A previously healthy 15-year-old boy is brought to the emergency department because of a 3-hour history of severe abdominal pain, nausea, and vomiting. He was kicked in the abdomen while competing in a karate tournament. He initially reported only mild pain but now rates it as an 8 on a 10-point scale. Abdominal examination shows diffuse tenderness to palpation that is most severe in the epigastric region. Which of the following is the most likely diagnosis?
Correct
Incorrect
Question 2 of 20
2. Question
A 27-year-old woman, gravida 2, para 2, delivers a healthy 3345-g (7-lb 6-oz) newborn by cesarean delivery because of arrest of descent. Thirty-six hours later, she has chills, loss of appetite, and foul-smelling lochia. Temperature is 38.4°C (101.1°F), pulse is 112/min, respirations are 20/min, and blood pressure is 90/60 mm Hg. Examination shows a clean, dry incision without erythema. There is no breast tenderness or erythema. The lungs are clear to auscultation. There is no costovertebral angle tenderness. The uterine fundus is tender to palpation. Leukocyte count is 14,000/mm3. Urinalysis shows no abnormalities. Which of the following is the most appropriate next step in management?
Correct
Incorrect
Question 3 of 20
3. Question
A 37-year-old man comes to the physician for an examination required by his employer. He feels well. He has no known allergies or history of serious illness. He takes no medications. He has smoked one and one-half packs of cigarettes daily for 20 years and drinks six beers weekly. He has a sedentary lifestyle. He is 178 cm (5 ft 10 in) tall and weighs 82 kg (180 lb); BMI is 26 kg/m2. His pulse is 68/min and regular, and blood pressure is 128/84 mm Hg. The lungs are clear to auscultation; there is a prolonged expiratory phase. Cardiac examination shows no abnormalities. During the examination, the patient asks what he can expect if he quits smoking now. Which of the following is the most appropriate physician response?
Correct
Incorrect
Question 4 of 20
4. Question
A 38-year-old woman comes to the office for evaluation of several red, painless lesions on her chest and abdomen that she first noticed 4 months ago. Medical history is remarkable only for occasional headaches, which she describes as generally right sided and throbbing, with associated nausea and photophobia. Ibuprofen partially relieves the pain. She also takes an oral contraceptive. Her last menstrual period was 3 weeks ago. She is sexually active with one male partner and they do not use condoms. She has smoked one-half pack of cigarettes daily for the past 15 years and she drinks one beer daily. Vital signs are normal. Physical examination discloses several small (3 to 5-mm), slightly raised, erythematous lesions on her chest and abdomen as shown. Which of the following is the most appropriate diagnostic study?
Correct
Incorrect
Question 5 of 20
5. Question
A 64-year-old man comes to the office because of a 4-month history of moderately painful ejaculation during sexual intercourse. Occasionally, he says the ejaculate is dark and foul smelling. He also has had low back pain and mild lower pelvic pain for 8 weeks. During the past 6 months, he has been sexually active with four women; they use condoms inconsistently. He says he has paid for sex and has had unprotected anal sex during this time. The patient’s vital signs are within normal limits. Examination shows a circumcised penis with no lesions. The testes and epididymis are normal. The prostate is mildly tender to palpation and minimally enlarged. Which of the following is the most appropriate next step in diagnosis?
Correct
Incorrect
Question 6 of 20
6. Question
A 76-year-old man is admitted to the intensive care unit because of a 12-hour history of moderate chest pain and progressive shortness of breath. He has no history of serious illness and takes no medications. His temperature is 37°C (98.6°F), pulse is 98/min and regular, respirations are 22/min, and blood pressure is 84/56 mm Hg. Pulse oximetry on 10 L/min of oxygen by nasal cannula shows an oxygen saturation of 88%. Examination shows jugular venous distention to the angle of the jaw bilaterally. On pulmonary examination, diffuse crackles are heard bilaterally. Administration of 100% oxygen by face mask is begun. His blood pressure is 78/42 mm Hg. Echocardiography shows an ejection fraction of 10%. ECG shows evidence of an anterior myocardial infarction. Administration of which of the following is most likely to improve this patient’s condition?
Correct
Incorrect
Question 7 of 20
7. Question
A previously healthy 22-year-old woman comes to the physician 12 hours after the onset of swelling of her left arm. She lifts weights five times weekly and has been focusing on strengthening her upper body during the past 2 weeks. Examination shows prominent superficial veins over the anterior left shoulder and chest. The left upper extremity is edematous from the shoulder to the hand. There is a bluish discoloration of the left forearm and hand. Muscle strength and sensation are intact in all extremities. Which of the following is the most likely cause of the edema?
Correct
Incorrect
Question 8 of 20
8. Question
A previously healthy 4-year-old girl is brought to the physician because of a 3-day history of noisy breathing, runny nose, and cough. Her mother says the patient has had decreased oral intake during the past 4 hours with increasingly severe cough and noisy breathing. She has not had drooling or change in the pitch or intensity of her cry. She does not appear to be cyanotic. Her temperature is 40°C (104°F), pulse is 150/min, respirations are 20/min, and blood pressure is 90/55 mm Hg. She can fully open her mouth. The uvula is midline, and the tonsils are mildly erythematous, symmetric, and moderately enlarged bilaterally. Examination shows intercostal and suprasternal retractions, inspiratory stridor, and nasal flaring. There are no crackles or expiratory wheezing. A chest x-ray shows a “shaggy” tracheal air column and peribronchial cuffing with no parenchymal densities; there is no cardiomegaly. Her symptoms show no improvement after two administrations of nebulized racemic epinephrine or with sitting upright. Which of the following is the most likely diagnosis?
Correct
Incorrect
Question 9 of 20
9. Question
A 37-year-old woman with cystic fibrosis is admitted to the critical care unit because of hemoptysis and pulmonary failure. During the past 4 years, she has been hospitalized nine times for treatment of pulmonary failure and intestinal obstructions caused by meconium ileus equivalent; 1 month ago, she was in the critical care unit for 2 weeks because of worsening lung function. She repeatedly has refused to be considered for lung transplant. She has a living will that states her wish for no cardiopulmonary resuscitation if she undergoes cardiac arrest while hospitalized. Psychologic testing during the past year has confirmed that she is mentally competent. She is heavily sedated, intubated, and mechanically ventilated. Her pulmonary failure worsens, and her family asks whether extracorporeal membrane oxygenation (ECMO) treatment could be used to improve her condition. Which of the following is the most appropriate physician response?
Correct
Incorrect
Question 10 of 20
10. Question
A 42-year-old woman comes to the physician because of a 3-month history of fatigue, decreased appetite, and mild swelling of her arms and legs. Twenty years ago, she underwent transplantation of a donor kidney from her sister for treatment of polycystic kidney disease. She has been compliant with her immunosuppressive therapy. Medications include prednisone and azathioprine. Her temperature is 37.3°C (99.1°F), pulse is 86/min, respirations are 28/min, and blood pressure is 170/98 mm Hg. Examination shows pallor. Abdominal examination shows no tenderness or enlargement of the transplanted kidney. Her hemoglobin concentration is 8 g/dL, serum urea nitrogen concentration is 50 mg/dL, and serum creatinine concentration is 5.3 mg/dL. Which of the following is the most likely mechanism of this patient’s impending renal failure?
Correct
Incorrect
Question 11 of 20
11. Question
A previously healthy 27-year-old man comes to the physician because of nausea and vomiting for the past 36 hours. His temperature is 38°C (100.4°F). Examination shows scleral icterus and jaundice. There is tenderness to palpation of the right upper quadrant of the abdomen. Laboratory studies show:
Hemoglobin
14.2 g/dL
Leukocyte count
5800/mm3
Serum
Bilirubin
Total
11 mg/dL
Direct
2.2 mg/dL
AST
1095 U/L
ALT
1300 U/L
Which of the following is the most likely diagnosis?
Correct
Incorrect
Question 12 of 20
12. Question
A 9-year-old girl is brought to the physician for a follow-up examination. She has a 5-month history of intermittent moderate right flank pain that radiates to the back. The pain occurs two to three times monthly and lasts 2 to 3 days before resolving spontaneously. She has not had fever, vomiting, diarrhea, pain with urination, or urinary frequency. She has no history of serious illness and takes no medications. Multiple urine cultures during the past 5 months have been negative. Vital signs are within normal limits. The abdomen is soft and nondistended. There is right costovertebral angle tenderness. Laboratory studies show:
Serum creatinine
1.3 mg/dL
Urine
pH
6.0
Specific gravity
1.010
Blood
trace
Protein
none
WBC
0/hpf
Nitrites
none
Abdominal ultrasonography shows absence of the left kidney and severe dilation of the right renal pelvis. Which of the following is the most appropriate next step to prevent progression of this patient’s renal failure?
Correct
Incorrect
Question 13 of 20
13. Question
A 21-year-old man comes to the office for a routine examination. He was diagnosed with type 2 diabetes mellitus 2 years ago. His most recent hemoglobin A1c 1 month ago was 9%. His medications are metformin and glipizide. He says he does not check his blood glucose concentration regularly because “I just want to be like everyone else.” He is 165 cm (5 ft 5 in) tall and weighs 77 kg (170 lb); BMI is 28 kg/m2. Vital signs are within normal limits. Examination shows no other abnormalities. In addition to expressing empathy, which of the following is the most appropriate physician approach to encourage better management of this patient’s condition?
Correct
Incorrect
Question 14 of 20
14. Question
A 62-year-old man comes to the physician because of a 4-week history of tingling in his left hand radiating to the ring and small fingers. He has not had any recent trauma or weakness in his hand. He has end-stage renal disease secondary to hypertension. He has been receiving hemodialysis for the past 3 months. He also has coronary artery disease, type 2 diabetes mellitus, congestive heart failure, and gout. Current medications are metoprolol, lisinopril, clonidine, insulin glargine, allopurinol, and 81-mg aspirin. His temperature is 36.7°C (98°F), pulse is 70/min, and blood pressure is 140/90 mm Hg. The lungs are clear to auscultation. A grade 2/6 systolic murmur is heard at the left sternal border. There is a dialysis fistula in place in the left upper arm; there is no inflammation, but a thrill is palpated. Physical examination shows no edema of the upper and lower extremities. Neurologic examination shows decreased sensation to light touch over the medial aspect of the left hand, ring and small fingers, and the medial aspect of the left arm to the elbow. Which of the following is the most likely diagnosis?
Correct
Incorrect
Question 15 of 20
15. Question
A 37-year-old primigravid woman at 18 weeks’ gestation comes to the physician for a follow-up examination. Yesterday, her blood pressure was 150/100 mm Hg. She also has a 10-day history of moderate daily headache. She has not had any changes in vision. She has no history of serious illness, and her only medication is a prenatal vitamin. She is not in distress. She is 163 cm (5 ft 4 in) tall. She weighed 86 kg (190 lb) prior to her pregnancy; BMI was 33 kg/m2. She has had a 4.5-kg (10-lb) weight gain during her pregnancy. Today, her blood pressure is 150/98 mm Hg. On examination, the uterus is nontender and consistent in size with an 18-week gestation. The fetal heart rate is 155/min. Urinalysis shows trace protein. Which of the following is the most likely diagnosis?
Correct
Incorrect
Question 16 of 20
16. Question
A 42-year-old man with hypertension and end-stage renal disease secondary to autosomal dominant polycystic kidney disease comes to the office for a routine examination. He feels well. Six months ago, he received a kidney transplant from his brother. The patient’s medications are tacrolimus, mycophenolate mofetil, trimethoprim-sulfamethoxazole, amlodipine, cholecalciferol, and a multivitamin. Examination shows a functioning arteriovenous fistula in the left forearm and a firm, nontender, renal allograft in the right lower quadrant of the abdomen. Laboratory studies show:
Hemoglobin
13.5 g/dL
Serum
Ca2+
11.7 mg/dL
Urea nitrogen
25 mg/dL
Creatinine
1.5 mg/dL
Parathyroid hormone, intact
425 pg/mL (N=10–60)
Which of the following is the most likely diagnosis?
Correct
Incorrect
Question 17 of 20
17. Question
A 42-year-old man is brought to the emergency department because of a 2-day history of shortness of breath and cough, which have progressed to severe respiratory distress. He has a history of intravenous illicit drug use. He lives in a homeless shelter. On arrival, he is intubated and mechanically ventilated. Examination shows coarse breath sounds bilaterally. Respiratory therapy is begun. Two days later, cultures of blood and sputum grow Neisseria meningitidis. Which of the following is the most appropriate measure to prevent the spread of this patient’s disease to hospital personnel?
Correct
Incorrect
Question 18 of 20
18. Question
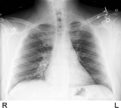
A 57-year-old man comes to the emergency department 2 hours after the onset of severe shortness of breath. He has not had any other symptoms. He has long-standing hypertension and type 2 diabetes mellitus. Current medications include lisinopril, metformin, and hydrochlorothiazide. He has never smoked. He is employed as a truck driver. His temperature is 37.4°C (99.4°F), pulse is 108/min, respirations are 24/min, and blood pressure is 126/82 mm Hg. Pulse oximetry on room air shows an oxygen saturation of 88%. Faint wheezes are heard on the left. There is an S4. Examination of the lower extremities shows 1+ edema bilaterally. An ECG shows sinus tachycardia. Arterial blood gas analysis on room air shows:
pH
7.44
Pco2
33 mm Hg
Po2
62 mm Hg
A chest x-ray is shown. Which of the following is the most appropriate next step in management?
Correct
Incorrect
Question 19 of 20
19. Question
An 82-year-old man is brought to the emergency department because of a 2-day history of progressive abdominal distention and lethargy. His family reports that he has not been awake or fully alert for 4 hours. The patient has hyperlipidemia, hypertension, and benign prostatic hyperplasia. His medications are atorvastatin, metoprolol, finasteride, and a daily aspirin. His temperature is 36.4°C (97.5°F), pulse is 90/min, respirations are 20/min, and blood pressure is 80/55 mm Hg. Pulse oximetry on 100% oxygen by nonrebreather face mask shows an oxygen saturation of 99%. The patient opens his eyes and moves his extremities in response to painful stimuli. Abdominal examination shows distention over the lower quadrants, dullness to percussion to the level of the umbilicus, and an enlarged multinodular prostate. Bladder catheterization yields 1700 mL of turbid urine. Piperacillin-tazobactam, large-volume crystalloid, and norepinephrine therapy are begun. Two hours later, the patient produces 75 mL/h of clear urine but remains lethargic. His blood pressure is 90/65 mm Hg. Laboratory studies show:
Hemoglobin
12 g/dL
Hematocrit
36%
Leukocyte count
22,000/mm3
Serum
Na+
125 mEq/L
K+
5 mEq/L
Cl−
93 mEq/L
HCO3−
22 mEq/L
Urea nitrogen
35 mg/dL
Glucose
75 mg/dL
Creatinine
1.5 mg/dL
Which of the following is the most appropriate next step in management of this patient’s persistent hypotension?
Correct
Incorrect
Question 20 of 20
20. Question
A 22-year-old male college student comes to the clinic because of a 3-month history of fatigue, persistent cough, chronic malaise, occasional night sweats, and a 7-kg (15-lb) weight loss despite no change in appetite. He says he has felt stressed at school and that his grades have been declining. He had infectious mononucleosis 5 years ago. He takes no medications. He appears tired. He is 178 cm (5 ft 10 in) tall and weighs 67 kg (148 lb); BMI is 21 kg/m2. Pulse is 98/min and regular, respirations are 24/min, and blood pressure is 110/60 mm Hg. Cardiopulmonary examination discloses wheezing at both bases and distant heart sounds. Abdomen is soft with no tenderness; liver edge is palpated 2 cm below the right costal margin. Large, matted lymph nodes are palpated bilaterally in the supraclavicular area, axilla, and groin. Examination of a biopsy specimen of a superficial inguinal lymph node confirms the presence of Reed-Sternberg cells. Which of the following is the most appropriate next step in evaluation?
Correct
Incorrect
لا تفوّت فرصتك!
احصل على تجربة مجانية لدورة USMLE
محتوى مختار من المحاضرات، الكتب، بنك الأسئلة مع فيديوهات قصيرة لحل الأسئلة، والفلاش كاردز.