A 57-year-old man comes to the emergency department because of a 3-week history of headaches that have been increasing in severity and frequency. He also has a 2-week history of progressive blurred vision in both eyes. He has not had pain in the eyes. His last visit to a physician was 10 years ago because of pain in his fingers; at that visit, he was told he had high blood pressure. His temperature is 37°C (98.6°F), pulse is 90/min, respirations are 12/min, and blood pressure is 200/110 mm Hg. Repeat blood pressure measurements are 210/112 mm Hg and 214/114 mm Hg. Findings on funduscopic examination are shown. Examination shows ulnar deviation of both hands and several swollen interphalangeal joints. His fasting serum glucose concentration is 160 mg/dL. Which of the following is the most likely underlying cause of this patient’s symptoms?
Correct
Incorrect
Question 2 of 50
2. Question
A case-control study is conducted to assess the effect of dietary fat intake on the occurrence of sudden cardiac death. One hundred fifty cases and controls are matched by age, sex assigned at birth, race, and history of hypertension, hypercholesterolemia, and cigarette smoking. Dietary intake history of the cases is obtained from the next of kin. Results show an odds ratio of 1.6 with a 95% confidence interval of 1.2 to 1.9. The authors conclude that there is a relationship between dietary fat intake and sudden cardiac death. Which of the following raises the most concern about the authors’ conclusion?
Correct
Incorrect
Question 3 of 50
3. Question
A 67-year-old woman comes to the physician because of a 2-month history of hoarseness. She has not had any other symptoms. She has no history of serious illness and takes no medications. She has smoked one pack of cigarettes daily for 45 years. Examination, including examination of the oropharynx, shows no abnormalities. Which of the following is the most appropriate next step in management?
Correct
Incorrect
Question 4 of 50
4. Question
A 57-year-old man is admitted to the hospital because of fever, shortness of breath, and cough productive of yellow sputum. He has prostate cancer metastatic to the bone; his only symptom from the cancer is occasional back pain well controlled with oral acetaminophen and hydrocodone. At his last appointment 6 months ago, his serum prostate-specific antigen assay was stable, and his disease had not progressed. He plays golf several times each week and enjoys traveling with his wife. His advance directive states that he does not want intubation or mechanical ventilation unless he has an acute illness with a reasonable chance of recovery to a good quality of life. He is lethargic and unable to communicate. His temperature is 38.9°C (102°F), pulse is 100/min, respirations are 30/min, and blood pressure is 148/92 mm Hg. Pulmonary examination shows shallow, rapid breathing. He is using accessory muscles of respiration. Inspiratory crackles are heard at the right upper and lower lung fields. Arterial blood gas analysis on 100% oxygen shows:
pH
7.36
Pco2
45 mm Hg
Po2
42 mm Hg
An x-ray of the chest shows diffuse right-sided infiltrates. Which of the following is the most appropriate next step in management?
Correct
Incorrect
Question 5 of 50
5. Question
A 77-year-old man comes to the physician because of a 3-day history of passing air and fecal material during urination. He has a long-standing history of intermittent constipation. His last examination was 20 years ago. He has smoked two packs of cigarettes daily for 55 years. He is 183 cm (6 ft) tall and weighs 70 kg (155 lb); BMI is 21 kg/m2. Vital signs are within normal limits. Abdominal examination shows mild distention. Bowel sounds are decreased. Rectal examination shows a diffusely enlarged prostate. There is no stool in the rectal vault. Laboratory studies show:
Hemoglobin
14 g/dL
Leukocyte count
9600/mm3
Platelet count
444,000/mm3
Urine
WBC
>100/hpf
Flora
mixed
Which of the following is the most likely cause of this patient’s symptoms?
Correct
Incorrect
Question 6 of 50
6. Question
A 25-year-old man comes to the physician 2 hours after the sudden onset of sharp right buttock pain that radiates to the back of his knee. The pain worsens when he sits for a prolonged period or drives. He is able to walk. Use of over-the-counter ibuprofen has provided mild relief. He has no history of serious illness and takes no other medications. On examination, ipsilateral and contralateral straight-leg raise testing is positive. Muscle strength is normal throughout. Sensation is intact throughout. Which of the following is the most appropriate next step in diagnosis?
Correct
Incorrect
Question 7 of 50
7. Question
A 16-year-old girl is brought to the physician by her mother because of an 8-month history of irregular menstrual periods, acne, and facial hair. Menarche was at the age of 12 years. Menses occur at irregular 35- to 42-day intervals; they last 1 week, and the flow is heavy. Moderate cramps on the first 2 days are relieved with ibuprofen therapy. The patient had recurrent urinary tract infections until the age of 10 years. She has no other history of serious illness and takes no other medications. She is 163 cm (5 ft 4 in) tall and weighs 77 kg (170 lb); BMI is 29 kg/m2. Her temperature is 36.9°C (98.4°F), pulse is 78/min, respirations are 20/min, and blood pressure is 128/84 mm Hg. Examination shows scattered papules, pustules, and comedones over the face. There is sparse, coarse hair over the chin. The neck is supple; there is no thyromegaly. Breast examination shows no masses. Breast and pubic hair development are sexual maturity rating (SMR) stage 5. Serum studies are most likely to show an increased concentration of which of the following?
Correct
Incorrect
Question 8 of 50
8. Question
A 49-year-old woman comes to the physician for preoperative examination before she undergoes cholecystectomy. During the past 3 years, she has had recurrent cholecystitis and multiple gallstones. She has not had shortness of breath, difficulty swallowing, or hoarseness. She has rheumatoid arthritis with morning stiffness and widespread joint swelling. Her medications are methotrexate, folic acid, and prednisone. Vital signs are within normal limits. Examination shows nodules over the extensor aspect of the upper extremities. There is swelling of the wrists, metacarpophalangeal joints of the hands, and knees; there are swan neck deformities of the fingers. The remainder of the examination shows no abnormalities. Which of the following is the most appropriate next step in management to decrease this patient’s risk for operative complications?
Correct
Incorrect
Question 9 of 50
9. Question
A 32-year-old woman, gravida 1, para 1, comes to the physician because of spontaneous discharge from her nipples during the past 3 months. She discontinued breast-feeding her child 1 year ago. She takes no medications. Menses occur at regular 28-day intervals. On physical examination, a milky white discharge can be expressed from both nipples. Examination shows no other abnormalities. Her fasting serum prolactin concentration is 40 ng/mL. The most appropriate next step in diagnosis is measurement of which of the following serum concentrations?
Correct
Incorrect
Question 10 of 50
10. Question
A 57-year-old man comes to the physician for a follow-up examination. One year ago, he sustained a myocardial infarction. He has coronary artery disease, hypertension, and type 2 diabetes mellitus. His medications are atorvastatin, lisinopril, metformin, metoprolol, and aspirin. He has smoked one-half pack of cigarettes daily for 25 years. He is 178 cm (5 ft 10 in) tall and weighs 97 kg (213 lb); BMI is 31 kg/m2. He feels well. His pulse is 62/min, and blood pressure is 145/78 mm Hg. Examination shows no other abnormalities. Laboratory studies show a hemoglobin A1c of 6.5% and serum LDL-cholesterol concentration of 110 mg/dL. Serum electrolyte, urea nitrogen, glucose, and creatinine concentrations are within the reference ranges. The physician recommends smoking cessation. Addition of which of the following is the most appropriate next step in pharmacotherapy?
Correct
Incorrect
Question 11 of 50
11. Question
A 60-year-old woman with osteoarthritis of the right knee comes to the office to discuss treatment options, including total knee replacement. Medications are naproxen and 81-mg aspirin. Vital signs are within normal limits. Examination shows edema of the right knee; range of motion of the right knee is decreased. Results of laboratory studies are within the reference ranges. The patient asks the physician about the success and complication rates associated with total knee replacement at the local university hospital. Which of the following types of studies is most appropriate for the physician to reference to answer this patient’s question?
Correct
Incorrect
Question 12 of 50
12. Question
A 72-year-old woman comes to the office with her son because of a “strange mole” on her back that she first noticed 6 months ago. The patient’s son says he thinks it has enlarged during the past month. The patient says the mole is mildly itchy but not painful, and she has not had bleeding from the area. She has not had any weight loss or changes in appetite. Medical history is unremarkable, and she takes no medications. The patient has spent a lot of time outside by her son’s new swimming pool during the past summer months. Vital signs are within normal limits. A photograph of the lesion is shown. The remainder of the examination shows no abnormalities. Which of the following is the most appropriate diagnostic study at this time?
Correct
Incorrect
Question 13 of 50
13. Question
A 27-year-old woman is brought to the emergency department because of a 2-day history of fever, pain with urination, and progressive generalized weakness. She has systemic lupus erythematosus complicated by nephritis. Current medications include prednisone and cyclophosphamide. Her temperature is 39.4°C (103°F), pulse is 122/min, respirations are 24/min, and blood pressure is 88/62 mm Hg. Examination shows warm, flushed skin. There is moderate suprapubic and right flank tenderness. Her leukocyte count is 18,000/mm3 (80% segmented neutrophils, 5% bands, 1% eosinophils, 1% basophils, 10% lymphocytes, and 3% monocytes). Urinalysis shows 100 WBC/hpf. A Gram stain shows numerous gram-negative rods. Intravenous administration of piperacillin and tazobactam and 2 liters of 0.9% saline is started. Thirty minutes later, her pulse is 124/min, and blood pressure is 92/68 mm Hg. Which of the following is the most appropriate next step in management?
Correct
Incorrect
Question 14 of 50
14. Question
A 72-year-old man comes to the physician because of a 3-month history of progressive shortness of breath, nonproductive cough, and fatigue. During this period, he has had early satiety resulting in a 2.3-kg (5-lb) weight loss. He has no known sick contacts. He has a 20-year history of chronic obstructive pulmonary disease and a 10-year history of hypertension. Current medications are an inhaled bronchodilator and an oral thiazide diuretic. He has smoked one pack of cigarettes daily for 50 years. He is in mild respiratory distress. He is 165 cm (5 ft 5 in) tall and weighs 52 kg (115 lb); BMI is 19 kg/m2. His temperature is 37°C (98.6°F), pulse is 103/min, respirations are 20/min, and blood pressure is 130/90 mm Hg. Pulse oximetry on room air shows an oxygen saturation of 87%. Examination shows no scleral icterus. There is jugular venous distention. Breath sounds are distant. There is a right ventricular heave and a loud S2. A grade 2/6 systolic murmur is heard best over the left sternal border. The liver is tender, smooth, and pulsatile. There is no peripheral edema. His hematocrit is 50%, leukocyte count is 4500/mm3, and platelet count is 200,000/mm3. Which of the following is the most appropriate next step in management?
Correct
Incorrect
Question 15 of 50
15. Question
Four days after admission to the hospital for treatment of a myocardial infarction, a 72-year-old woman has the sudden onset of shortness of breath and confusion. She has atrial fibrillation, type 2 diabetes mellitus, essential hypertension, and hypercholesterolemia. Her medications are diltiazem, quinapril, metformin, and simvastatin. She has smoked one pack of cigarettes daily for 50 years and has drunk one glass of wine daily for 52 years. She is anxious and oriented to person but not to place or time. Her temperature is 35°C (95°F), pulse is 116/min and irregularly irregular, respirations are 30/min, and blood pressure is 92/58 mm Hg. Pulse oximetry on 100% oxygen by face mask shows an oxygen saturation of 91%. The skin is cool to the touch. Examination shows jugular venous distention. Decreased breath sounds are heard in the lung bases bilaterally. Scattered expiratory wheezes and crackles are heard bilaterally. A rub is heard in the lower lobe of the left lung. There is 2+ pretibial and pedal edema bilaterally. Laboratory studies show:
Hemoglobin
11.6 g/dL
Leukocyte count
11,000/mm3
Segmented neutrophils
65%
Bands
3%
Lymphocytes
30%
Monocytes
2%
Serum
Na+
136 mEq/L
K+
3.7 mEq/L
Cl−
105 mEq/L
HCO3−
14 mEq/L
Glucose
86 mg/dL
Creatine kinase
68 U/L
Lactic acid
3.6 mEq/L (N=0.5–2)
Arterial blood gas analysis shows:
pH
7.29
Pco2
30 mm Hg
Po2
64 mm Hg
An ECG is shown. A chest x-ray shows cardiomegaly and pulmonary infiltrates, and pleural effusions bilaterally. Which of the following is the most appropriate next step in diagnosis?
Correct
Incorrect
Question 16 of 50
16. Question
A 2-month-old girl is brought to the clinic by her mother for a well-child examination. The mother says her daughter is exclusively breast-fed; it takes 1 hour to complete a feeding, and her daughter sweats during feedings. The patient is at the 10th percentile for weight; she was at the 50th percentile at her last examination 6 weeks ago. Other growth parameters have remained stable at the 50th percentile. Vital signs are within normal limits. The lungs are clear to auscultation. On cardiac examination, a grade 3/6 systolic murmur is heard best at the lower left sternal border. The liver edge is palpated 5 cm below the right costal margin. Which of the following is the most likely cause of this patient’s failure to thrive?
Correct
Incorrect
Question 17 of 50
17. Question
A 67-year-old man comes to the emergency department because of a 12-hour history of increasingly severe generalized, cramping pain that began in his left groin and spread to his abdomen. The patient rates the pain as a 10 on a 10-point scale. He previously has noted a hernia in the left groin area. He says, “Normally I can push it back in, but this time I couldn’t. I was going to wait and make an appointment with my primary care doctor, but I couldn’t tolerate the pain.” He has hypertension treated with verapamil and hydrochlorothiazide. The patient appears uncomfortable. Temperature is 37.4°C (99.3°F), pulse is 96/min, respirations are 20/min, and blood pressure is 140/95 mm Hg. Cardiac examination discloses an S4 gallop. Bowel sounds are increased, and the abdomen is soft with moderate, diffuse tenderness. A tender mass is present in the left groin extending into the scrotal sac, and the skin overlying the groin is erythematous. Results of laboratory studies are shown:
Blood
Arterial blood gas analysis
Hematocrit
45%
Po2
75 mm Hg
Hemoglobin
15 g/dL
Pco2
34 mm Hg
WBC
18,000/mm3
pH
7.35
Neutrophils, segmented
70%
Neutrophils, bands
20%
Lymphocytes
8%
Monocytes
2%
The physician contacts the on-call surgeon to see the patient. The surgeon instructs the physician to attempt reduction of the hernia and to call back if unsuccessful. Which of the following is the most appropriate next step in management?
Correct
Incorrect
Question 18 of 50
18. Question
A 55-year-old man comes to the office because of a 2-month history of moderate right shoulder pain. The patient says the pain occurs whenever he raises his right arm straight up in front of him or up from his side. He also reports decreased strength in his right shoulder. He says he injured his right shoulder 35 years ago during a college football game when he was hit by another player and landed shoulder-first on the ground. After the injury, he had pain in the shoulder that resolved in 3 days without treatment. He has not had any subsequent injuries to the shoulder. Medical history otherwise is unremarkable, and he takes no routine medications. Vital signs are normal. Physical examination discloses inability to resist downward pressure on the right arm when it is held straight out in front with the thumb pointing downward. Which of the following imaging studies of the right shoulder is most likely to confirm the diagnosis?
Correct
Incorrect
Question 19 of 50
19. Question
A 25-year-old woman is brought to the emergency department 45 minutes after the onset of dizziness. Her symptom began after she consumed 1800 mL of water during a contest in which participants tried to drink the most water in 15 minutes. She has no history of serious illness and takes no medications. On arrival, she is alert and fully oriented. Her pulse is 88/min and regular, respirations are 16/min, and blood pressure is 110/80 mm Hg. Examination, including neurologic examination, shows no abnormalities. Laboratory studies show:
Serum
Na+
128 mEq/L
K+
3.8 mEq/L
Urea nitrogen
5 mg/dL
Glucose
80 mg/dL
Creatinine
0.7 mg/dL
Urine specific gravity
1.005
Administration of which of the following is the most appropriate next step in management?
Correct
Incorrect
Question 20 of 50
20. Question
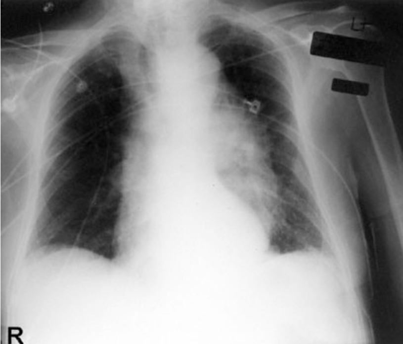
A previously healthy 57-year-old man is brought to the emergency department immediately after being involved in a head-on motor vehicle collision. He was the driver and was wearing a seat belt with a shoulder strap. On arrival, he is alert and oriented to person, place, and time. He says that he does not think he had loss of consciousness but feels sore all over his body. His temperature is 36.7°C (98°F), pulse is 100/min, respirations are 14/min, and blood pressure is 140/70 mm Hg. Pulse oximetry on 2 L/min of oxygen via nasal cannula shows an oxygen saturation of 99%. Physical examination and an ECG show no abnormalities. A chest x-ray is shown. Which of the following is the most likely diagnosis?
Correct
Incorrect
Question 21 of 50
21. Question
A 77-year-old man comes to the physician because of a 2-week history of increasing back pain. Eight years ago, he was diagnosed with prostate cancer. Gonadotropin inhibitor therapy was begun, and he was asymptomatic until 2 months ago; metastatic lesions at L3 and T8 were confirmed at that time. Ibuprofen therapy sufficiently controlled the pain for 1 month, after which oxycodone (5 mg every 4 hours) and laxatives were added to the medication regimen. At his last visit 1 month ago, he reported his pain as between 0 and 2 on a 10-point scale. He now describes his pain as 4 to 5 on a 10-point scale. Which of the following is the most appropriate next step in management?
Correct
Incorrect
Question 22 of 50
22. Question
An 18-year-old woman comes to the physician for a follow-up examination. She has a 5-year history of asthma treated with inhaled albuterol as needed and inhaled beclomethasone daily. She has never required treatment in the hospital for an acute episode. She says that her asthma is worse after she spends prolonged periods of time indoors and after she visits homes of friends who own cats. Her house has hardwood floors, which she and her family clean every week. She sleeps with her windows closed and changes her bedding regularly. She does not smoke or drink alcohol. Examination shows no abnormalities. The lungs are clear to auscultation. Skin testing shows allergies to dust mites and cat dander. The physician advises the patient to avoid direct contact with cats. Which of the following environmental changes is likely to be most helpful in preventing exacerbations of this patient’s asthma?
Correct
Incorrect
Question 23 of 50
23. Question
A 44-year-old man comes to the office because of a 6-month history of intermittent moderate headache. He has had one to two headaches weekly since residents of the neighboring apartment got a dog that barks a lot. He says he has had recurrent thoughts about killing the dog during the past 6 months, but he has no intent or plan to harm the animal. He worries that his headaches are punishment for these thoughts about killing; he says he realizes this does not make sense but remains concerned. He vacuums 2 hours daily because he is worried that dog hair is coming into his apartment. He has no history of serious illness. His only medication is acetaminophen, which resolves his headaches. He drinks two to three 12-oz beers on weekends. His pulse is 72/min, respirations are 16/min, and blood pressure is 150/105 mm Hg. Physical examination shows no other abnormalities. Mental status examination shows an anxious affect. Which of the following is the most likely diagnosis?
Correct
Incorrect
Question 24 of 50
24. Question
A 27-year-old primigravid woman at 32 weeks’ gestation comes to the emergency department because of a 2-day history of progressive drooping of the right side of her face, an inability to close her right eye, and right-sided facial pain. She has not had loss of hearing or balance. Her pregnancy had been uncomplicated. She has no personal or family history of serious illness. Her temperature is 37°C (98.6°F), pulse is 88/min, respirations are 16/min, and blood pressure is 140/82 mm Hg. Examination of the face shows paralysis on the right side and an inability to close the right eye. The patient moves her head stiffly; there is no nuchal rigidity. Heart sounds are normal. A grade 2/6 holosystolic murmur is heard best at the apex. The abdomen is soft. The fundal height is 32 cm. There is mild edema of the lower extremities. Muscle strength is normal. Deep tendon reflexes are 2+. Which of the following is the most appropriate next step in management?
Correct
Incorrect
Question 25 of 50
25. Question
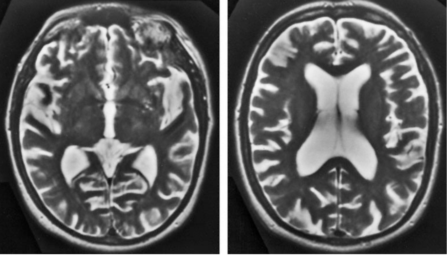
A 73-year-old woman is brought to the clinic by her husband because of a 6-month history of progressive memory difficulty. During this time, she has misplaced objects more frequently than usual and has had trouble following recipes. Six days ago, she became lost while walking their dog in their neighborhood. Today, she forgot that their daughter had called the previous day. The patient has type 2 diabetes mellitus and hypertension. Her medications are metformin and lisinopril. She does not smoke cigarettes or drink alcohol. Vital signs are within normal limits. Physical examination shows no abnormalities. On mental status examination, she is oriented to person but not to place or time. She recalls zero of three objects after 5 minutes. She makes four errors when performing serial sevens. She can name the US President and Vice President. She can name eight animals in 1 minute. The remainder of the examination shows no abnormalities. Results of a complete blood count, her erythrocyte sedimentation rate, and results of liver and thyroid function tests are within the reference ranges. VDRL testing for syphilis is negative. MRIs of the brain are shown. Which of the following is the most appropriate next step in management?
Correct
Incorrect
Question 26 of 50
26. Question
A previously healthy 77-year-old man comes to the emergency department because of a 6-hour history of increasingly severe, nonradiating lower abdominal pain. He also has had urinary urgency during this time but has not been able to void for 8 hours. He has not had fever, chills, diarrhea, nausea, or vomiting. Vital signs are within normal limits. On examination, there is fullness in the midline from the umbilicus to the pubic symphysis; the area is tender to palpation, but there are no peritoneal signs. Rectal examination shows an enlarged prostate; sphincter tone is normal, and no masses are palpable. Which of the following is the most likely diagnosis?
Correct
Incorrect
Question 27 of 50
27. Question
A 6-year-old boy is brought to the emergency department by his parents because of a 2-hour history of severe right leg pain and refusal to walk. They say he has intermittently reported pain in his leg during the past 2 weeks. He has no history of trauma or serious illness and receives no medications. Growth and development are appropriate for age. His temperature is 38.1°C (100.5°F), pulse is 100/min, and blood pressure is 100/80 mm Hg. There is warmth and tenderness to palpation of the proximal aspect of the right tibia with an associated firm mass. Distal pulses are intact. Range of motion of the right knee is limited by pain. Muscle strength in the right lower extremity is 4/5 because of pain and 5/5 elsewhere. Sensation is intact. Laboratory studies show a hemoglobin concentration of 10 g/dL, leukocyte count of 20,000/mm3, and erythrocyte sedimentation rate of 10 mm/h. X-rays show a 6-cm, poorly defined lytic lesion in the proximal tibial metadiaphysis with adjacent periosteal reaction. The results of a biopsy are shown. Which of the following is the most likely diagnosis?
Correct
Incorrect
Question 28 of 50
28. Question
A 48-year-old man is admitted to the hospital for management of acute respiratory failure. He has a 4-day history of fever, an increase in thick, yellow-green sputum production, and diffuse muscular aches. During the past 2 years, he has produced 2 to 3 tablespoons of yellow sputum daily. He has smoked two packs of cigarettes daily for 30 years. He is 183 cm (6 ft) tall and weighs 134 kg (295 lb); BMI is 40 kg/m2. On admission, his temperature is 38.6°C (101.5°F), pulse is 120/min, respirations are 30/min, and blood pressure is 170/100 mm Hg. Pulse oximetry on room air shows an oxygen saturation of 60%. On admission, an AP portable x-ray shows bilateral diffuse interstitial infiltrates without consolidation. He does not respond to high-flow oxygen therapy. He is intubated and mechanically ventilated. Examination shows hyperresonance to percussion and wheezes bilaterally. Ceftriaxone and levofloxacin are administered, and his symptoms improve. On hospital day 4, he is extubated. His temperature is 37.6°C (99.7°F), pulse is 100/min, respirations are 22/min, and blood pressure is 150/96 mm Hg. Pulse oximetry while sitting shows an oxygen saturation greater than 95%. Six hours later, the patient’s oxygen saturation is 86%. The patient is lying in bed and says he feels fine. Physical examination shows no wheezing, crackles, or rhonchi. There is no peripheral edema. A repeat chest x-ray shows improvement. Which of the following is the most appropriate next step in management to improve this patient’s oxygen saturation?
Correct
Incorrect
Question 29 of 50
29. Question
A 24-year-old female medical student sustains a deep laceration of her left index finger while assisting the surgeon during an operation on a patient with cervical cancer. The surgical patient has a history of multiple sexual partners and intravenous drug use; it is not yet known if she is HIV positive. Examination of the medical student shows a 2-cm, bleeding laceration; the bleeding stops with compression. Which of the following is the most appropriate next step in management pending results of HIV testing on the surgical patient?
Correct
Incorrect
Question 30 of 50
30. Question
A 10-month-old female infant is brought to the office by her parents for a follow-up examination 3 weeks after undergoing staged repair of a left complete unilateral cleft lip and palate. The procedure and recovery were uncomplicated, and the infant was discharged home 2 days later. The parents report she is feeding well with a traditional bottle nipple and now also consumes some soft baby foods. She has not had fever, pain, or nasal regurgitation. She receives no medications. Today, she is at the 25th percentile for length and weight. Vital signs are normal. Physical examination discloses a well-healing surgical incision on the left upper vermilion and philtrum; the palate also appears to be healing well without wound dehiscence or palatal holes. This patient’s parents should be informed that she is at increased risk for developing which of the following?
Correct
Incorrect
Question 31 of 50
31. Question
A 22-year-old man is brought to the physician by his parents because he has become newly preoccupied with religion during the past year. He lives with his parents and attends a community college. Two months ago, he stopped attending his classes. His parents report that he spends most of the day in his room alone reading religious scripture. He shows no interest in activities he once enjoyed, no longer spends time with his friends, masturbates frequently and obviously, and spends most of the night walking around his room laughing and talking to himself. He has no history of serious illness and takes no medications. Vital signs are within normal limits. Physical examination shows no abnormalities. On mental status examination, he has a depressed mood and animated affect. His speech is pressured, and responses to questions are tangential. He reports hearing a voice during the past 2 months that he believes is “the voice of God.” He says that he feels confused and has thoughts about ending his life because he cannot understand if God truly wants him to become the next Messiah. Which of the following is the most likely diagnosis?
Correct
Incorrect
Question 32 of 50
32. Question
A 26-year-old primigravid woman has spontaneous rupture of the membranes at 30 weeks’ gestation. She is afebrile and has no contractions. A sterile speculum examination shows a closed cervix and a pool of clear fluid in the vagina. Which of the following is the most likely complication?
Correct
Incorrect
Question 33 of 50
33. Question
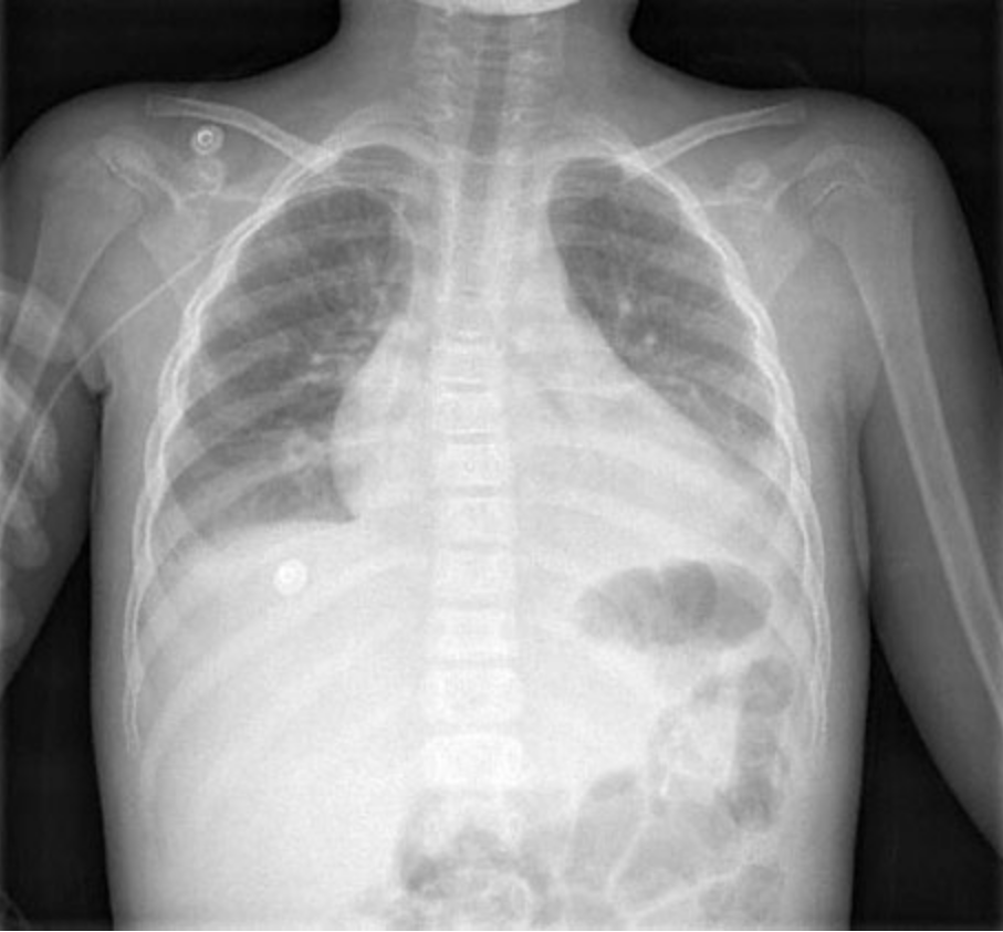
An 8-year-old African American girl with sickle cell disease is brought to the physician by her mother because of a 12-hour history of cough and difficulty breathing. Her medications are penicillin and folic acid. Her temperature is 39°C (102.2°F), pulse is 130/min, respirations are 40/min, and blood pressure is 105/60 mm Hg. Pulse oximetry on room air shows an oxygen saturation of 94%. On pulmonary examination, crackles are heard in the upper lobes. Breath sounds are decreased at the lung bases bilaterally. The remainder of the examination shows no abnormalities. An x-ray of the chest is shown. Which of the following is the most appropriate next step in diagnosis?
Correct
Incorrect
Question 34 of 50
34. Question
A 58-year-old man is admitted to the hospital for treatment of anemia. Two days ago, he had excessive blood loss following colon polyp removal via colonoscopy. Today, his hemoglobin concentration is 6.5 g/dL and hematocrit is 19.5%. Two months ago, in order to decrease transfusion errors, a blood lock system was implemented in which the patient ID must be entered into the lock to open the blood container; the container cannot be opened without the correct ID. Requiring staff to enter the patient’s ID to open the blood lock is best described as which of the following?
Correct
Incorrect
Question 35 of 50
35. Question
Twenty-four hours after admission to the hospital for treatment of temperatures to 38.5°C (101.3°F) and abdominal pain, a 22-year-old man has a decrease in his temperature. Two weeks ago, he went on a 5-day trip to South America and had diarrhea for 7 days. He has no previous history of serious illness. On admission, a CT scan of the abdomen showed a 5-cm mass in the right lobe of the liver; the mass was filled with fluid. He has received metronidazole, ampicillin, and gentamicin since admission. His current temperature is 37.4°C (99.3°F), and blood pressure is 120/75 mm Hg. The abdomen is flat with moderate right upper quadrant tenderness and guarding. There are no peritoneal signs. A serum titer for antibodies to Entamoeba histolytica is positive at 1:128. Which of the following is the most appropriate next step in management?
Correct
Incorrect
Question 36 of 50
36. Question
A previously healthy 23-year-old woman is brought to the emergency department 20 minutes after the sudden onset of shortness of breath, moderate abdominal pain, nausea, and an itchy rash over the abdomen. Her symptoms began after she ate a sugar cookie given to her by a friend. The patient had a peanut allergy as a child and before eating the cookie, she asked her friend to taste it. Neither she nor her friend tasted or smelled peanuts. The patient’s only medication is an oral contraceptive. Her last menstrual period was 1 week ago. She has smoked one pack of cigarettes daily for 5 years. She drinks three 12-oz beers on weekends. She has been staying at different friends’ homes during the past 2 months while searching for an apartment and has been using unfamiliar laundry detergents. She is in mild respiratory distress but is able to speak in full sentences. Her pulse is 110/min, respirations are 28/min, and blood pressure is 100/60 mm Hg. Pulse oximetry on room air shows an oxygen saturation of 94%. A photograph of the rash is shown. Scattered wheezes are heard bilaterally. Cardiac examination shows no abnormalities. Abdominal examination shows mild, diffuse tenderness to palpation; there is no rebound or guarding. Which of the following is the most appropriate initial pharmacotherapy?
Correct
Incorrect
Question 37 of 50
37. Question
A 67-year-old man comes to the physician because he has noticed blood in his urine for the past 2 weeks. He has no prior history of blood in his urine. He has not had pain or any other symptoms. He has hypertension controlled with a diuretic and hypercholesterolemia controlled with a lipid-lowering agent. His blood pressure is 120/76 mm Hg. Examination shows no abnormalities. Urinalysis shows RBCs that are too numerous to count. Which of the following is the most appropriate next step in diagnosis?
Correct
Incorrect
Question 38 of 50
38. Question
A 39-year-old man comes to the office because of a 1-month history of intermittent regurgitation and constipation. He has regurgitated undigested food four times weekly. He previously had daily bowel movements; during the past month, he has had a bowel movement every 3 to 4 days. He also has a 1-year history of progressive difficulty swallowing. He says initially he had difficulty swallowing solids. He now also has difficulty swallowing liquids. When he eats, he occasionally has moderate pain in the lower sternal area that radiates upward. He emigrated from Brazil 5 years ago. Vital signs are within normal limits. Examination shows no abnormalities. A chest x-ray shows a dilated esophagus with an air-fluid level. Which of the following is the most likely diagnosis?
Correct
Incorrect
Question 39 of 50
39. Question
A hospitalized 27-year-old woman with sickle cell crisis has shortness of breath and nonproductive cough 4 hours after transfusion of 1 unit of packed red blood cells. Her only medication is morphine. Her temperature is 38°C (100.4°F), pulse is 126/min, respirations are 28/min, and blood pressure is 98/58 mm Hg. Pulse oximetry on room air shows an oxygen saturation of 88%. Examination shows central cyanosis. Diffuse crackles are heard bilaterally. Heart sounds are normal. Arterial blood gas analysis on room air shows:
pH
7.47
Pco2
38 mm Hg
Po2
55 mm Hg
A chest x-ray shows bilateral pulmonary infiltrates. Which of the following is the most likely cause of these findings?
Correct
Incorrect
Question 40 of 50
40. Question
A 22-year-old man comes to the physician because of a severe nosebleed and a generalized rash for the past 24 hours. He has a 1-month history of fatigue and generalized weakness. His temperature is 36.7°C (98°F), pulse is 100/min, respirations are 18/min, and blood pressure is 142/72 mm Hg. Examination of the skin shows diffuse petechiae over the entire body. There is diffuse lymphadenopathy and mild hepatosplenomegaly. The nares are packed with gauze, and there is no active bleeding. Laboratory studies show:
Hematocrit
28%
Leukocyte count
36,000/mm3
Segmented neutrophils
10%
Lymphocytes
25%
Lymphoblasts and other immature forms
65%
Platelet count
15,000/mm3
Serum
Urea nitrogen
20 mg/dL
Creatinine
1.2 mg/dL
Uric acid
15.2 mg/dL
A biopsy specimen of bone marrow shows acute lymphoblastic leukemia. In addition to vigorous hydration and alkalinization of the urine, which of the following is most appropriate to administer to prevent acute renal failure during chemotherapy in this patient?
Correct
Incorrect
Question 41 of 50
41. Question
A 25-year-old man is brought to the emergency department by ambulance 25 minutes after his wife found him unconscious on the floor at home this morning. He was discharged from the military 3 months ago after he sustained a traumatic brain injury and underwent right below-the-knee amputation. Since his return, his family says he has had mood swings, aggressive behavior, and anxiety, which have prevented him from interacting with people. He has major depressive disorder and severe limb pain. His medications are amitriptyline, sertraline, oxycodone, and acetaminophen. Two days ago, he began a short-term course of alprazolam for persistent anxiety. His family says he generally has been adherent to his medication and cognitive behavioral therapy regimens. He does not smoke cigarettes. He drank four 12-oz beers weekly as a teenager; now he drinks eight 12-oz beers weekly. On arrival, he is somnolent and responds to painful stimuli only. Temperature is 36.7°C (98.0°F), pulse is 110/min, respirations are 10/min and shallow, and blood pressure is 85/60 mm Hg. Pulse oximetry on 4 L/min of oxygen by nasal cannula shows an oxygen saturation of 92%. Examination shows warm, dry, flushed skin. The pupils are mydriatic with nystagmus. Air movement is decreased in the lungs. Cardiac examination shows no abnormalities. The abdomen is soft. Bowel sounds are decreased. Patellar deep tendon reflexes are 3+ bilaterally. An overdose of which of the following is the most likely explanation for these findings?
Correct
Incorrect
Question 42 of 50
42. Question
A 29-year-old woman comes to the physician for a routine health maintenance examination. She has no history of serious illness and takes no medications. Menses occur at regular 28-day intervals, last 5 days, and are accompanied by mild cramps. Her last menstrual period was 3 weeks ago. She is sexually active and monogamous with one male partner. She has a copper IUD in place. Her blood pressure is 118/72 mm Hg. Physical examination shows no abnormalities. Pelvic examination shows an IUD string at the cervical os and a mildly tender right adnexal mass. Transvaginal ultrasonography shows a normal uterus and left adnexa and a 5-cm hemorrhagic cyst in the right adnexa. Which of the following is the most appropriate next step in management?
Correct
Incorrect
Question 43 of 50
43. Question
A 20-year-old primigravid woman at 28 weeks’ gestation is brought to the emergency department after she was involved in a high-speed motor vehicle collision. She was the restrained front seat passenger. She has no history of serious illness. Her pregnancy had been uncomplicated. She has moderate neck and back pain and abdominal tenderness. She appears confused. Her temperature is 37°C (98.6°F), pulse is 120/min, respirations are 24/min, and blood pressure is 100/58 mm Hg. The fetal heart rate is 140–150/min. Examination shows multiple facial contusions. Laboratory studies show a hematocrit of 32%, leukocyte count of 9000/mm3, and platelet count of 210,000/mm3. In addition to continuous fetal monitoring, which of the following is the most appropriate next step in management?
Correct
Incorrect
Question 44 of 50
44. Question
A 15-year-old boy is brought to the physician because of fatigue since starting his freshman year of high school 3 months ago. He often falls asleep during class. He urinates four to five times nightly and often has difficulty falling asleep again. He has no history of serious illness and takes no medications. He is at the 20th percentile for height and above the 95th percentile for weight and BMI. Vital signs are within normal limits. Examination shows a velvety, hyperpigmented macular rash over the neck and axillae. The remainder of the examination shows no abnormalities. Laboratory studies show:
Hematocrit
39%
Leukocyte count
5900/mm3
Platelet count
401,000/mm3
Serum
Na+
133 mEq/L
K+
4.3 mEq/L
Cl−
98 mEq/L
HCO3−
22 mEq/L
Urea nitrogen
14 mg/dL
Glucose
148 mg/dL
Creatinine
0.6 mg/dL
Urine
pH
5
Specific gravity
1.035
Glucose
2+
Ketones
negative
This patient is at increased risk for which of the following complications of his current condition during the next 15 years?
Correct
Incorrect
Question 45 of 50
45. Question
A previously healthy 3-year-old boy who is scheduled for an elective operation begins to cry and cling tightly to his mother on arrival at the hospital. Which of the following is the most likely cause of this behavior?
Correct
Incorrect
Question 46 of 50
46. Question
A 19-year-old woman is brought to the emergency department by her mother 30 minutes after ingesting an unknown liquid she found in her parents’ utility room following an argument with her boyfriend. Immediately after swallowing the liquid, she telephoned her mother at work, who arrived at home 20 minutes later and found her daughter drooling and reporting severe upper chest pain. On arrival at the emergency department, the patient is in obvious distress and is drooling and unable to swallow. Temperature is 37.0°C (98.6°F), pulse is 120/min and regular, respirations are 20/min, and blood pressure is 148/90 mm Hg. Physical examination shows profuse clear drainage from the mouth and erythema and edema of the posterior oropharynx. Cardiopulmonary examination shows no abnormalities. Two large-bore intravenous catheters are inserted for fluid administration and a dose of intravenous hydromorphone is administered. The patient begins to feel more comfortable. Results of laboratory studies are within the reference ranges. Chest x-ray shows no abnormalities. Which of the following is the most appropriate management?
Correct
Incorrect
Question 47 of 50
47. Question
A 23-year-old male college student comes to the clinic for a follow-up visit 14 days after undergoing emergent splenectomy following a motor vehicle collision. The patient has resumed his regular diet and is ambulating normally. Medical history otherwise is unremarkable, and his only medication is acetaminophen as needed. The patient completed his Haemophilus influenzae type b vaccinations by age 18 months and his varicella, polio, and measles-mumps-rubella vaccinations by age 5 years; he received a human papillomavirus vaccination at age 11 years. Temperature is 37.0°C (98.6°F), pulse is 82/min, and blood pressure is 116/54 mm Hg. Abdominal examination shows a well-healing midline incision. Which of the following vaccinations is most appropriate to administer to this patient today?
Correct
Incorrect
Question 48 of 50
48. Question
A previously healthy 19-year-old college student comes to the emergency department because of a 3-day history of lower abdominal pain and vaginal spotting. Menses usually occur at regular 28-day intervals, but she cannot recall the date of her last menstrual period. She takes no medications. She is sexually active and uses condoms inconsistently. She appears pale but is alert and answers questions appropriately. Her pulse is 110/min, respirations are 22/min, and blood pressure is 80/50 mm Hg. Abdominal examination shows lower quadrant tenderness with marked guarding. Pelvic examination shows a soft uterus and adnexal tenderness greater on the right than on the left. Her hemoglobin concentration is 6.2 g/dL, hematocrit is 18%, and serum β-hCG concentration is 6645 mIU/mL. Urinalysis shows no abnormalities. Which of the following is the most appropriate next step in management?
Correct
Incorrect
Question 49 of 50
49. Question
A 17-year-old boy is brought to the office by his parents because of changes in his behavior during the past 6 months. They say he has become withdrawn and moody and that his grades have declined. He has returned home from parties intoxicated three times during the past month. During a wedding reception 3 weeks ago, he was delirious, incoherent, and imbalanced. The patient says he drinks alcohol but that his drinking is not a problem and he can stop drinking whenever he wants. Vital signs are within normal limits. Physical examination shows no abnormalities. On mental status examination, he is calm and cooperative. He reports no insomnia, hypersomnia, or suicidal ideation. Which of the following is the most likely diagnosis?
Correct
Incorrect
Question 50 of 50
50. Question
A 47-year-old woman comes to the physician because of a 9-month history of hot flashes, night sweats, and pain during sexual intercourse. Her last menstrual period was 1 year ago. Physical examination shows no abnormalities. Pelvic examination shows vaginal atrophy and no cervical mucus. A Pap smear and mammography show no abnormalities. Which of the following is the most appropriate next step in management?
Correct
Incorrect
لا تفوّت فرصتك!
احصل على تجربة مجانية لدورة USMLE
محتوى مختار من المحاضرات، الكتب، بنك الأسئلة مع فيديوهات قصيرة لحل الأسئلة، والفلاش كاردز.