD3 and positive for perforin. Which of the following best describes these cells?
Correct
Incorrect
Question 25 of 50
25. Question
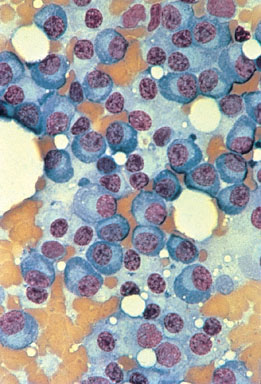
A 68-year-old man has had increasingly severe back pain for 2 months. Hematocrit is 30%. A photomicrograph of bone marrow aspirate is shown. Which of the following organisms is most likely to be associated with complications of this disorder?
Correct
Incorrect
Question 26 of 50
26. Question
A 17-year-old girl is brought to the emergency department after she took an unknown drug at a party. Her temperature is 38.5°C (101.3°F), pulse is 144/min, respirations are 24/min, and blood pressure is 140/70 mm Hg. Physical examination shows diaphoresis and a clenched jaw. She appears anxious, delusional, and paranoid. She is disoriented to person, place, and time. Which of the following drugs is the most likely cause of this patient’s symptoms?
Correct
Incorrect
Question 27 of 50
27. Question
A 54-year-old man comes to the physician because of a 2-week history of pain of his right shoulder. He has been remodeling his kitchen for the past month. Examination of the right shoulder shows no bony deformities, soft-tissue swelling, or point tenderness. Internal rotation of the shoulder against resistance produces pain. The most likely source of this patient’s pain is inflammation of which of the following tendons?
Correct
Incorrect
Question 28 of 50
28. Question
A 35-year-old woman comes to the physician 7 hours after having a generalized tonic-clonic seizure. She also has a 2-week history of fever, arm and leg numbness, fatigue, and an irregular heartbeat. Her temperature is 38.5°C (101.3°F), pulse is 106/min, and blood pressure is 105/65 mm Hg. Physical examination shows no other abnormalities. Laboratory studies show mildly increased prothrombin and partial thromboplastin times, a serum urea nitrogen concentration of 20 mg/dL, and a serum creatinine concentration of 2.5 mg/dL. Results of a direct antiglobulin (Coombs) test are negative. A peripheral blood smear shows increased schistocytes and reticulocytes. Which of the following is the most likely diagnosis?
Correct
Incorrect
Question 29 of 50
29. Question
A 41-year-old woman with cholecystitis is admitted to the hospital to undergo laparoscopic cholecystectomy. During this procedure, it is most appropriate for the physician to locate and ligate the cystic artery branching from which of the following arteries?
Correct
Incorrect
Question 30 of 50
30. Question
A 25-year-old woman, gravida 1, para 0, at 40 weeks’ gestation is in labor. Her amniotic membranes have ruptured, releasing a large amount of clear fluid. A sterile vaginal examination shows a pulsating mass. Which of the following is the most likely diagnosis?
Correct
Incorrect
Question 31 of 50
31. Question
A 24-year-old man with type 1 diabetes mellitus is brought to the emergency department because of a 1-day history of nausea, vomiting, and abdominal pain. He also has a 3-day history of diarrhea and decreased appetite. He has not taken insulin in the past 1½ days. His temperature is 37°C (98.6°F), pulse is 120/min, and blood pressure is 100/70 mm Hg. Abdominal examination shows mild diffuse tenderness. Bowel sounds are decreased. His serum glucose concentration is 650 mg/dL. Urine studies show the presence of ketones. Which of the following respiratory patterns is most likely in this patient?
Correct
Incorrect
Question 32 of 50
32. Question
A 3-month-old girl is brought to the physician because of rapid breathing, weakness, and poor feeding for 2 weeks. Physical examination shows tachycardia, tachypnea, hypotonia, and hepatomegaly. A chest x-ray shows massive cardiomegaly. An ECG shows a shortened PR interval and depressed ST segment. Examination of a skeletal muscle biopsy specimen shows an increased glycogen concentration within lysosomes. A deficiency of which of the following enzyme activities is the most likely cause of the findings in this patient?
Correct
Incorrect
Question 33 of 50
33. Question
An 8-year-old boy is brought to the physician by his mother for a well-child examination. The mother mentions that she and her husband are getting divorced and expresses concern about the impact of the divorce on her son. She should be advised that which of the following risk factors is most predictive of a negative emotional outcome for the child?
Correct
Incorrect
Question 34 of 50
34. Question
A 40-year-old man experiencing homelessness comes to the physician because of a 5-day history of an itchy rash. He has alcohol use disorder and lives in a shelter. He has no history of skin problems. He has not been exposed to new soaps or lotions. His vital signs are within normal limits. Physical examination shows an excoriated linear rash on the hands and feet, with a few areas of the rash on the upper and lower extremities. A photograph of the rash is shown. Which of the following is the most likely cause of the findings in this patient?
Correct
Incorrect
Question 35 of 50
35. Question
A 67-year-old man comes to the physician because of episodes of brief self-terminating palpitations during the past 4 days. Two weeks ago, he was admitted to the hospital with atrial fibrillation. At that time, he underwent electrical cardioversion, and his rhythm returned to normal. A drug is prescribed that blocks a variety of ionic channels and produces a prolongation of action potential duration with minimal risk for torsades de pointes. This drug is most likely which of the following?
Correct
Incorrect
Question 36 of 50
36. Question
A 10-month-old girl develops a cough and grunting following a 3-day hospital stay for surgical repair of a cleft palate. Her temperature is 39.2°C (102.6°F), and respirations are 40/min. Crackles are heard over most lung fields, and breath sounds are decreased. There is a mild pleural rub in the right upper thorax. Her leukocyte count is 68,000/mm3 (85% segmented neutrophils, 10% bands, and less than 5% myeloblasts, promyelocytes, and myelocytes). Which of the following mediators most likely stimulated the elevated leukocyte count in this patient?
Correct
Incorrect
Question 37 of 50
37. Question
A 68-year-old woman with hypertension and coronary artery disease is found to have paroxysmal supraventricular tachycardia at a rate of 170/min on ECG. An intravenous bolus of an ultrashort-acting agent is started, which acts by inhibiting adenylyl cyclase to increase the potassium efflux out of cardiac myocytes. This drug is most likely which of the following?
Correct
Incorrect
Question 38 of 50
38. Question
A 29-year-old woman is brought to the physician because of a 2-day history of decreased vision in her left eye. Two years ago, she had a 1-month history of mild left-sided weakness that resolved spontaneously. Physical examination shows mild left-sided hyperreflexia. Visual acuity is 20/100 in the left eye and 20/20 in the right eye. Which of the following additional findings is most likely to be present in this patient?
Correct
Incorrect
Question 39 of 50
39. Question
A 23-year-old man is diagnosed with ciliary dyskinesia. Abnormal epithelial function is most likely present in which of the following areas in this patient?
Correct
Incorrect
Question 40 of 50
40. Question
A 68-year-old man dies of a massive cerebral infarction. The gross and microscopic appearances of a colonic lesion (indicated by the arrow in the photograph) found at autopsy are shown. Which of the following best describes this lesion?
Correct
Incorrect
Question 41 of 50
41. Question
A 32-year-old woman comes to the physician because of a 4-day history of vaginal itching and discharge. Physical examination shows an eczematous rash with satellite lesions over the labia majora. Pelvic examination shows a vaginal discharge with the consistency of cottage cheese. The most appropriate treatment for this patient is an oral medication with which of the following mechanisms of action?
Correct
Incorrect
Question 42 of 50
42. Question
A 35-year-old African American woman comes to the physician for a follow-up examination after a chest x-ray taken before an elective procedure showed hilar adenopathy. She does not smoke. Physical examination shows no abnormalities. Serum studies show a calcium concentration of 11.2 mg/dL and parathyroid hormone concentration of 8 pg/mL (N=10−65). Examination of a biopsy specimen of a lymph node shows noncaseating granulomas. Which of the following is the most likely cause of the hypercalcemia in this patient?
Correct
Incorrect
Question 43 of 50
43. Question
An observational cohort study is conducted to assess the relationship between the use of helmets and head injuries after bicycle collisions. A total of 100 cyclists who use helmets and 100 cyclists who do not use helmets are selected from a local cycling club. Records from hospitals and emergency departments are used to track the history of head injuries in the subjects. Results show:
Head Injury
Yes
No
Total
Helmet Used
Yes
10
90
100
No
50
50
100
Total
60
140
200
Which of the following best represents the relative risk for head injuries in cyclists who do not use helmets compared to helmet wearers?
Correct
Incorrect
Question 44 of 50
44. Question
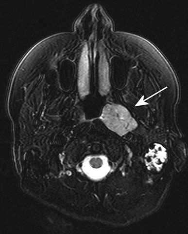
A 75-year-old man is brought to the physician because of a 2-month history of increasingly severe discomfort in his left ear. Audiometry shows severe conductive deafness of the left ear. Auriscopy shows a bulging tympanic membrane of the left ear. Indirect laryngoscopy shows a mass in the nasopharynx on the left. A T2-weighted MRI of the brain is shown; the arrow indicates a mass. This mass has most likely caused occlusion of which of the following structures?
Correct
Incorrect
Question 45 of 50
45. Question
A 7-year-old girl is brought to the physician because of watery, pruritic eyes and a runny nose for 8 hours. She has a history of hay fever, asthma, milk allergies, and atopic dermatitis. Physical examination shows hyperemic conjunctiva and nasal mucosa with serous, clear secretions. The result of an immunologic skin test to foreign antigens is positive. Which of the following inflammatory cell types most likely initiated this patient’s reaction?
Correct
Incorrect
Question 46 of 50
46. Question
A 25-year-old man comes to the physician for a health maintenance examination. His pulse is 75/min, and blood pressure is 110/70 mm Hg. Cardiac examination shows a loud S1 with a presystolic, low-pitched, rumbling murmur at the apex. A series of CT scans of the chest of a healthy person is shown; the cardiac valves are indicated by the letters A through D. Which of the following labeled cardiac valves is most likely abnormal in this patient?
Correct
Incorrect
Question 47 of 50
47. Question
A 63-year-old man with alcohol-associated cirrhosis is brought to the office because of a 1-week history of increased lethargy and confusion. He has adopted lifestyle changes that include abstinence from alcohol and appropriate dietary modifications. Physical examination shows lapses in sustained muscle contraction when the arms are outstretched. An increase in the dietary intake of which of the following best explains the new findings in this patient?
Correct
Incorrect
Question 48 of 50
48. Question
A 45-year-old woman comes to the physician because of a 4-month history of intermittent facial flushing, wheezing, abdominal pain, and diarrhea. She does not appear to be in acute distress. Physical examination shows no abnormalities. Serum studies show an increased serotonin concentration. A CT scan of the abdomen shows a mass in the appendix and multiple masses in the lungs and liver. Which of the following pathologic changes is most likely to be found involving the tricuspid and pulmonic valves of this patient’s heart as a result of this condition?
Correct
Incorrect
Question 49 of 50
49. Question
A 5-year-old boy is brought to the office because of a 1-day history of dark urine. Two weeks ago, he had an episode of group A streptococcal pharyngitis and received appropriate therapy. Today, his blood pressure is 110/70 mm Hg. Physical examination shows no abnormalities. Urinalysis shows 0–5 WBC/hpf, many RBCs, and many RBC casts. This patient’s condition is most likely mediated by which of the following?
Correct
Incorrect
Question 50 of 50
50. Question
An investigator from the Centers for Disease Control and Prevention (CDC) is studying the efficacy of the influenza vaccine during a specific year. The majority of the circulating influenza viruses during that influenza season in the USA were influenza A (H3N2). The influenza vaccine used in the USA that year included the following strains:
Influenza A (H1N1)
[A/California/7/2009 (H1N1)pdm09-like virus]
Influenza A (H3N2)
[A/Texas/50/2012 (H3N2)-like virus]
Influenza B
[B/Massachusetts/2/2012-like virus]
The CDC expected early in the season that this influenza vaccine would have lower than expected efficacy in the US population. Which of the following is the most likely cause of the decreased efficacy of the influenza vaccine in the USA during this season?
Correct
Incorrect
لا تفوّت فرصتك!
احصل على تجربة مجانية لدورة USMLE
محتوى مختار من المحاضرات، الكتب، بنك الأسئلة مع فيديوهات قصيرة لحل الأسئلة، والفلاش كاردز.