A 46-year-old woman receives the diagnosis of breast cancer metastatic to the axillary lymph nodes. Which of the following enzymes played the most significant role during the initial stages of metastasis in this patient?
Correct
Incorrect
Question 2 of 20
2. Question
A 5-week-old male infant is brought to the office by his mother because of vomiting after feeding. The mother states that sometimes the vomiting is severe, but the vomitus is not green tinged. The episodes have become increasingly frequent during the past 2 days. The infant otherwise feeds normally. He is 52 cm (20 in; 50th percentile) long and weighs 5 kg (11 lb; 25th percentile); head circumference is 33 cm (13 in; 50th percentile). Vital signs are within normal limits. Palpation of the abdomen discloses a mass in the epigastric region. Ultrasonography of the abdomen is shown. Which of the following is the most likely underlying cause of this patient’s condition?
Correct
Incorrect
Question 3 of 20
3. Question
A 58-year-old man comes to the physician for a follow-up examination 2 days after the diagnosis of metastatic colon cancer was made. Treatment with a humanized monoclonal antibody directed against vascular endothelial growth factor is started. Three months later, the patient develops hypertension. Endothelial dysfunction in which of the following organs is most likely to stimulate the development of hypertension in this patient?
Correct
Incorrect
Question 4 of 20
4. Question
A 25-year-old woman with preeclampsia has just delivered a male newborn at 28 weeks’ gestation. Her blood pressure was difficult to control during delivery. During the next 24 hours, she has oliguria, a decreased platelet count, and markedly increased serum hepatic enzyme activities. Which of the following additional findings indicates intrinsic renal disease rather than dehydration in this patient?
Correct
Incorrect
Question 5 of 20
5. Question
A 53-year-old woman with small cell carcinoma of the lung undergoes plasmapheresis for proximal weakness of the lower extremities. Eight days following the treatment, her muscle strength is increased. The most likely cause of this patient’s improvement is the removal of antibodies against which of the following?
Correct
Incorrect
Question 6 of 20
6. Question
A 75-year-old man comes to the physician because of a 7-month history of several painless lesions on his face. He is a farmer and spends most of his time working outside. Physical examination shows multiple 0.5-cm erythematous, scaly lesions over the forehead; one of the lesions is shown in the photograph. Which of the following changes in this patient’s epidermis is the most likely cause of these findings?
Correct
Incorrect
Question 7 of 20
7. Question
A 35-year-old woman comes to the physician because she is interested in starting a weight-loss program. She has a sedentary lifestyle. She is 168 cm (5 ft 6 in) tall and weighs 82 kg (180 lb); BMI is 29 kg/m2. Physical examination shows no other abnormalities. The physician refers her to a dietician for nutrition assessment and counseling. The dietician determines that the patient is consuming 200 g of carbohydrates, 65 g of protein, 50 g of fat, and 15 g of alcohol daily. This patient’s average daily caloric intake meal is most likely equivalent to which of the following kilocalories?
Correct
Incorrect
Question 8 of 20
8. Question
An 18-year-old man comes to the physician for a physical examination before entering college. He played on his high school football team and received a collegiate athletic scholarship. He says, “I hope to play professionally and must improve my performance any way I can.” Physical examination shows no abnormalities. Laboratory studies show an increased erythrocyte count. Which of the following is the most likely cause of this laboratory finding?
Correct
Incorrect
Question 9 of 20
9. Question
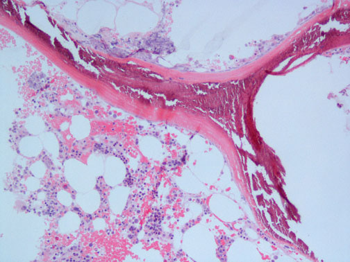
An 85-year-old woman comes to the physician because of a 2-month history of worsening right hip pain. She has a 10-year history of osteitis deformans (Paget disease) that has been symptomatically well controlled with medication. Physical examination shows bowed tibias and a pronounced, painful limp. An x-ray of the proximal femur shows a mixture of “moth-eaten” and sclerotic regions, periosteal elevation, and disruption of the cortical surface. Which of the following is the most likely diagnosis?
Correct
Incorrect
Question 10 of 20
10. Question
One day after lifting heavy boxes, an 82-year-old man has pain when he moves his shoulders. He is being treated with digoxin for congestive heart failure and takes multivitamins. After 3 days of ibuprofen therapy, the patient has fatigue and says he does not feel well. His serum creatinine concentration is 4 mg/dL. Which of the following is the most likely cause of these clinical findings?
Correct
Incorrect
Question 11 of 20
11. Question
A 60-year-old man is brought to the emergency department because of a 2-month history of progressive shortness of breath on exertion, fatigue, and swelling of both legs. He says that he has to lie on two pillows at night to breathe easily, and he sometimes is awakened because of the shortness of breath. His pulse is 90/min, respirations are 16/min, and blood pressure is 118/70 mm Hg. Physical examination shows jugular venous distention and an estimated central venous pressure of 12 cm H2O. Crackles are heard in the lower lung fields. Cardiac examination shows an S3 gallop. There is bilateral pedal edema to the mid calf. Serum brain natriuretic peptide concentration is 2000 ng/mL. An ECG shows normal sinus rhythm with left ventricular hypertrophy with no ischemic changes. Echocardiography shows an enlarged left ventricle and an ejection fraction of 30%. The activity of which of the following enzymes is most likely increased in this patient’s kidneys?
Correct
Incorrect
Question 12 of 20
12. Question
A 35-year-old woman is brought to the physician because of a 6-month history of loss of vision in both eyes. She has a long-standing history of poorly controlled type 1 diabetes mellitus. Ophthalmologic examination is most likely to show an abnormality in which of the following?
Correct
Incorrect
Question 13 of 20
13. Question
A 24-year-old woman is brought to the emergency department 1 hour after she fell and injured her left arm while in-line skating. Examination of the left upper extremity shows ecchymoses, soft-tissue swelling, and tenderness between the biceps and triceps muscles. A displaced fracture of the left humerus in the area of the radial groove is suspected. Which of the following additional neurologic findings in this patient is most likely to confirm the diagnosis?
Correct
Incorrect
Question 14 of 20
14. Question
A female newborn has disproportionate short stature and polydactyly. Her parents were raised in the Old Order Amish community in Lancaster, PA. Mutation analysis identifies two identical mutations in this newborn. Which of the following mechanisms best explains this finding?
Correct
Incorrect
Question 15 of 20
15. Question
A 66-year-old man undergoes operative repair of an infrarenal abdominal aortic aneurysm. On awakening from the procedure, the patient is unable to move his legs. Examination of the lower extremities shows flaccid paralysis. Rectal tone is markedly decreased. Sensation to light touch and vibration and proprioception are intact. Which of the following structures was most likely injured in this patient during the surgical procedure?
Correct
Incorrect
Question 16 of 20
16. Question
A 16-year-old boy is brought to the physician because of a 5-day history of fever, rash on his stomach, and pain of his wrists and knees. Two weeks ago, he was diagnosed with streptococcal pharyngitis, and he was treated with a 10-day course of penicillin. His temperature is 38.8°C (101.8°F), pulse is 92/min, and respirations are 23/min. Physical examination shows a nonpruritic, mildly raised pink abdominal rash with distinct borders. A mitral regurgitation murmur is heard. Palpation of the wrists and knees produces pain. Which of the following pathologic changes is most likely in this patient’s mitral valve at this time?
Correct
Incorrect
Question 17 of 20
17. Question
A 30-year-old woman at 20 weeks’ gestation comes to the physician for a routine prenatal visit. Physical examination shows a uterus consistent in size with a 25-week gestation. Ultrasound examination shows cysts in the uterine cavity and enlargement and cystic changes of the ovaries; no fetus is identified. Which of the following hormones is the most likely cause of these cystic changes of the ovaries?
Correct
Incorrect
Question 18 of 20
18. Question
The serum urea nitrogen (BUN) concentrations in a population of randomly chosen healthy volunteers and a group of patients with known kidney disease are depicted in the graph. The cutoff point is chosen to best identify those without disease from patients with disease. Which of the following is the most likely effect of increasing the normal cutoff point from 20 mg/dL to 30 mg/dL on the specificity and sensitivity of BUN testing?
Option
Sensitivity
Specificity
A
↑
↑
B
↑
↓
C
↓
↑
D
↓
↓
Correct
Incorrect
Question 19 of 20
19. Question
A 30-year-old man receives a skeletal muscle relaxant and a general anesthetic prior to an abdominal operation. Fifteen minutes later, his temperature is 40.6°C (105°F), and tachycardia and cyanosis develop. Which of the following is most likely responsible for these adverse effects?
Correct
Incorrect
Question 20 of 20
20. Question
A 57-year-old woman is brought to the emergency department 30 minutes after she fell down the stairs and landed on her left arm. Examination of the left upper extremity shows multiple contusions, edema, and exquisite tenderness. An x-ray of the left upper extremity is shown. Which of the following additional findings is most likely in this patient as a result of this injury?
Correct
Incorrect
لا تفوّت فرصتك!
احصل على تجربة مجانية لدورة USMLE
محتوى مختار من المحاضرات، الكتب، بنك الأسئلة مع فيديوهات قصيرة لحل الأسئلة، والفلاش كاردز.