A 57-year-old man comes to the physician because of a 1-year history of an enlarging painless lesion on his nose. The lesion sometimes bleeds when he washes his face. He has no history of serious illness and takes no medications. His temperature is 36.8°C (98.2°F), pulse is 84/min, respirations are 16/min, and blood pressure is 128/78 mm Hg. Examination shows the lesion in the photograph and no other abnormalities. Which of the following is the most likely diagnosis?
Correct
Incorrect
Question 2 of 50
2. Question
A 27-year-old primigravid woman at 11 weeks’ gestation comes to the emergency department because of severe cramps and heavy bleeding for 3 hours. A fetal demise was diagnosed 1 week ago. Her blood group is A, Rh-positive. Vital signs are within normal limits. A clot containing a 4-cm sac surrounded by a placenta and a 1-cm embryo is removed from the vaginal canal. The cervix is closed, and there is no bleeding. The uterus is firm and consistent in size with a 6-week gestation. Which of the following is the most appropriate next step in management?
Correct
Incorrect
Question 3 of 50
3. Question
A recent cross-sectional study showed that the prevalence of autism spectrum disorder (ASD) in children between the ages of 6 and 17 years in the United States increased from 6.7 per 1000 children to 11.3 per 1000 children during the past 10 years. Data were collected from 40 state registries. Which of the following is the most likely cause of this increased prevalence?
Correct
Incorrect
Question 4 of 50
4. Question
A 32-year-old woman is brought to the emergency department immediately after she was involved in a motor vehicle collision. She was the restrained driver, and her vehicle was struck on its left side by a van. Air bags were deployed on impact. At the scene, her spine was immobilized with a cervical collar, and her head was taped to a backboard. En route to the hospital, 250 mL of intravenous lactated Ringer solution was administered, and administration of oxygen (4 L/min) by nasal cannula was begun. On arrival, she is alert and says she has pain in her left arm, left lower abdomen, and left flank. Her pulse is 128/min, respirations are 18/min, and blood pressure is 90/55 mm Hg. Pulse oximetry on 4 L/min of oxygen by nasal cannula shows an oxygen saturation of 95%. Breath sounds are normal. Examination shows a large hematoma over the left upper extremity, including the left shoulder. There is severe tenderness of the left lower quadrant of the abdomen and mild tenderness over the suprapubic region. X-rays of the cervical spine, chest, and pelvis show a diastasis of the pubic symphysis with widening of the left sacroiliac joint. Insertion of a urinary catheter yields 150 mL of grossly bloody urine. Her hemoglobin concentration is 12.4 g/dL, hematocrit is 37%, and leukocyte count is 11,800/mm3. Which of the following is the most appropriate next step in management?
Correct
Incorrect
Question 5 of 50
5. Question
A patient is scheduled to undergo a hemivulvectomy for squamous cell carcinoma. Prior to the procedure, a written time-out verification is required as part of hospital protocol. Which of the following must be recorded on the time-out verification?
Correct
Incorrect
Question 6 of 50
6. Question
A 17-year-old primigravid patient at 34 weeks’ gestation comes to the physician because of a 3-week history of increasing pain and numbness of her right hand. The pain is greatest over the lateral half of her hand. During this time, she also has had episodes of cramping of her right index, middle, and ring fingers that form a “claw.” She has no history of serious illness. Examination shows 2+ edema of the hands and fingers. Pressing the extensor surfaces of the flexed wrists together reproduces the pain. Which of the following is the most appropriate initial step in management?
Correct
Incorrect
Question 7 of 50
7. Question
A 72-year-old man is brought to the emergency department 30 minutes after the sudden onset of severe chest pain that radiates to his back. Ten years ago, he underwent coronary artery bypass grafting after he sustained a myocardial infarction. Since then, he has had intermittent substernal chest pain. He has hypertension and is not always compliant with his medication regimen. Medications include a nitrate, calcium-channel blocking agent, and β-adrenergic blocking agent. He appears anxious and diaphoretic and is unable to find a comfortable position. His temperature is 37.9°C (100.2°F), pulse is 65/min and regular, respirations are 30/min, and blood pressure is 190/110 mm Hg on the right and 110/80 mm Hg on the left. The lungs are clear to auscultation. No gallops or murmurs are heard. A CT scan of the chest shows an opacification of half of the aortic lumen from just proximal to the origin of the left subclavian artery and extending to the celiac artery distally; there is a thrombus in the aortic false lumen and a left pleural effusion. Which of the following is the most appropriate next step in management?
Correct
Incorrect
Question 8 of 50
8. Question
A 23-year-old man comes to the emergency department the morning after injuring his finger in a fight at a bar the previous evening. The injury occurred when he punched another patron in the mouth. Review of medical records shows that he underwent emergency laparotomy and splenectomy for trauma at 6 years of age. At that time, his immunizations were up-to-date, including pneumococcal polysaccharide vaccine, 23-valent. He has not seen a physician since then and has been in good health. Examination of the right hand shows a laceration over the right fourth metacarpophalangeal joint. An x-ray shows no abnormalities. In addition to irrigating the wound, the most appropriate treatment is administration of which of the following?
Correct
Incorrect
Question 9 of 50
9. Question
A 57-year-old man with chronic hepatitis B comes to the physician because of a 6-month history of bruising of the arms and legs after minor trauma. He appears jaundiced. Examination shows palmar erythema and multiple 5-cm ecchymoses over the upper and lower extremities. No petechiae are seen. The spleen tip is palpated 2 cm below the left costal margin. There is gynecomastia and testicular atrophy. Laboratory studies are most likely to show which of the following sets of values?
Option
Prothrombin Time
Partial Thromboplastin Time
Platelet Count (/mm³)
A
Increased
Increased
80,000
B
Increased
Increased
600,000
C
Increased
Normal
1,000
D
Normal
Increased
80,000
E
Normal
Normal
80,000
F
Normal
Normal
300,000
Correct
Incorrect
Question 10 of 50
10. Question
A 67-year-old man comes to the physician because of a 1-month history of episodes of light-headedness. He has hypertension and atrial fibrillation. Current medications are lisinopril, atenolol, and apixaban. His temperature is 37.1°C (98.8°F), and respirations are 12/min. While supine, his pulse is 44/min and blood pressure is 124/68 mm Hg; while standing, his pulse is 48/min and blood pressure is 120/64 mm Hg. Cardiac examination shows a slow, irregular heartbeat. Which of the following is the most appropriate next step in management?
Correct
Incorrect
Question 11 of 50
11. Question
A comatose 77-year-old woman with alcohol-induced cirrhosis is being treated for bacterial peritonitis and hepatic encephalopathy. After 1 week of antibiotic and lactulose therapy, she remains in a coma. She has a living will stating that she does not want resuscitation or artificial feeding if she has a terminal condition. Her son is her health care proxy. When the patient’s course is reviewed with the husband, he states that he is tired of seeing his wife suffer and asks the physician to just make her comfortable and discontinue all therapy. Which of the following is the most appropriate response?
Correct
Incorrect
Question 12 of 50
12. Question
A 57-year-old woman comes to the physician because she has had a sore throat for 3 days. She has not had any other symptoms. She has Graves disease treated with propylthiouracil and type 2 diabetes mellitus controlled with metformin and rosiglitazone. She takes daily ibuprofen and glucosamine for knee pain. There is no family history of serious illness. Her temperature is 37.3°C (99.2°F), pulse is 108/min, respirations are 14/min, and blood pressure is 123/74 mm Hg. There are multiple tender, enlarged lymph nodes in the anterior cervical chain. Examination of the oropharynx shows erythema and edema of the tonsils with no exudate. The remainder of the examination shows no abnormalities. A rapid streptococcal test is positive. Laboratory studies show:
Hemoglobin
12 g/dL
Hematocrit
38%
Erythrocyte count
4 million/mm3
Mean corpuscular hemoglobin
30 pg/cell
Mean corpuscular hemoglobin concentration
34% Hb/cell
Mean corpuscular volume
90 μm3
Leukocyte count
2300/mm3
Segmented neutrophils
24%
Eosinophils
5%
Basophils
2%
Lymphocytes
62%
Monocytes
7%
Platelet count
200,000/mm3
Which of the following medications is the most likely cause of this patient’s neutropenia?
Correct
Incorrect
Question 13 of 50
13. Question
A 25-year-old woman comes to the physician because of a 1-week history of progressive diarrhea. She initially had loose, nonbloody bowel movements six to eight times daily; during the past 2 days, she has passed small amounts of loose, bloody, stool with mucus 8 to 10 times daily associated with lower abdominal cramps. She went on a vacation in Guatemala 3 weeks ago. She has no history of serious illness and takes no medications. Her current temperature is 37.6°C (99.7°F). Abdominal examination shows mild tenderness in the lower quadrants. Rectal examination shows mucus and gross blood in the rectal vault. Examination of a wet mount preparation of the stool shows trophozoites. Which of the following is the most appropriate pharmacotherapy?
Correct
Incorrect
Question 14 of 50
14. Question
A 6-month-old boy is admitted to the hospital for treatment of his second episode of Streptococcus pneumoniae sepsis within the past 5 weeks. He was treated for acute otitis media at the ages of 3 months and 4 months. He was delivered at term following an uncomplicated pregnancy and delivery. His maternal uncle died as an infant of Haemophilus influenzae type b sepsis and meningitis. The patient’s immunizations are up-to-date, and there have been no complications of immunizations. He is mildly irritable but easily consoled. His temperature is 38.5°C (101.3°F), pulse is 160/min, and respirations are 42/min. Examination shows no lymphadenopathy. Laboratory studies show:
Leukocyte count
17,000/mm3
Segmented neutrophils
64%
Bands
8%
Eosinophils
1%
Lymphocytes
25%
Monocytes
2%
Serum
IgG
20 mg/dL (N=172–1069)
IgA
<5 mg/dL (N=4.4–84)
IgM
<5 mg/dL (N=33–126)
His CD4+ and CD8+ T-lymphocyte counts are within the reference ranges. There are no CD19 B lymphocytes. The remainder of the examination shows no abnormalities. Which of the following is the most appropriate next step in management?
Correct
Incorrect
Question 15 of 50
15. Question
A 17-year-old boy undergoes an emergency inguinal herniorrhaphy under general anesthesia for an incarcerated hernia. On induction, he aspirates vomitus while being observed by the anesthesiologist. He is intubated but is difficult to ventilate. Examination shows acrocyanosis. Breath sounds are equal. Pulse oximetry on 100% oxygen shows an oxygen saturation of 85%. Which of the following is the most appropriate next step in management?
Correct
Incorrect
Question 16 of 50
16. Question
A 37-year-old woman, gravida 1, para 1, comes to the physician for a postpartum examination 4 weeks after delivery of a 3500-g (7-lb 12-oz) male newborn at term. She received no prenatal care. Prior to delivery, her blood group was determined to be A, Rh-negative; results of other laboratory studies were within the reference ranges. She has no history of serious illness or operative procedures. At today’s visit, no documentation is found of postpartum administration of Rho(D) immune globulin, and she says that she does not recall receiving any injections. Repeat blood group determination and red blood cell antibody titer confirm blood group and lack of RBC antibodies, and she is given Rho(D) immune globulin. Which of the following is the most appropriate classification of this medical error?
Correct
Incorrect
Question 17 of 50
17. Question
A 16-year-old patient comes to the physician because she is concerned she may be pregnant. She has been sexually active with several male partners; her partners use condoms inconsistently. On questioning, she states that she has not had diarrhea or abdominal pain. Her last menstrual period was 10 weeks ago. She has celiac disease well controlled with diet. She does not smoke cigarettes and rarely drinks alcohol. Her diet consists of mostly meat, some dairy products, corn, potatoes, soda, and juice. She does not eat bread or pasta, does not drink milk, and rarely eats fruits or leafy vegetables. She appears pale. She is 162 cm (5 ft 4 in) tall and weighs 50 kg (110 lb); BMI is 19 kg/m2. Her blood pressure is 110/70 mm Hg. Examination shows warm skin. The thyroid gland is mildly enlarged. Cardiac examination shows no abnormalities. The abdomen is soft. Deep tendon reflexes are brisk. Laboratory studies show:
Hemoglobin
10 g/dL
Mean corpuscular volume
110 μm3
Serum
Thyroid-stimulating hormone
0.9 μU/mL
Thyroxine (T4)
18 μg/dL
An anti-endomysial antibody test and a urine pregnancy test are positive. This patient’s fetus is at increased risk for which of the following?
Correct
Incorrect
Question 18 of 50
18. Question
A 27-year-old woman comes to the physician because of progressive hair loss and decreased sense of taste during the past 2 months. She is otherwise asymptomatic. She and her brother have hepatolenticular degeneration (Wilson disease); her only medication is penicillamine. She is allergic to nuts but has no known drug allergies. She does not smoke cigarettes or drink alcohol. She is sexually active with one male partner; they use condoms inconsistently. She maintains a vegetarian diet. Vital signs are within normal limits. Examination shows diffuse alopecia. Examination of the mouth and tongue shows no abnormalities. Which of the following is the most appropriate next step in diagnosis?
Correct
Incorrect
Question 19 of 50
19. Question
A 28-year-old man with sickle cell disease is brought to the emergency department because of a 4-hour history of shortness of breath and increasingly severe chest pain. He has not had cough, fever, or chills. During the past 5 years, he has been hospitalized approximately twice yearly for treatment of sickle cell disease crises. He takes oxycodone to control pain. Last night, he drank four 12-oz beers. Typically, he drinks one 12-oz beer weekly. He smokes cigarettes only when he drinks beer. He appears to be in respiratory distress and in pain. His temperature is 37.2°C (99°F), pulse is 112/min, respirations are 30/min, and blood pressure is 144/88 mm Hg. Pulse oximetry on room air shows an oxygen saturation of 85%. Examination shows conjunctival icterus and pale mucous membranes. The lungs are clear to auscultation. On cardiac examination, no murmurs are heard. Laboratory studies show:
Hemoglobin
6 g/dL
Hematocrit
19%
Leukocyte count
14,000/mm3
Segmented neutrophils
80%
Lymphocytes
18%
Monocytes
2%
Platelet count
300,000/mm3
A chest x-ray shows consolidation of the right middle and lower lobes. In addition to administration of 0.9% saline, hydromorphone, antibiotics, and oxygen, which of the following is the most appropriate next step in management?
Correct
Incorrect
Question 20 of 50
20. Question
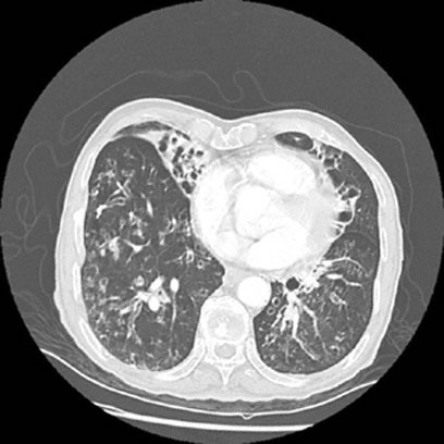
A 52-year-old woman comes to the physician as a new patient because of a 5-day history of temperatures to 38.2°C (100.8°F) and cough productive of thick, gray-green sputum. She says the sputum is difficult to cough up. During the past 15 years, she has had similar symptoms twice yearly, which resolved after treatment with antibiotics. Because of lack of insurance during this time, she was treated at urgent care clinics. She has no known allergies and no history of serious illness. Her only medication is an over-the-counter cough suppressant. She does not smoke cigarettes or use illicit drugs. She drinks three glasses of wine weekly. She is 170 cm (5 ft 7 in) tall and weighs 91 kg (200 lb); BMI is 31 kg/m2. Her temperature is 38°C (100.4°F), pulse is 80/min, and blood pressure is 138/84 mm Hg. Pulse oximetry on room air shows an oxygen saturation of 94%. On pulmonary examination, there is an increased expiratory phase; rhonchi and faint wheezes are heard bilaterally. A CT scan of the chest is shown. Which of the following is the most likely diagnosis?
Correct
Incorrect
Question 21 of 50
21. Question
A 37-year-old man comes to the physician because of a 1-month history of increased thirst, frequent urination, and fatigue. He has a 20-year history of alcohol use disorder and has had multiple episodes of pancreatitis during the past 10 years. He began pancreatic enzyme replacement therapy 5 years ago. An abdominal x-ray 1 year ago showed calcifications within the pancreas. He is 175 cm (5 ft 9 in) tall and weighs 59 kg (130 lb); BMI is 19 kg/m2. Vital signs are within normal limits. Examination shows no abnormalities. His serum glucose concentration is 288 mg/dL. Which of the following is the most appropriate pharmacotherapy?
Correct
Incorrect
Question 22 of 50
22. Question
A 47-year-old woman is scheduled for discharge home 3 days after total abdominal hysterectomy and bilateral salpingo-oophorectomy for leiomyomata uteri. She has no other history of serious illness. Medications are ibuprofen and oxycodone. She has a family history of osteoporosis, and she is concerned about estrogen therapy because of a strong family history of breast cancer. Vital signs are within normal limits. Examination shows a clean, dry, intact incision site. In addition to exercise and calcium with vitamin D supplementation, which of the following is the most appropriate recommendation for bone health in this patient?
Correct
Incorrect
Question 23 of 50
23. Question
A 15-year-old girl with cystic fibrosis is admitted to the hospital because of a 1-month history of progressive shortness of breath and cough productive of purulent sputum. She has had three hospitalizations for pulmonary exacerbations, the most recent of which was 6 months ago. Her medications are oral montelukast, inhaled fluticasone, inhaled tobramycin, inhaled dornase alfa, and oral azithromycin. She is in moderate respiratory distress. Her temperature is 37.8°C (100°F), pulse is 80/min, and respirations are 30/min. Pulse oximetry on room air shows an oxygen saturation of 85%. Examination shows diffuse crackles bilaterally. Sputum culture results are pending. Which of the following is the most likely causal agent?
Correct
Incorrect
Question 24 of 50
24. Question
A 22-year-old man is brought to the emergency department 50 minutes after he was involved in a motor vehicle collision. He was the unrestrained driver and struck his chest on the steering wheel. He did not strike his head or lose consciousness. On arrival, he has soreness in the midsternal area. He does not have shortness of breath. His pulse is 90/min, and blood pressure is 140/80 mm Hg. The lungs are clear to auscultation. Examination shows a large, exquisitely tender, ecchymotic area over the sternum. An ECG shows ST-segment elevation in leads V1 through V4. An x-ray of the chest shows no sternal fracture. Echocardiography shows an anterior wall motion hypokinesis. Which of the following is the most appropriate immediate step in management?
Correct
Incorrect
Question 25 of 50
25. Question
A 32-year-old man comes to the physician because of pain in his right hand 3 days after sustaining a puncture wound to the index finger while gardening. His temperature is 38.9°C (102°F). Examination of the right index finger shows erythema and swelling from the fingertip to the level of the metacarpophalangeal joint. The finger is held in a slightly flexed position. Passive extension of the right index finger increases the pain. There is no drainage from the wound. X-rays of the index finger show soft-tissue swelling. Which of the following is the most likely diagnosis?
Correct
Incorrect
Question 26 of 50
26. Question
A 32-year-old woman comes to the physician because of a 1-week history of blood in her urine. She does not have pain or burning with urination. She has no history of serious illness or similar symptoms and takes no medications. Two weeks ago, she fell down a flight of stairs while carrying books. Menses occur at regular 30-day intervals; her last menstrual period was 10 days ago. She is sexually active with one male partner, and they use condoms consistently. Physical examination shows ecchymoses over the right flank with tenderness to palpation. Pelvic examination shows no abnormalities. Which of the following is the most appropriate next step in diagnosis?
Correct
Incorrect
Question 27 of 50
27. Question
A 52-year-old man with major depressive disorder comes to the physician for a follow-up examination. He began fluoxetine therapy 6 weeks ago. Two weeks later, he reported improvement in his mood and said he was feeling hopeful about the future. He has no other history of serious illness and takes no other medications. He does not drink alcohol or use illicit drugs. Physical examination shows no abnormalities. On mental status examination, he has a neutral mood and full range of affect. He says that 1 week ago, he fell out of bed after dreaming about being chased. His wife says he has been intermittently thrashing about while asleep. On one occasion, he punched at her, yelling and cursing. He was surprised and embarrassed when he realized he acted out his dream. He has no history of similar incidents. Which of the following is the most likely explanation for this patient’s current nocturnal symptoms?
Correct
Incorrect
Question 28 of 50
28. Question
A 64-year-old woman with hypertension comes to the physician because of a 6-month history of moderate midepigastric pain that worsens with eating. During this time, she has had an 8.2-kg (18-lb) weight loss despite no change in appetite. She has four to six bowel movements daily, typically after eating. Her only medication is hydrochlorothiazide. She has smoked one-half pack of cigarettes daily for 40 years and drinks two martinis daily. She is 168 cm (5 ft 6 in) tall and weighs 59 kg (130 lb); BMI is 21 kg/m2. Her temperature is 36.9°C (98.4°F), pulse is 90/min, respirations are 14/min, and blood pressure is 136/70 mm Hg. Examination shows several telangiectasias over the chest. There is no scleral icterus. Abdominal examination shows mild epigastric tenderness to palpation. No masses are noted. Bowel sounds are normal. Laboratory studies show:
Hemoglobin
13.6 g/dL
Leukocyte count
6400/mm3
Platelet count
150,000/mm3
Serum
Glucose
180 mg/dL
Alkaline phosphatase
120 U/L
AST
190 U/L
ALT
80 U/L
Amylase
110 U/L
Lipase
65 U/L (N=13–60)
An x-ray of the abdomen is shown. Which of the following is the most likely diagnosis?
Correct
Incorrect
Question 29 of 50
29. Question
A previously healthy 67-year-old woman comes to the physician because of a 9-month history of moderate abdominal pain after eating. Eating frequent, small meals has minimized the pain. During this period, she has had an 11-kg (25-lb) weight loss. She has smoked one pack of cigarettes daily for 28 years. She is 160 cm (5 ft 3 in) tall and weighs 45 kg (99 lb); BMI is 18 kg/m2. Abdominal examination shows no abnormalities. Examination of the stool for ova and parasites is negative. An x-ray of the abdomen and esophagogastroduodenoscopy show no abnormalities. Which of the following is the most appropriate next step in diagnosis?
Correct
Incorrect
Question 30 of 50
30. Question
A 67-year-old man comes to the physician because of a 3-week history of dull, intermittent, left-sided chest pain that radiates to the left side of his jaw. The pain occurs when he mows his lawn or chops wood. When the pain occurs, he also has light-headedness and nausea. The pain resolves after he rests for several minutes. He has not had fever, night sweats, or changes in weight. He had cold and upper respiratory tract infection symptoms 1 month ago. He has a long-standing history of hypertension and arthritis. His medications are lisinopril, amlodipine, glucosamine, and acetaminophen as needed; acetaminophen and antacid therapy have not improved his pain. He smoked one pack of cigarettes daily for 40 years but quit 10 years ago. His pulse is 52/min, respirations are 20/min, and blood pressure is 158/86 mm Hg. On cardiac examination, an S3 is heard; a grade 3/6 systolic murmur is heard best at the second right intercostal space. Which of the following is the most appropriate next step in diagnosis?
Correct
Incorrect
Question 31 of 50
31. Question
A 17-year-old girl comes to the physician because of irregular menstrual periods since menarche at the age of 11 years. Menses occur at 14- to 90-day intervals and last 1 to 9 days. Her last menstrual period was 2 weeks ago. She has no history of serious illness and takes no medications. She is 163 cm (5 ft 4 in) tall and weighs 91 kg (200 lb); BMI is 34 kg/m2. Examination shows dark skin near the base of the neck, under the axillae and breasts, and over the perineum. Central obesity is noted. Measurement of which of the following is the most appropriate next step in management?
Correct
Incorrect
Question 32 of 50
32. Question
A 14-year-old girl is brought to the physician by her mother because of a 2-month history of moderate breast pain and constant brown to bloody right nipple discharge and tenderness. She first noticed the discharge on her bra at the end of cross-country running season and initially attributed it to bra irritation. She is otherwise asymptomatic. Menarche was at the age of 13 years. Menses occur at regular 28-day intervals. She has no history of serious illness and takes no medications. She has never been sexually active. She is at the 50th percentile for height and 70th percentile for weight. On examination, breast development is sexual maturity rating (SMR) stage 3, and pubic hair development is SMR stage 4. The breasts are small and symmetric. The lateral edges of the right nipple are tender to palpation; a small amount of brown discharge is expressed. Test of the discharge for occult blood is positive. Which of the following is the most likely diagnosis?
Correct
Incorrect
Question 33 of 50
33. Question
One week after an uncomplicated spontaneous vaginal delivery, a hospitalized 27-year-old woman, gravida 2, para 2, has a temperature of 38.7°C (101.7°F). During the past week, her temperature has ranged from 37.2°C (99°F) to 38.7°C (101.7°F). Pregnancy was uncomplicated. She has been receiving broad-spectrum antibiotic therapy for the past 5 days. Blood and urine cultures were negative on postpartum days 2 and 5. Today, she appears comfortable. Her pulse is 72/min, and blood pressure is 102/64 mm Hg. Pelvic examination shows a small amount of vaginal discharge and no uterine tenderness. Her leukocyte count is 14,000/mm 3. Yesterday, her leukocyte count was 18,000/mm 3. Which of the following is the most likely diagnosis?
Correct
Incorrect
Question 34 of 50
34. Question
A 42-year-old man comes to the physician for a health maintenance examination. He runs 30 miles weekly and recently completed his third marathon. He works as an airline pilot. He has no history of serious illness and takes no medications. His father had a myocardial infarction at the age of 54 years. The patient’s pulse is 56/min, respirations are 12/min, and blood pressure is 110/60 mm Hg. Examination shows no abnormalities. An ECG is shown. Which of the following is the most appropriate next step in management?
Correct
Incorrect
Question 35 of 50
35. Question
A 52-year-old man comes to the office for a follow-up examination 4 months after undergoing allogeneic stem cell transplant for acute myelogenous leukemia. He has had five to six loose, watery stools during the past 3 days. He has a 3-week history of an itchy rash over his face, chest, upper back, and arms. He reports that he has continued to have fatigue and mild dryness of the eyes and mouth since his last visit 1 month ago. He has not had fever, night sweats, or cough. The patient and the donor tested positive for cytomegalovirus before the transplant. The patient has no other history of serious illness. His medications are tacrolimus, prednisone, mycophenolate, trimethoprim-sulfamethoxazole, and acyclovir; he has had no adverse effects. Vital signs are within normal limits. Examination shows a faint macular rash without scaling across the face, chest, upper back, and upper extremities. There is no lymphadenopathy. The eyes are mildly dry, and the sclerae are erythematous. Cardiopulmonary examination shows no abnormalities. Serum studies show:
Total bilirubin
2.1 mg/dL
Alkaline phosphatase
145 U/L
AST
112 U/L
ALT
175 U/L
Results of a complete blood count, measurement of serum electrolyte concentrations, and renal function tests are within the reference ranges. Which of the following is the most likely diagnosis?
Correct
Incorrect
Question 36 of 50
36. Question
An 11-year-old boy is brought to the office by his parents because of a 2-day history of dark urine. Five days ago, he had a mild upper respiratory tract infection, which resolved spontaneously. He has not had pain with urination. He has not had sick contacts. He had frequent episodes of otitis media during infancy. He failed a hearing test at school 6 months ago, and his parents plan to schedule audiometry. He has no other history of serious illness and receives no medications. Immunizations are up-to-date. Growth and development are appropriate for age. The patient’s maternal uncle has end-stage renal disease. The patient’s temperature is 37°C (98.6°F), pulse is 80/min, respirations are 12/min, and blood pressure is 100/70 mm Hg. Examination shows no abnormalities. Urinalysis shows:
RBC
50/hpf
WBC
1–5/hpf
Protein
3+
Which of the following is the most likely diagnosis?
Correct
Incorrect
Question 37 of 50
37. Question
A 17-year-old girl comes to the office for a health maintenance examination for school. She has no history of serious illness or surgical procedures. Her mother has type 2 diabetes mellitus and hypercholesterolemia, and her father died of a heart attack at the age of 54 years. Menses occur at regular 28-day intervals. Her last menstrual period was 2 weeks ago. She does not smoke cigarettes and has never been sexually active. Her diet consists of mainly carbohydrates and fats with minimal protein or vegetables. She drinks two glasses of whole cow milk daily. She is 157 cm (5 ft 2 in) tall and weighs 68 kg (150 lb); BMI is 27 kg/m2. Her pulse is 84/min, and blood pressure is 110/60 mm Hg. Examination shows no other abnormalities. Which of the following is the most appropriate next step in management?
Correct
Incorrect
Question 38 of 50
38. Question
A hospitalized 82-year-old man has a 3-day history of progressive irritability after undergoing uncomplicated aortic valve replacement. He also has had insomnia during this time. He says he feels restless and edgy after sundown, and he repeatedly asks to go home “so I can at least sleep.” He has chronic kidney disease, asthma, and central sleep apnea. His hospital medications are albuterol, cefepime, oxycodone, and sevelamer. He drinks one 12-oz beer once weekly and has smoked two packs of cigarettes daily for 58 years. He appears fatigued but alert and attentive. Vital signs are within normal limits. Physical examination shows a clean, dry sternal incision and a barrel-shaped chest. On mental status examination, he has a surly mood and restricted affect. Cognition is intact. Which of the following is the most appropriate next step in management of this patient’s insomnia?
Correct
Incorrect
Question 39 of 50
39. Question
A 62-year-old woman comes to the office because of a 3-month history of progressive fatigue that has not been associated with any illness or other precipitating factors. She has gained 4 kg (8 lb) during the past 2 months despite attempting to follow a weight loss diet; she also has had constipation during this time. She has hypertension treated with lisinopril. She drinks one alcoholic beverage weekly and does not smoke cigarettes. She is not in distress. She is 165 cm (5 ft 5 in) tall and weighs 73 kg (160 lb); BMI is 27 kg/m2. Vital signs are temperature 37.0°C (98.6°F), pulse 70/min, respirations 12/min, and blood pressure 130/72 mm Hg. Neck is supple with no thyromegaly or adenopathy. Cardiopulmonary examination discloses no abnormalities. Examination of the lower extremities shows no edema; reflexes are 1+ at the knees with delayed relaxation. Which of the following is the most likely complication of this patient’s condition?
Correct
Incorrect
Question 40 of 50
40. Question
A 48-year-old man comes to the emergency department 6 hours after the sudden onset of severe right-sided chest pain that increases with inspiration. He also has had shortness of breath during this time. Ten days ago, he sustained a nondisplaced right ankle fracture while playing basketball. He was taken to the emergency department, and a cast was placed on his right lower extremity. He has hypertension treated with amlodipine and has been taking ibuprofen for ankle pain. His temperature is 37.2°C (98.9°F), pulse is 110/min and regular, respirations are 32/min, and blood pressure is 90/50 mm Hg. Pulse oximetry on room air shows an oxygen saturation of 90%. Cardiac examination shows no other abnormalities. There is splinting of the right hemithorax. The remainder of the examination shows no abnormalities. Which of the following sets of cardiac output and systemic vascular resistance findings is most likely to be found in this patient?
Option
Cardiac Output
Systemic Vascular Resistance
A
Decreased
Decreased
B
Decreased
Increased
C
Increased
Decreased
D
Increased
Increased
E
Normal
Normal
Correct
Incorrect
Question 41 of 50
41. Question
A 4-year-old girl is brought to the office by her 26-year-old mother for a well-child examination. The mother says that her daughter is full of energy and is always asking her parents to play with or read to her. She becomes irritable and sulks when her mother refuses. The mother says she is exhausted from taking care of the patient and a 2-year-old son. She says the family has had a difficult year; their home was repossessed by the bank, and they are now living with the father’s parents. The mother becomes tearful as she describes their ongoing financial problems and how much they miss their old home. The mother’s sister and father have major depressive disorder. Physical examination of the patient shows no abnormalities. The mother asks what she can do to best help herself and her family. Which of the following is the most appropriate recommendation?
Correct
Incorrect
Question 42 of 50
42. Question
A 19-year-old man who is a US Army recruit is brought to the emergency department by his commanding officer 30 minutes after he was found in a supply shed. The patient covered the windows in aluminum foil to “keep enemy radio signals from penetrating the command center.” The commanding officer searched for the recruit after he did not arrive for morning formation. The patient is insisting that he is “battalion commander.” Physical examination and laboratory studies show no other abnormalities. Toxicology screening results are negative. The patient’s parents are contacted, and they state that he has no history of psychiatric illness. Recruits bunking next to him in the barracks are interviewed and state that his behavior has become progressively odd during the past month. Which of the following is the most likely diagnosis?
Correct
Incorrect
Question 43 of 50
43. Question
A nurse is preparing a 65-year-old man for discharge when the patient has the acute onset of left-sided weakness. Two days ago, he was admitted to the hospital for treatment of dehydration. He has type 2 diabetes mellitus and hypertension. His medications are pioglitazone and lisinopril. His temperature is 37.1°C (98.8°F), pulse is 82/min, respirations are 16/min, and blood pressure is 175/88 mm Hg. Examination shows left lower facial weakness, left hemiplegia, and dysarthria. No other abnormalities are noted. Results of laboratory studies are within the reference ranges. CT scan of the head shows no abnormalities. Which of the following is the most appropriate next step in management?
Correct
Incorrect
Question 44 of 50
44. Question
A 4-year-old boy is brought to the office by his parents because of a 2-year history of sunburns and redness of both eyes. His parents say his skin becomes red and irritated after 15 minutes of sun exposure. Whenever he is outside, his eyes become red. Growth and development otherwise have been appropriate for age. Vaccinations are up-to-date. He is at the 50th percentile for height, weight, and BMI. His temperature is 37.0°C (98.6°F), pulse is 106/min, and respirations are 24/min. A photograph of the skin is shown. Ocular examination discloses injection of the conjunctival vessels without discharge bilaterally. Which of the following is most likely to develop in this patient during the next 10 years?
Correct
Incorrect
Question 45 of 50
45. Question
A 76-year-old man is brought to the clinic by his wife for consultation regarding left total knee replacement. During the past 2 years, he has required a cane to ambulate because of increasingly severe left knee pain. He has hypertension, major depressive disorder, and early stage dementia, Alzheimer type. His medications are nifedipine, sertraline, and aspirin. He lives with his wife, who assists him in all activities of daily living. He is oriented to person and place but not year. Pulse is 78/min, and blood pressure is 160/68 mm Hg. Physical examination shows crepitus and moderate pain on passive range of motion of the left knee. There is no warmth, erythema, or effusion. On mental status examination, he has a happy mood and congruent affect. He registers three of three objects immediately but recalls zero after 1 minute. The patient is provided with information regarding total knee replacement. When he is asked if he understands the benefits of the procedure, he says, “It will fix my knee.” He is then given information about the risks and alternative treatment options. When asked about his understanding, he replies, “It will be OK.” Which of the following is the greatest indication that this patient may not have sufficient capacity for informed consent?
Correct
Incorrect
Question 46 of 50
46. Question
A 23-year-old woman comes to the emergency department because of a 3-month history of increasingly painful circumferential headaches that are most severe when she lies down. During this time, she also has had intermittent episodes of “grayed out” vision with constriction of her visual fields. The episodes last 5 seconds and resolve spontaneously. The patient was treated for Chlamydia trachomatis infection 2 years ago. She has no other history of serious illness and takes no medications. Her diet consists mainly of “junk food.” She appears anxious. She is 157 cm (5 ft 2 in) tall and weighs 124 kg (273 lb); BMI is 50 kg/m2. Her blood pressure is 165/82 mm Hg; other vital signs are within normal limits. Findings on funduscopic examination of the right eye are shown; similar findings are noted in the left eye. The remainder of the examination shows no abnormalities. Lumbar puncture is performed, and opening pressure is 39 cm H2O. Results of cerebrospinal fluid analysis are within the reference ranges. MRI of the brain and MR venography show no abnormalities. Which of the following is most likely to have prevented this patient’s current symptoms?
Correct
Incorrect
Question 47 of 50
47. Question
A clinician would like to increase the accuracy of diagnosing streptococcal pharyngitis among his pediatric patients in order to begin treatment sooner. He considers implementing a new diagnostic test for streptococcal pharyngitis and reviews the receiver operator characteristic (ROC) curve shown. Which of the following is the most likely clinical impact of using cut point C instead of cut point B as a positive test?
Correct
Incorrect
Question 48 of 50
48. Question
A 20-year-old man, who is a US soldier, is evaluated in the hospital 1 day after transfer from a military field hospital following injury from an improvised explosive device. He was thrown approximately 20 feet during the explosion and sustained an open fracture of the right tibia and fibula. He was stabilized and intubated in the field hospital prior to being transferred. CT scans of the head, neck, chest, abdomen, and pelvis have shown no abnormalities. The patient underwent open reduction and external fixation of the fractures and was extubated 1 hour ago. Medical history is unremarkable. Medications are morphine and cephalexin. Temperature is 37.7°C (99.8°F), pulse is 100/min, respirations are 20/min, and blood pressure is 120/80 mm Hg. Pulse oximetry on 4 L/min of oxygen by nasal cannula shows an oxygen saturation of 96%. Physical examination shows an external fixation device on the right lower extremity with a clean dressing. This patient is at greatest risk for which of the following?
Correct
Incorrect
Question 49 of 50
49. Question
A 67-year-old man comes to the office because of a 3-month history of worsening difficulty swallowing when he eats solid food, especially meats. The patient has no difficulty eating soup and drinking liquids, but swallowing solid foods causes choking. He reports a 9-kg (20-lb) weight loss since his symptoms began, which he attributes to his difficulty with eating. Medical history is remarkable for nephrolithiasis and restless legs syndrome. His only medication is pramipexole. The patient has smoked one-half pack of cigarettes daily for 50 years. He does not drink alcoholic beverages or use illicit drugs. He is 185 cm (6 ft 1 in) tall and weighs 68 kg (150 lb); BMI is 20 kg/m2. Temperature is 37.0°C (98.6°F), pulse is 64/min, respirations are 16/min, and blood pressure is 118/78 mm Hg. Physical examination discloses no abnormalities. Which of the following is the most appropriate next step in evaluation?
Correct
Incorrect
Question 50 of 50
50. Question
A 17-year-old girl comes to the office because of irregular menstrual periods since menarche at the age of 13 years. Menses occur at 28- to 40-day intervals and last 10 days; they are not painful. Menstrual flow is heavy. Her last menstrual period was 45 days ago. She has no history of serious illness and takes no medications. She became sexually active 6 months ago with one male partner, and they use condoms consistently. The patient is 165 cm (5 ft 5 in) tall and weighs 91 kg (200 lb); BMI is 33 kg/m2. Vital signs are within normal limits. Sexual maturity rating is stage 5 for breast and pubic hair development. Physical examination, including pelvic examination, shows no abnormalities. Which of the following is the most appropriate next step in management?
Correct
Incorrect
لا تفوّت فرصتك!
احصل على تجربة مجانية لدورة USMLE
محتوى مختار من المحاضرات، الكتب، بنك الأسئلة مع فيديوهات قصيرة لحل الأسئلة، والفلاش كاردز.