A 5-year-old boy is brought to the physician because his teacher has noted brief episodes during which he is unresponsive. An EEG taken during one of these episodes shows an abnormal cortical pattern consisting of sharp spikes and blunt waves recurring at a frequency of approximately 3 cycles per second. An appropriate treatment includes administration of drugs that block voltage-gated channels permeable to which of the following ions?
Correct
Incorrect
Question 2 of 50
2. Question
A 54-year old man is admitted to the intensive care unit for treatment of an acute myocardial infarction. Three days later, he has the sudden onset of recurrent chest pain and shortness of breath. His pulse is 120/min and weak, and his blood pressure is 60/30 mm Hg. On examination, he has jugular venous distention. A loud holosystolic murmur is heard. Despite appropriate intervention, the patient dies. A photograph of a 1-cm transverse section of the heart obtained during autopsy is shown. Which of the following was the most likely cause of this man’s death?
Correct
Incorrect
Question 3 of 50
3. Question
A 51-year-old woman comes to the physician because of a 6-month history of irregular and occasionally heavy vaginal bleeding. Menses had occurred at 14- to 30-day intervals. Physical and pelvic examinations show no abnormalities. The result of a pregnancy test is negative. Ultrasonography and an endometrial biopsy specimen show evidence of endometrial proliferation. A diagnosis of chronic anovulation is made. The continuous influence of which of the following hormones contributes to the endometrial proliferation as the cause of abnormal bleeding in this patient?
Correct
Incorrect
Question 4 of 50
4. Question
A 48-year-old man who works in a chemical factory is brought to the physician because of a 1-month history of intermittent headache, dizziness, and chest pain. The headache and dizziness most often occur when he returns to work after the weekend. His pulse is 92/min, respirations are 20/min, and blood pressure is 105/65 mm Hg. The lungs are clear to auscultation. An ECG shows no abnormalities. Laboratory studies show an increased methemoglobin concentration; serum liver enzyme activities are within the reference ranges. The most likely cause of these findings is exposure to which of the following agents?
Correct
Incorrect
Question 5 of 50
5. Question
An investigator is studying the relationship between chronic otitis media in young children and parental history of this condition. From the records of a large pediatric practice, 50 children between the ages of 1 and 3 years are identified who had at least three middle ear infections during the preceding year. Fifty children in the same age group, treated by the same practice for other illnesses, are also identified. The parents of the children in both groups are interviewed to determine their history of chronic otitis media. Of the children with recurrent ear infections, 30 had a family history of chronic otitis media, compared with 20 of the children treated for other illnesses. Which of the following best describes this study design?
Correct
Incorrect
Question 6 of 50
6. Question
A 62-year-old woman comes to the physician for an initial examination. She has no history of major medical illness. Her father died of a myocardial infarction at the age of 57 years, and her brother had a nonfatal myocardial infarction 2 years ago at the age of 53 years. Physical examination shows no abnormalities. The physician recommends mammography and blood work, including serum lipid studies, to assess the patient’s risk for coronary artery disease. The patient agrees to mammography but refuses the blood work. She says, “I don’t see any reason to get the blood tests done. I know that I’m at a low risk for a heart attack because I’m a woman. Besides, I hate getting stuck by needles.” Which of the following is the most appropriate response by the physician?
Correct
Incorrect
Question 7 of 50
7. Question
A newborn girl is delivered at term with no complications. Apgar scores are 8 and 10 at 1 and 5 minutes, respectively. Physical examination shows no abnormalities. An increase of which of the following is most likely to provide the strongest stimulus for the rapid closure of the ductus arteriosus in this newborn?
Correct
Incorrect
Question 8 of 50
8. Question
A 32-year-old man comes to the physician because of a 6-month history of progressive fatigue and mild shortness of breath with exertion. He takes no medications. He started following a strict vegan diet 14 years ago, and he has eaten no animal or dairy products since then. He is 175 cm (5 ft 9 in) tall and weighs 68 kg (150 lb); BMI is 22 kg/m2. His pulse is 92/min, and blood pressure is 100/60 mm Hg. Physical examination shows pale skin, conjunctivae, and nail beds. Laboratory studies show:
Hemoglobin
7.5 g/dL
Hematocrit
23%
Mean corpuscular volume
70 μm3
Leukocyte count
7500/mm3
Platelet count
300,000/mm3
A peripheral blood smear shows small, pale erythrocytes with normal-appearing leukocytes and platelets. A deficiency of which of the following nutrients best explains this patient’s anemia?
Correct
Incorrect
Question 9 of 50
9. Question
A 48-year-old woman is brought to the urgent care clinic by her husband 20 minutes after she collapsed in the bathroom. She has a 1-week history of diarrhea and a 1-day history of dizziness when standing. Her temperature is 38.1°C (100.5°F), pulse is 110/min, respirations are 22/min, and blood pressure is 90/50 mm Hg. The lungs are clear. Urinalysis shows a specific gravity of 1.030 and osmolality of 1100 mOsmol/kg H2O. Which of the following physiologic responses is most likely in this patient at this time?
Correct
Incorrect
Question 10 of 50
10. Question
A 36-year-old man collapses and has a 5-minute loss of consciousness at 22,309 ft while climbing in the Himalayas. Another climber administers a norepinephrine injection and supplemental oxygen to the man and he regains consciousness. Despite reporting shortness of breath and exhaustion, he is able to descend to the camp at 20,341 ft. He has a history of asthma currently treated with an inhaled bronchodilator. Temperature is 36.0°C (96.8°F), pulse is 106/min, respirations are 28/min, and blood pressure is 110/65 mm Hg. Pulse oximetry on room air shows an oxygen saturation of 72%. Crackles are heard bilaterally. Cardiac examination discloses no abnormalities. Which of the following is most likely to be increased in this patient?
Correct
Incorrect
Question 11 of 50
11. Question
A 25-year-old nulligravid woman (individual IV-1 in the pedigree shown) and her 28-year-old husband come to the office for counseling prior to conception. Previous reproductive endocrinologic evaluation of the husband showed no abnormalities. The woman has a family history of fragile X syndrome. The genotype of the CGG trinucleotide repeat length in the 5′-untranslated exon of the FMR1 gene for each individual in the family is indicated. Based on these findings, the repeat length boundaries between normal and premutation and between premutation and full mutation is closest to which of the following?
Correct
Incorrect
Question 12 of 50
12. Question
A 6-year-old girl has cellulitis of the face. She has a history of recurrent bacterial infections. A study is done to evaluate chemotaxis:
Source of Neutrophils
Source of Serum
% Chemotaxis
N
N
100
P
P
5
P
N
100
N
P
5
N = Normal P = Patient
Which of the following deficiencies best explains these findings?
Correct
Incorrect
Question 13 of 50
13. Question
A 12-year-old girl is brought to the emergency department because of a 12-hour history of nausea, vomiting, and severe abdominal pain. Her temperature is 38.9°C (102°F), pulse is 120/min, respirations are 18/min, and blood pressure is 140/90 mm Hg. Abdominal examination shows marked pain on palpation of the right lower quadrant with rebound tenderness. The patient undergoes appendectomy. The appendix is edematous and erythematous. Extensive yellow-white serosal exudates are seen. Which of the following substances was integral to the development of the erythema in the appendix?
Correct
Incorrect
Question 14 of 50
14. Question
A 45-year-old man undergoes renal transplantation. After the operation, treatment with acyclovir, basiliximab, cyclosporine, prednisone, and sirolimus is started. Which of the following drugs that this patient is receiving inhibits the mammalian target of rapamycin (mTOR)?
Correct
Incorrect
Question 15 of 50
15. Question
A 60-year-old man is admitted to the hospital because of intermittent atrial fibrillation. After the appropriate treatment is administered and the patient is stabilized, oral anticoagulant therapy is initiated for prevention of embolic stroke secondary to his cardiac condition. Two days later, he develops necrosis of the tissue on his buttocks. Which of the following is the most likely cause of the necrosis in this patient?
Correct
Incorrect
Question 16 of 50
16. Question
One day after an operation for a gunshot wound, a 48-year-old man develops an increased heart rate, increased central venous and radial pulse pressures, and a continuous abdominal bruit. Which of the following is the most likely diagnosis?
Correct
Incorrect
Question 17 of 50
17. Question
A 16-year-old boy comes to the physician because of a 3-year history of enlarged, tender, and painful breasts. He says that he does not need to shave often. He was adopted. He is 188 cm (6 ft 2 in) tall and weighs 86 kg (190 lb); BMI is 24 kg/m2. Physical examination shows bilateral gynecomastia and small, firm testes. Serum studies show a follicle-stimulating hormone concentration of 50 mIU/mL, luteinizing hormone concentration of 20 mIU/mL, and testosterone concentration of 6.25 nmol/L (N=10–35). This patient most likely has an abnormality at which of the following locations?
Correct
Incorrect
Question 18 of 50
18. Question
A 50-year-old woman develops a small pulmonary embolus 12 hours after undergoing surgical removal of a bunion. Treatment with heparin and warfarin is begun. One day later, heparin is inadvertently discontinued, while warfarin is continued. Twenty-four hours later, she develops another pulmonary embolus. Which of the following best explains the second embolic episode?
Correct
Incorrect
Question 19 of 50
19. Question
A study is conducted to assess the effect of a low-calorie diet on the incidence of type 2 diabetes mellitus among adults at high risk for the disease. Two thousand healthy participants are randomized to follow either a prescribed low-calorie diet or their regular diet. Six months later, each patient is evaluated for new-onset type 2 diabetes mellitus. The results are shown in the table:
Outcome
Type 2
No Type 2
Diabetes Mellitus
Diabetes Mellitus
Total
Intervention
Low-calorie diet
3
997
1000
Regular diet
9
991
1000
Total
12
1988
2000
Which of the following best represents the absolute risk reduction for developing type 2 diabetes mellitus associated with the low-calorie diet after 6 months?
Correct
Incorrect
Question 20 of 50
20. Question
A 45-year-old woman comes to the physician because of fever and a generalized itchy rash during the past 2 days. She has been receiving trimethoprim-sulfamethoxazole therapy since she was diagnosed with a urinary tract infection 3 days ago. Her temperature is 38.2°C (100.8°F), pulse is 72/min, and blood pressure is 132/68 mm Hg. Physical examination shows a diffuse maculopapular rash over the trunk, extending to the proximal portions of the upper and lower extremities. Laboratory studies show:
Hemoglobin
14.2 g/dL
Hematocrit
43%
Leukocyte count
9000/mm3
Segmented neutrophils
78%
Eosinophils
8%
Lymphocytes
14%
Serum creatinine
1.5 mg/dL
Urine
WBC
20–30/hpf
Leukocyte esterase
3+
Which of the following is the most likely cause of these laboratory findings?
Correct
Incorrect
Question 21 of 50
21. Question
A 3-day-old male newborn in the hospital is not feeding or sleeping well. He also has a high-pitched cry and has been difficult to console. He is 46 cm (18 in) long and weighs 2892 g (6 lb 6 oz). He was delivered at 35 weeks’ gestation to a 21-year-old woman. Delivery was uncomplicated. The pregnancy was complicated by a lack of prenatal care. His mother has asthma. She uses oxycodone intermittently and has smoked one-half pack of cigarettes daily for 3 years. Examination of the mother’s left upper extremity shows the findings in the photograph. Examination of the newborn shows hyperreflexia and exaggerated startle response. The most appropriate pharmacotherapy for the newborn has which of the following mechanisms of action?
Correct
Incorrect
Question 22 of 50
22. Question
A 28-year-old woman comes to the physician because of a 1-week history of painful, red skin spots. Physical examination shows multiple tender petechial hemorrhages. A biopsy specimen of one of the lesions shows leuko-cytoclastic vasculitis. The physician plans to prescribe a new anti-inflammatory drug. Which of the following mechanisms of action of this drug is most likely to relieve this patient’s disease progress?
Correct
Incorrect
Question 23 of 50
23. Question
An 84-year-old woman comes to the physician because of a 5-day history of pain in her buttocks. Physical examination shows a 2-cm abscess lateral to the anus. Which of the following lymph nodes is most likely affected by the infection in this patient?
Correct
Incorrect
Question 24 of 50
24. Question
A 5-year-old boy is brought to the emergency department 1 hour after he fell off of a piece of playground equipment onto his outstretched left arm. He is in severe pain. His pulse is 128/min, and blood pressure is 80/60 mm Hg. Neurologic examination shows diminished hand grasp and numbness of the palmar side of the index, middle, and ring fingers. AP and lateral x-rays of the left upper extremity are shown. Which of the following nerves is most likely injured in this patient?
Correct
Incorrect
Question 25 of 50
25. Question
Hemoglobin concentrations are measured in blood samples collected from 400 pregnant women. The data follow a normal (gaussian) distribution. Mean hemoglobin concentration is 12 g/dL (standard deviation is 1.0 g/dL). Based on this information, which of the following is the probability that a normal pregnant woman will have a hemoglobin concentration below 10 g/dL or above 14 g/dL?
Correct
Incorrect
Question 26 of 50
26. Question
A 17-year-old girl is brought to the physician by her parents because of a 4-day history of insomnia, severe irritability, and irrational behavior. She sleeps only 2 to 3 hours nightly. Her mother says, “She has been arguing with me all the time and speaking very fast. Yesterday she even stole my credit card and bought $200 worth of clothes! She has never acted this way before.” Five days ago, she began amitriptyline therapy for migraines. Physical examination shows no abnormalities. Which of the following is the most likely diagnosis?
Correct
Incorrect
Question 27 of 50
27. Question
A 21-year-old woman comes to the office for removal of sutures 10 days after she sustained a laceration to her right upper extremity when she fell through a glass door. Examination of the right upper extremity shows a 4-cm, healing wound. The patient asks when her skin at the wound site will be restored to its original strength. Which of the following is the best estimate of when this will occur?
Correct
Incorrect
Question 28 of 50
28. Question
A 1-month-old male newborn is brought to the office for a follow-up examination. He was noted to have multiple craniofacial abnormalities at birth. Physical examination shows microcephaly, a high forehead, hypertelorism, epicanthal folds, hepatomegaly, and hypotonia. Laboratory studies show decreased plasmalogen concentrations in erythrocyte membranes and increased concentration of serum very-long-chain fatty acids. The most likely cause of these findings is a defect of which of the following?
Correct
Incorrect
Question 29 of 50
29. Question
A 52-year-old man comes to the physician 12 hours after the abrupt onset of violent involuntary movements of his right arm. Physical examination shows large-amplitude flinging and flailing movements of the proximal muscles of the right upper extremity. An MRI of the brain shows infarction of the left subthalamic nucleus. This lesion is most likely causing which of the following effects in this patient?
Correct
Incorrect
Question 30 of 50
30. Question
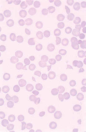
A 27-year-old woman has a headache, blurred vision, and petechiae. Laboratory studies show:
Hemoglobin
9 g/dL
Hematocrit
28%
Leukocyte count
5500/mm3
Platelet count
15,000/mm3
Prothrombin time (INR)
14 sec (1.2)
Activated partial thromboplastin time
45 sec
Fibrin degradation products
normal
A peripheral blood smear is shown. Which of the following is the most likely diagnosis?
Correct
Incorrect
Question 31 of 50
31. Question
A male newborn is delivered at term by spontaneous vaginal delivery. Physical examination shows six fingers on each hand, resulting from duplication of the fourth finger, which is fused together with the third finger. There are no other congenital abnormalities. Mutation of which of the following genes is most likely in this patient?
Correct
Incorrect
Question 32 of 50
32. Question
A 16-year-old girl comes to the physician for an examination prior to starting a new school. She is 168 cm (5 ft 6 in) tall and weighs 87 kg (192 lb); BMI is 31 kg/m2. Her blood pressure is 1 40/88 mm Hg. Physical examination shows hyperpigmented, thickened areas on the back of the neck and in the axilla. Serum studies show:
HDL-cholesterol
decreased
VLDL-cholesterol
increased
Triglycerides
increased
Insulin
increased
The result of a glucose tolerance test is abnormal. Which of the following is the most likely diagnosis?
Correct
Incorrect
Question 33 of 50
33. Question
A 75-year-old man is brought to the physician because of a 3-day history of intermittent dizziness, light-headedness, and shortness of breath with exertion. His pulse is 30/min, respirations are 25/min, and blood pressure is 100/60 mm Hg. Physical examination shows no other abnormalities. A diagnosis of sinus node dysfunction is made, and the patient undergoes implantation of a dual-chamber pacemaker using radiographic guidance. Chest x-rays are shown. The tip of the lead, indicated by the arrows, has most likely been placed in which of the following chambers of the heart?
Correct
Incorrect
Question 34 of 50
34. Question
A 55-year-old woman is admitted to the intensive care unit because of heart failure after she had a myocardial infarction. After she is stabilized, she begins working from her laptop computer. She tells the physician that she is anxious to get back to work because her employees would “run the place into the ground.” She states, “I need to leave now.” The physician believes that the patient needs to stay longer for further treatment and evaluation. After empathizing with the patient, which of the following is the most appropriate initial response by the physician?
Correct
Incorrect
Question 35 of 50
35. Question
A 20-year-old man with a recent diagnosis of type 1 diabetes mellitus comes to the physician for a follow-up examination. He lives alone in a log cabin and is 15 miles from the nearest neighbor. He says that he is having difficulty self-administering insulin by the subcutaneous route. He asks, “Can’t I just take a pill?” The physician responds that insulin cannot be administered orally because its structure will not allow it to be absorbed via this route. Which of the following best describes this structure?
Correct
Incorrect
Question 36 of 50
36. Question
A 58-year-old man is brought to the emergency department 2 hours after having a generalized tonic-clonic seizure. He has been treated numerous times in the past for seizures caused by alcohol withdrawal. On arrival, he is awake but confused and tremulous. His pulse is 110/min, and blood pressure is 160/90 mm Hg. Physical examination shows bilateral asterixis. Laboratory studies show:
Hemoglobin
11 g/dL
Hematocrit
32%
Mean corpuscular volume
110 μm3
Leukocyte count
3800/mm3
Reticulocyte count
1%
Platelet count
160,000/mm3
Which of the following is the most likely cause of this patient’s anemia?
Correct
Incorrect
Question 37 of 50
37. Question
A 5-year-old girl is brought to the physician because of a 4-week history of cough and hoarseness. Physical examination shows a temperature of 36.7°C (98.1°F) and mild stridor at rest. There is no rash. No crackles, rhonchi, or wheezes are heard on auscultation of the chest. An x-ray of the chest shows no abnormalities. Direct laryngoscopy shows nodular lesions on the true vocal cords. The most likely cause of her condition is infection with which of the following viruses?
Correct
Incorrect
Question 38 of 50
38. Question
A 33-year-old man comes to the physician because of weakness, weight gain, and depressed mood during the past year. His blood pressure is 160/90 mm Hg. Physical examination shows central obesity, enlarged supraclavicular fat pads, and red-purple striae over the abdomen. Serum studies show a cortisol concentration within the reference range at 9 am and increased at 9 pm. A 24-hour urine free cortisol concentration is increased. Following the administration of low-dose of dexamethasone, the urine free cortisol concentration remains increased; it decreases significantly after high-dose dexamethasone is administered. Which of the following is the most likely cause of the findings in this patient?
Correct
Incorrect
Question 39 of 50
39. Question
A 22-year-old woman is brought to the emergency department 30 minutes after she was struck by an oncoming motor vehicle while bicycling. On arrival, she is alert but appears anxious. Her pulse is 140/min, respirations are 22/min, and blood pressure is 88/46 mm Hg. Physical examination shows numerous abrasions over the trunk and upper extremities, and a 10-cm laceration of the right thigh. Which of the following is most likely occurring in the adrenal medulla of this patient?
Correct
Incorrect
Question 40 of 50
40. Question
A 35-year-old woman comes to the office because of a 3-day history of urinary urgency and frequency, urine that is occasionally blood-tinged, and right-sided flank pain. She has a 10-year history of recurrent cystitis and is worried she is having another episode. She has two young children via uncomplicated vaginal deliveries. Past medical history is otherwise unremarkable. She currently takes no medications. Temperature is 38.0°C (100.4°F), pulse is 104/min, respirations are 18/min, and blood pressure is 124/82 mm Hg. Pulse oximetry on room air shows an oxygen saturation of 97%. Physical examination shows right flank and suprapubic tenderness; the remainder of the examination shows no abnormalities. Which of the following current signs or symptoms in this patient best indicates that she would receive a different diagnosis than cystitis at this time?
Correct
Incorrect
Question 41 of 50
41. Question
A 60-year-old man comes to the physician because of a 6-month history of light-headedness, numbness and paresthesias of his hands and feet, and fatigue. Physical examination shows pallor and decreased positional and vibration senses. Laboratory studies show:
Hemoglobin
9 g/dL
Hematocrit
27%
Mean corpuscular volume
102 μm3
Serum
Gastrin
markedly increased
Intraluminal stomach acid
markedly decreased
The most likely cause of this patient’s symptoms is destruction of which of the following labeled areas in the photomicrograph of normal stomach mucosa?
Correct
Incorrect
Question 42 of 50
42. Question
A 25-year-old woman is brought to the emergency department because of a 2-hour history of delirium. Three days ago, the patient developed acute back pain following heavy lifting and has been receiving tramadol therapy. She has major depressive disorder, restless legs syndrome, and myasthenia gravis. Current medications also include fluoxetine, carbidopa-levodopa, and physostigmine. On arrival, physical examination shows confusion, agitation, muscle rigidity, myoclonus, tachycardia, and diarrhea. Which of the following is the most likely explanation for this patient’s symptoms?
Correct
Incorrect
Question 43 of 50
43. Question
A 60-year-old man with peripheral vascular disease comes to the physician because of a 6-month history of the inability to achieve an erection. Physical examination shows no abnormalities except for decreased distal pulses in the lower extremities. Decreased blood flow through which of the following arteries would most likely explain the erectile dysfunction in this patient?
Correct
Incorrect
Question 44 of 50
44. Question
A 20-year-old man has colicky back pain caused by renal calculi. He passes one of the calculi in his urine; analysis shows that it is composed almost entirely of a single amino acid. This patient most likely has a genetic defect leading to alterations in which of the following processes involving this amino acid?
Correct
Incorrect
Question 45 of 50
45. Question
A 33-year-old woman comes to the physician because of a 2-month history of fatigue, shortness of breath with exertion, difficulty sleeping, and eye soreness. She also has had urinary frequency, constant thirst, and irregular menses during this time. Physical examination shows loss of skin turgor, generalized weakness, and galactorrhea. Laboratory studies show an erythrocyte count of 3 million/mm3 and increased serum angiotensin-converting enzyme activity and serum prolactin concentration. A chest x-ray shows bilateral hilar lymphadenopathy. A CT scan of the head shows a contrast-enhancing lesion in the skull base involving the suprasellar region. Which of the following is the most likely cause of this patient’s symptoms?
Correct
Incorrect
Question 46 of 50
46. Question
A 9-year-old boy with type 1 diabetes mellitus is brought to the physician by his father for a follow-up examination. The father is concerned because his son does not routinely test his blood glucose concentration and will occasionally skip doses of insulin. Physical examination shows no abnormalities. His serum glucose concentration is increased. Which of the following is the most appropriate initial action by the physician to encourage this patient to adhere to his medication regimen?
Correct
Incorrect
Question 47 of 50
47. Question
A 62-year-old woman comes to the physician because of a 3-month history of progressive shortness of breath and increasingly severe chest pain with exertion. Her pulse is 90/min, respirations are 18/min, and blood pressure is 110/70 mm Hg. A grade 4/6, systolic ejection murmur is heard best over the upper right sternal border. The murmur has been present for the past 12 years, but it has increased in intensity in recent years. This patient most likely has which of the following conditions?
Correct
Incorrect
Question 48 of 50
48. Question
A 62-year-old man comes to the office because of an 8-month history of fatigue and progressive shortness of breath with exertion; he also has had an unintentional 5.4-kg (12-lb) weight loss during this period. He has hypertension and right ventricular failure. He served as a shipbuilder for 12 years and currently works as a painter. He smoked 1 pack of cigarettes daily for 10 years until he quit 30 years ago. He drinks two 4-oz martinis nightly. He takes no medications. His temperature is 37.3°C (99.2°F), pulse is 104/min, respirations are 23/min, and blood pressure is 160/80 mm Hg. Crackles are heard at the left lung base. There is clubbing of the extremities. Which of the following historical factors most likely contributed to this patient’s underlying condition?
Correct
Incorrect
Question 49 of 50
49. Question
An 11-month-old girl is brought to the physician by her parents for an initial examination. They adopted her from Russia 3 months ago. The parents know little about her history except that her 19-year-old biological mother was not married, and the girl was raised in an orphanage from birth until she was brought to the USA at the age of 8 months. She is at the 50th percentile for length, 25th percentile for weight, and 10th percentile for head circumference. Physical examination shows facial dysmorphisms, including hypertelorism, short palpebral fissures, inner epicanthal folds, and a hypoplastic philtrum. Further testing shows mild intellectual developmental disorder. Which of the following is the most likely cause of these findings?
Correct
Incorrect
Question 50 of 50
50. Question
A 31-year-old primigravid woman at 28 weeks’ gestation comes to the office because of a 1-week history of discomfort with swallowing. She has HIV infection, for which she began antiretroviral therapy 2 weeks ago. One month ago, her CD4+ T-lymphocyte count was 190/mm3 (N≥500), and plasma HIV viral load was 5000 copies/mL. Current medications also include a daily prenatal vitamin. Vital signs are within normal limits. Physical examination shows the findings in the photograph; there are no neck masses or lymphadenopathy. Which of the following best describes the most likely causal infectious agent in this patient?
Correct
Incorrect
لا تفوّت فرصتك!
احصل على تجربة مجانية لدورة USMLE
محتوى مختار من المحاضرات، الكتب، بنك الأسئلة مع فيديوهات قصيرة لحل الأسئلة، والفلاش كاردز.