A 19-year-old man is admitted to the hospital after sustaining head trauma in a motorcycle collision. In the field, his Glasgow Coma Scale score was 3, and he was immediately intubated and mechanically ventilated. A CT scan of the head without contrast shows severe bilateral global cortical injury, effacement of white and gray matter distinction, and global edema. Neurosurgical evaluation determines that the patient would gain no benefit from surgical intervention. Twenty-four hours after admission, his temperature is 37.8°C (100°F), pulse is 108/min, and blood pressure is 98/46 mm Hg. The pupils are fixed and dilated with no corneal reflex. He does not respond to painful stimuli, and he has no gag response. Which of the following is the most appropriate next step in management?
Correct
Incorrect
Question 2 of 20
2. Question
An 81-year-old woman comes to the clinic for a routine health maintenance examination. She has felt well but reports painless bruising on her right arm that she noticed 3 days ago after removing a bandage from a healing insect bite. She has noticed similar bruising during the past few years with bandage use and after accidental bumping of her arms against hard surfaces. She has hypertension treated with hydrochlorothiazide-triamterene. She takes no other medications. The patient appears well. Vital signs are normal. Physical examination shows a 4-cm area of ecchymoses with tearing of the skin on the right forearm at the site of the previously removed bandage. The remainder of the physical examination discloses no abnormalities. Which of the following is the most appropriate next step in management of this patient’s skin findings?
Correct
Incorrect
Question 3 of 20
3. Question
A 54-year-old man comes to the office for a follow-up examination 12 weeks after undergoing aortic valve replacement. The patient is doing well and has been participating in physical therapy as part of his recovery. His only current symptom is mild fatigue. Medical history also is remarkable for hypertension. Current medications are warfarin, metoprolol, and lisinopril. He has no known medication allergies. Vital signs are within normal limits. On cardiac examination, a mechanical valve click is heard. The remainder of the examination shows no abnormalities. The patient has a dental cleaning appointment scheduled for next week at noon. Which of the following is most appropriate to recommend in preparation for this patient’s dental visit?
Correct
Incorrect
Question 4 of 20
4. Question
A 62-year-old man comes to the physician because of a 3-week history of progressive shortness of breath with exertion, fever, and chills. Two days ago, he coughed up a small amount of blood-tinged, thick sputum; otherwise, his cough has been nonproductive. Three years ago, he underwent right kidney transplant for end-stage renal disease caused by polycystic kidney disease. His medications are prednisone, cyclosporine, sirolimus, and a daily multivitamin. He does not smoke cigarettes. His temperature is 38.4°C (101.1°F), pulse is 98/min, respirations are 28/min, and blood pressure is 120/80 mm Hg. Pulse oximetry on room air shows an oxygen saturation of 94%. Crackles are heard in the right middle and lower lung fields. Abdominal examination shows a well-healed scar over the right lower quadrant. The remainder of the examination shows no abnormalities. Laboratory studies show:
Leukocyte count
9700/mm3
Serum
Urea nitrogen
24 mg/dL
Glucose
160 mg/dL
Creatinine
1 mg/dL
Serum electrolyte concentrations are within the reference ranges. A chest x-ray shows consolidation of the middle and lower lobes of the right lung. Bronchoscopy is performed; biopsy results are shown. Cyclosporine therapy is discontinued. Which of the following is the most appropriate pharmacotherapy?
Correct
Incorrect
Question 5 of 20
5. Question
A 16-year-old girl comes to the office for a routine health maintenance examination. She has no history of serious illness and takes no medications. Menarche was at the age of 12 years. Menses occur at irregular 28- to 34-day intervals with light flow; her last menstrual period was 10 weeks ago. She participates in after-school sports, including soccer and track, and receives grades of A’s and B’s. She appears well groomed, affable, and engages readily in discussion. She is 168 cm (5 ft 6 in) tall and weighs 51 kg (112 lb); BMI is 18 kg/m2. Temperature is 37.0°C (98.6°F), pulse is 65/min, and blood pressure is 110/60 mm Hg. Sexual maturity rating is stage 4 for breast and pubic hair development. Which of the following is the most appropriate next step in management?
Correct
Incorrect
Question 6 of 20
6. Question
A 19-year-old college student is brought to the emergency department by her roommates because of increasing confusion during the past 24 hours. She also has had decreased appetite for 2 days. On arrival, she is difficult to arouse. Her temperature is 38.9°C (102°F), and respirations are 28/min and deep. Her pulse is 124/min, and blood pressure is 80/42 mm Hg while sitting; her pulse is 100/min, and blood pressure is 110/50 mm Hg while supine. The lungs are clear to auscultation. Abdominal examination shows mild diffuse tenderness to palpation. Serum studies show:
Na+
130 mEq/L
K+
5.2 mEq/L
Cl−
98 mEq/L
HCO3−
7 mEq/L
Glucose
700 mg/dL
Arterial blood gas analysis on room air shows:
pH
7.16
Pco2
20 mm Hg
Po2
108 mm Hg
This patient most likely has which of the following primary acid-base disorders?
Correct
Incorrect
Question 7 of 20
7. Question
A 10-year-old girl is brought to the office by her parents because of a 3-year history of impulsive and inattentive behavior. Her parents had been trying to manage her behavior at home and school, but during the past 6 months, she has had a marked decline in functioning at school and extracurricular activities. She has been in trouble for being disruptive and not following instructions. She has no history of serious illness and receives no medications. Growth and development are appropriate for age. Physical and mental status examinations show no abnormalities. Without treatment, this patient is at greatest risk for which of the following?
Correct
Incorrect
Question 8 of 20
8. Question
An 8-year-old boy is brought to the physician by his mother because he has had the rash shown for 1 week; the rash began as a small 1-cm lesion on his cheek. His younger brother has had a similar rash for 5 days. The patient had an upper respiratory tract infection 8 days ago treated with an over-the-counter decongestant. His temperature is 36.7°C (98°F). Which of the following is the most likely explanation for these findings?
Correct
Incorrect
Question 9 of 20
9. Question
A 47-year-old man comes to the physician because of a 3-week history of increasing rectal bleeding. The bleeding is bright red and initially occurred only during bowel movements but now occurs between bowel movements. He loses approximately 2 teaspoons of blood daily. His stool are formed. He has not had diarrhea or pain. He has receptive anal intercourse with one male partner; they use condoms consistently. Since the bleeding began, he has abstained from sex. He has no history of similar symptoms or serious illness. He takes no medications. There is no family history of serious illness. The patient appears well. Vital signs are within normal limits. Visual examination of the rectum shows no abnormalities. Digital rectal examination shows no palpable mass, tenderness, or swelling. Test of the stool for occult blood is positive. Which of the following is the most likely diagnosis?
Correct
Incorrect
Question 10 of 20
10. Question
A 26-year-old woman is brought to the emergency department 2 hours after the sudden onset of severe abdominal pain and fainting. She has no other history of serious illness, and she takes no medications. Her last menstrual period was 6 weeks ago. Temperature is 37.2°C (99.0°F), pulse is 110/min, respirations are 20/min, and blood pressure is 90/50 mm Hg. Pulse oximetry on room air shows an oxygen saturation of 98%. Examination shows no jugular venous distention. Breath sounds are equal over both lung bases. On cardiac examination, a normal S1 and S2 are heard. Abdominal examination shows mild distention and diffuse tenderness with guarding and rebound. There is 1+ pedal edema bilaterally. Results of laboratory studies are shown:
Hemoglobin
10 g/dL
Hematocrit
30%
Leukocyte count
12,000/mm3
Platelet count
268,000/mm3
Serum
Na+
147 mEq/L
K+
4.6 mEq/L
β-hCG
3000 mIU/ml (N<3)
Transvaginal ultrasonography shows no intrauterine pregnancy. Which of the following is the most appropriate next step in diagnosis?
Correct
Incorrect
Question 11 of 20
11. Question
A 27-year-old man with ulcerative colitis comes to the emergency department because of a 3-day history of moderate abdominal cramps and bloody diarrhea. His medications are mesalamine and azathioprine. His temperature is 38.3°C (101°F). Abdominal examination shows mild distention; there is mild, diffuse tenderness to deep palpation but no tenderness to percussion. Flexible sigmoidoscopy shows erythematous mucosa with scattered ulcerations throughout. Colonic biopsy results show several giant cells with inclusion bodies. Which of the following is the most appropriate next step in management?
Correct
Incorrect
Question 12 of 20
12. Question
A 58-year-old man comes to the physician because of a 1-month history of nonproductive cough. He has not had shortness of breath or weight loss. He has type 2 diabetes mellitus, hypertension, and chronic obstructive pulmonary disease (COPD). His medications are insulin, metformin, salmeterol, ipratropium, and lisinopril. During the examination, the patient coughs frequently. His temperature is 37°C (98.6°F), pulse is 78/min, respirations are 16/min, and blood pressure is 156/70 mm Hg. Pulmonary examination shows a prolonged expiratory phase; no wheezes are heard. The remainder of the examination shows no abnormalities. Which of the following is the most likely cause of this patient’s cough?
Correct
Incorrect
Question 13 of 20
13. Question
A 57-year-old woman, gravida 4, para 4, comes to the office because of an 8-week history of urinary urgency. During this time, she has had sudden strong urges to void and is often unable to reach the bathroom in time. She urinates three to four times nightly. There is no pain with urination. She does not have urine loss when coughing, laughing, or sneezing. She has no history of serious illness. Examination shows a mild cystocele and mild rectocele. A Q-tip test shows no urethral hypermobility. The cervix, uterus, and adnexa are normal. Urinalysis shows:
RBC
50–100/hpf
WBC
0–1/hpf
Epithelial cells
3–5/hpf
Bacteria
none
Which of the following is the most appropriate next step in management?
Correct
Incorrect
Question 14 of 20
14. Question
A 24-year-old man is being evaluated in the hospital because of increasing oxygen requirements. He was admitted earlier today because of an isolated comminuted pelvic fracture he sustained when he was pinned between a forklift and a wall while working at a warehouse. On admission, he received 6 units of packed red blood cells, 6 units of fresh frozen plasma, and 5 units of platelets for resuscitation. He underwent external pelvic fixation with right lower extremity fasciotomies for treatment of compartment syndrome. He was extubated at the completion of the operation. Medical history is unremarkable, and he takes no routine medications. Six hours later, temperature is 37.5°C (99.5°F), pulse is 120/min, respirations are 22/min, and blood pressure is 105/65 mm Hg. Pulse oximetry on an Fio2 of 1.0 via non-rebreather mask shows an oxygen saturation of 80%. Physical examination discloses tachypnea. Breath sounds are coarse bilaterally. The patient is intubated and mechanically ventilated. Arterial blood gas analysis on an Fio2 of 1.0 discloses a Pao2 of 60 mm Hg. Chest x-ray shows bilateral patchy infiltrates. Which of the following is the most likely cause of this patient’s respiratory failure?
Correct
Incorrect
Question 15 of 20
15. Question
A 62-year-old man comes to the physician 24 hours after a 20-minute episode of weakness of the right side of the face and right upper and lower extremities. His blood pressure is 130/78 mm Hg. Cardiac and neurologic examinations, an ECG, and a CT scan of the head show normal findings. Carotid duplex ultrasonography shows less than 50% stenosis of the proximal left internal carotid artery. Which of the following interventions will result in the greatest reduction of this patient’s risk for a cerebral infarction?
Correct
Incorrect
Question 16 of 20
16. Question
A 1-day-old male newborn is evaluated in the hospital nursery before discharge. He has swelling over his skull. He was born at term to a 27-year-old woman, gravida 1, para 1, following an uncomplicated pregnancy and forceps-assisted delivery. Apgar scores were 7 and 10 at 1 and 5 minutes, respectively. He weighs 4536 g (10 lb). Vital signs are within normal limits. Examination shows a 3 × 3-cm well-demarcated area of boggy swelling over the left parietal skull region that does not cross suture lines. The skin over the area appears normal. Which of the following is the most appropriate test to screen for potential complications associated with this patient’s skull abnormality?
Correct
Incorrect
Question 17 of 20
17. Question
A 37-year-old woman comes to the physician for a follow-up examination. She has had hypopituitarism since she underwent surgical excision of a large pituitary tumor followed by radiation therapy 15 years ago. She says that she is generally doing well but has noticed some increased fatigue, sleepiness, and a 2.3-kg (5-lb) weight gain during the past 6 months. Medications include levothyroxine, hydrocortisone, and an oral contraceptive. Her vital signs are within normal limits. Examination shows no abnormalities. The most appropriate next step in management is measurement of which of the following?
Correct
Incorrect
Question 18 of 20
18. Question
A 64-year-old man comes to the office to request help for alcohol use disorder. He says he has tried to stop drinking alcohol on his own on a few occasions but has relapsed within several days each time. He has never had delirium tremens or other severe withdrawal symptoms. He has not consumed alcohol during the past 7 days. He reports no substantial symptoms of alcohol withdrawal at this time. He has severe degenerative spine disease, for which he is on long-term disability leave. He has been taking prescribed hydrocodone and acetaminophen for 11 years. He does not smoke cigarettes. He has been drinking six 12-oz beers daily for 9 years. He is divorced and lives alone. Vital signs are within normal limits. Examination shows decreased movement in the low back secondary to pain. No other abnormalities are noted. Which of the following is the most appropriate pharmacotherapy for this patient’s alcohol use disorder?
Correct
Incorrect
Question 19 of 20
19. Question
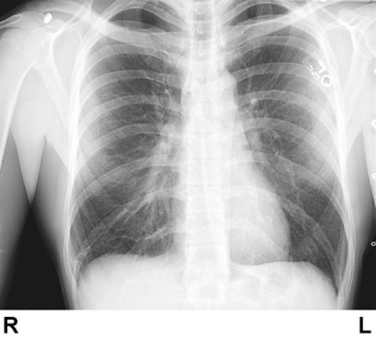
A 27-year-old man comes to the physician because of an 8-month history of shortness of breath with exertion. He has a 1-week history of mild shortness of breath after climbing one flight of stairs. He has not had fever, cough, or weight loss. He does not smoke. He is employed as an office worker. Vital signs are within normal limits. Jugular venous pressure is 7 cm H2O. There is clubbing of the fingers bilaterally. Crackles are heard throughout the lungs. Arterial blood gas analysis on room air shows:
pH
7.44
Pco2
34 mm Hg
Po2
62 mm Hg
An x-ray of the chest is shown. Pulmonary function tests show a normal FEV1:FVC ratio and decreased diffusion capacity of the lung for carbon monoxide. Which of the following is the most likely explanation for this patient’s dyspnea?
Correct
Incorrect
Question 20 of 20
20. Question
A 62-year-old man comes to the physician because of a 5-kg (11-lb) weight loss during the past 2 months despite no change in appetite. He has mild hypertension treated with hydrochlorothiazide. He is 178 cm (5 ft 10 in) tall and weighs 88 kg (195 lb); BMI is 28 kg/m2. His temperature is 37°C (98.6°F), pulse is 84/min and regular, and blood pressure is 150/94 mm Hg. Examination shows no other abnormalities. Serum studies show:
Na+
135 mEq/L
K+
3.8 mEq/L
HCO3−
25 mEq/L
Glucose
328 mg/dL
Which of the following is the most likely cause of these laboratory findings?
Correct
Incorrect
لا تفوّت فرصتك!
احصل على تجربة مجانية لدورة USMLE
محتوى مختار من المحاضرات، الكتب، بنك الأسئلة مع فيديوهات قصيرة لحل الأسئلة، والفلاش كاردز.