A 22-year-old woman comes to the physician because of a 2-day history of severe shortness of breath. Over the past week, she has been taking ibuprofen for fever, chills, and muscle pain. She has no history of serious illness and takes no other medications. Her temperature is 38.4°C (101.1°F), pulse is 105/min and irregular, respirations are 28/min, and blood pressure is 70/50 mm Hg. Examination shows jugular venous distention. Crackles are heard throughout both lung fields. An S3 gallop is heard. Pulses are decreased in the upper and lower extremities. An x-ray of the chest shows cardiomegaly and perihilar fluid. An ECG shows frequent premature ventricular contractions. Echocardiography shows cardiomegaly with normal valve function and an ejection fraction of 18%; her estimated cardiac output is 1.4 L/min (N=4–5). Which of the following is the most likely diagnosis?
Correct
Incorrect
Question 2 of 50
2. Question
A study is conducted to determine if a hemoglobin A1c greater than 15% predicts diabetic retinopathy. Results show that 88% of all patients without diabetic retinopathy had a hemoglobin A1c below 15%. Which of the following is the most accurate interpretation of these results?
Correct
Incorrect
Question 3 of 50
3. Question
A 13-year-old girl is brought to the physician by her mother because of a 3-day history of pain and pressure in her face, itchy eyes, and decreased hearing in both ears. She has not had fever, chills, muscle pain, or nausea. Acetaminophen has not relieved her symptoms. She takes no other medications. One year ago, she had a similar episode and was successfully treated with azithromycin therapy at an urgent care center, and her mother requests another prescription for azithromycin. The patient’s two brothers have well-controlled asthma. Her vital signs are within normal limits. Examination shows a supple neck with a few shotty lymph nodes in the upper cervical chain. The conjunctivae have a cobblestone appearance. The inferior nasal turbinates are edematous. The tympanic membranes are injected bilaterally. There is moderate mucus in the posterior pharynx. The tonsils are not enlarged. The lungs are clear to auscultation. Which of the following is the most appropriate next step in management?
Correct
Incorrect
Question 4 of 50
4. Question
A 76-year-old woman is scheduled to undergo right knee arthroscopy at an ambulatory surgery center. Before the procedure begins, the surgical team confirms the identity of the patient, the procedure being performed, the side and site of the procedure, the patient’s position, and the availability of needed equipment. The procedure is then completed without complications, and the patient is discharged home 4 hours later. Which of the following is most likely increased at this center as a result of the pre-procedure actions of the surgical team?
Correct
Incorrect
Question 5 of 50
5. Question
Immediately after extubation following a total thyroidectomy, a 72-year-old woman has stridor and shortness of breath. She has a history of transient ischemic attacks and coronary artery disease. Her only medication is aspirin. She appears to be in distress and is gasping for air. Her pulse is 100/min, respirations are 35/min, and blood pressure is 170/100 mm Hg. Examination shows an intact surgical incision and no ecchymosis. Breath sounds are decreased bilaterally. Arterial blood gas analysis on 40% oxygen by face mask shows:
pH
7.3
Pco2
60 mm Hg
Po2
200 mm Hg
O2 saturation
99%
Which of the following is the most likely diagnosis?
Correct
Incorrect
Question 6 of 50
6. Question
A 46-year-old man with hypertension comes to the physician for a routine examination. When the physician enters the room, the patient says the office staff were talking about him in the waiting room. The patient has declined antihypertensive therapy in the past; today, he declines it again, saying “it does not matter because the world is going to end soon.” He does not drink alcohol or use illicit drugs. He lives alone and has minimal contact with his family. He says he has one friend and spends his free time playing video games. He works at home for an accounting firm. He appears fearful and older than his stated age. He wears an overcoat and woolen hat although the outside temperature is 80°F. His pulse is 80/min and regular, and blood pressure is 140/98 mm Hg. Limited physical examination shows no abnormalities. On mental status examination, he has a euthymic mood and odd affect. He makes minimal eye contact with the physician and appears anxious when questioned. He says he has not had anxiety or changes in mood. Cognition is intact, and answers to questions are appropriate. His thought process is linear. He reports no hallucinations. Results of laboratory studies are within the reference ranges. Which of the following is the most likely diagnosis?
Correct
Incorrect
Question 7 of 50
7. Question
A 4-year-old girl is brought to the office by her mother because of a 1-week history of vaginal itching. The mother says her daughter is scratching her vaginal area frequently and the area appears irritated. The patient has not had fever, pain with urination, or urinary frequency. She has been toilet-trained for 1 year. The mother is not concerned about sexual abuse. When questioned alone, the patient says that no one has touched her inappropriately. Examination shows erythema of the vaginal area. There is no vaginal discharge, foul odor, bleeding, tears, or ecchymoses. Which of the following is the most appropriate next step in management?
Correct
Incorrect
Question 8 of 50
8. Question
An 87-year-old man comes to the physician because of a 2-day history of visual changes in his right eye. He notices that the lines of his daily crossword puzzle look curved, and the blinds in his apartment appear wavy. He wears magnifying lenses for reading. There is no pain in his eye, no photophobia, and no history of trauma to the area. He had cataract removal from the right eye 5 years ago. There is no history of serious illness. On examination, visual acuity is 20/200 in his right eye and 20/100 in his left eye. The right pupil is irregular, but it is reactive to light. The left pupil is round and reactive. This examination finding is unchanged since his cataract operation. Palpation of both globes through closed eyelids shows no abnormalities. His lenses appear clear. Which of the following is the most appropriate next step in diagnosis?
Correct
Incorrect
Question 9 of 50
9. Question
A 27-year-old woman comes to the office for a health maintenance examination. She says she feels well. She has no history of serious illness and takes no medications. Vital signs are within normal limits. Examination shows no lymphadenopathy. A 2-cm nodule is palpated in the left lobe of the thyroid gland. The remainder of the examination shows no abnormalities. Results of laboratory studies, including measurement of serum thyroid-stimulating hormone concentration, are within the reference ranges. Which of the following is the most appropriate next step in management?
Correct
Incorrect
Question 10 of 50
10. Question
A healthy 16-year-old girl comes to the physician for a school physical examination. She is sexually active with one partner and does not use contraception. She has smoked one pack of cigarettes daily for 2 years. She is 163 cm (5 ft 4 in) tall and weighs 70 kg (156 lb); BMI is 27 kg/m2. Physical examination shows no abnormalities. Which of the following behavioral modifications is most likely to have the greatest impact on mortality in this patient during the next 10 years?
Correct
Incorrect
Question 11 of 50
11. Question
An 82-year-old woman who resides in a skilled nursing care facility is transferred to the hospital because of a 2-day history of fever and cellulitis of the left side of her face. She is hemiparetic, aphasic, and unable to swallow. She is fed through a gastrostomy tube. She has congestive heart failure, type 2 diabetes mellitus, hypertension, hyperlipidemia, major depressive disorder, and osteoporosis. Her medications are furosemide, metoprolol, digoxin, glyburide, lisinopril, carvedilol, atorvastatin, amitriptyline, alendronate, and 81-mg aspirin. She appears ill and moans frequently. Her temperature is 39.1°C (102.4°F), pulse is 84/min, respirations are 24/min, and blood pressure is 112/72 mm Hg. A firm, exquisitely tender mass is palpated from the left cheek to the angle of the mandible; this area is also erythematous and edematous. The left pinna appears normal, and the otic canal is not inflamed. The mouth is dry. Bilateral basilar crackles are heard. Cardiac examination shows no abnormalities. The abdomen is soft and nontender. The gastrostomy tube is in place with no inflammation. Her leukocyte count is 28,000/mm3 (78% segmented neutrophils, 18% bands, and 4% lymphocytes), and serum glucose concentration is 168 mg/dL. A chest x-ray shows cardiomegaly; there are bilateral basilar increased markings and atelectasis in the left lung base but no focal infiltrates. Which of the following is the most likely cause of this patient’s fever?
Correct
Incorrect
Question 12 of 50
12. Question
A hospitalized 42-year-old man has chills and a temperature of 38.3°C (101°F) 1 hour after transfusion of packed red blood cells for treatment of anemia secondary to a bleeding duodenal ulcer. He has never received a blood transfusion in the past. He has no known allergies. He is pale and flushed. He is 178 cm (5 ft 10 in) tall and weighs 79 kg (175 lb); BMI is 25 kg/m2. His pulse is 98/min and regular, and blood pressure is 128/82 mm Hg. Examination shows no abnormalities. The most appropriate next step in management is administration of which of the following?
Correct
Incorrect
Question 13 of 50
13. Question
A 77-year-old woman comes to the office because of a 1-year history of frequent urinary incontinence during the day and at night. The incontinence is not associated with coughing or sneezing, and she does not have urinary urgency before the episodes. She has not had pain with urination or vaginal discharge. She has a 10-year history of type 2 diabetes mellitus well controlled with metformin. Her other medications are atorvastatin and lisinopril. Examination shows some wetting of an absorbent pad that she is wearing. Results of laboratory studies are shown:
Hemoglobin A1c
6.2%
Serum
Na+
138 mEq/L
K+
3.7 mEq/L
Cl–
98 mEq/L
HCO3–
26 mEq/L
Urea nitrogen
12 mg/dL
Glucose
180 mg/dL
Creatinine
1.1 mg/dL
Urine
pH
normal
Glucose
1+
Protein
2+
RBC
none
WBC
3/hpf
Casts
none
Which of the following is the most likely cause of this patient’s urinary incontinence?
Correct
Incorrect
Question 14 of 50
14. Question
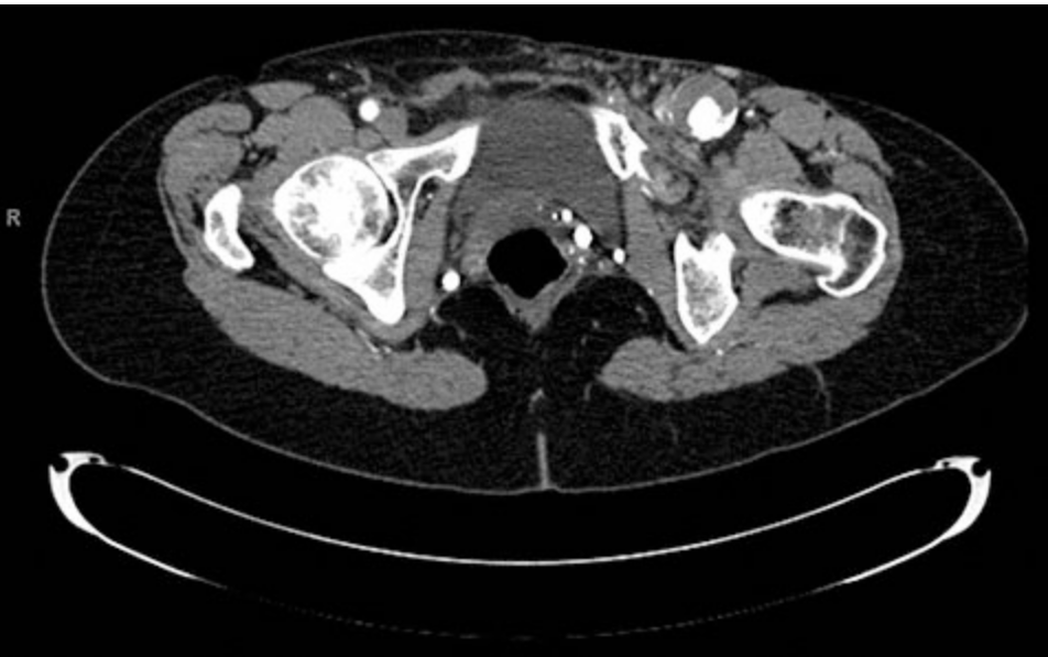
A 71-year-old man is brought to the emergency department because of a 1-week history of increasingly severe pain in his left third toe. During the past 36 hours, he has not slept because of the pain. He has coronary artery disease, hypertension, and hyperlipidemia. Six years ago, he had a myocardial infarction. He has never undergone an operation. His medications are ramipril, labetalol, and aspirin. Acetaminophen and ibuprofen have provided no pain relief. He smoked one pack of cigarettes daily for 40 years but quit 6 years ago. He appears uncomfortable. His pulse is 84/min, and blood pressure is 170/90 mm Hg. A 4-cm, pulsatile, nontender mass is palpated in the left inguinal region. The left third toe is necrotic and exquisitely tender to palpation; there is no erythema or drainage. Pedal pulses are 2+ on the left. The remainder of the examination shows no abnormalities. A CT scan of the abdomen and pelvis is shown. In addition to intravenous analgesic therapy, which of the following is the most appropriate next step in management?
Correct
Incorrect
Question 15 of 50
15. Question
A 37-year-old woman comes to the physician requesting assistance in applying for disability income. She fell at home 12 months ago and left her job at a day-care center because of subsequent low back pain. She received the diagnosis of major depressive disorder 8 months ago; her sleep, appetite, and mood have improved with citalopram therapy. Her only other medication is ibuprofen. She asks the physician to document a permanent and total disability on an application form for disability income so that she will have the financial resources to start college education on a full-time basis. She explains that she will become depressed again if she resumes her stressful job as a child-care provider. She does not appear to be in distress. She is 157 cm (5 ft 2 in) tall and weighs 68 kg (150 lb); BMI is 27 kg/m2. Her temperature is 37°C (98.6°F), pulse is 64/min, and blood pressure is 108/60 mm Hg. Examination of the back shows no tenderness; range of motion of the lumbar spine is full. Neurologic examination shows no abnormalities. The physician will not fill out the form. In addition to informing the patient, which of the following is the most appropriate next step in management?
Correct
Incorrect
Question 16 of 50
16. Question
A 67-year-old woman comes to the physician because of a 1-year history of a nonproductive cough and progressive shortness of breath with exertion. Her symptoms were not a problem at first, but she now has trouble walking her dog because of shortness of breath after walking one-half block. She has not had fever or any other symptoms. She has no history of serious illness and takes no medications. She does not smoke. She retired from her position as an executive secretary 5 years ago. Vital signs are within normal limits. Pulse oximetry on room air shows an oxygen saturation of 92%. Examination shows no cyanosis. Fine, dry crackles are heard at both lung bases. Examination of the hands shows clubbing. There is no peripheral edema. A chest x-ray shows fine linear opacities in the lower third of the lungs bilaterally. A CT scan of the chest confirms an interstitial pattern. Pulmonary function tests show an FVC of 48% of predicted and a diffusion capacity of the lung for carbon monoxide of 55% of predicted. Which of the following is the most appropriate next step in diagnosis?
Correct
Incorrect
Question 17 of 50
17. Question
A 2-year-old boy is brought to the physician for a follow-up examination 2 weeks after being treated for an ear infection. He has been treated for six episodes of acute otitis media and one episode of pneumonia since birth. Three months ago, he underwent placement of tympanostomy tubes. He currently takes no medications. He appears well. He is at the 75th percentile for length and 25th percentile for weight. Examination shows several 0.5- to 1-cm, firm, nontender, mobile lymph nodes in the anterior cervical chain. Tympanostomy tubes are in place bilaterally without discharge. Laboratory studies show:
Hemoglobin
12.5 g/dL
Hematocrit
37%
Leukocyte count
8100/mm3
Platelet count
257,000/mm3
Serum
IgA
<7 mg/dL
IgG
720 mg/dL
IgM
75 mg/dL
Which of the following is the most appropriate next step in management?
Correct
Incorrect
Question 18 of 50
18. Question
A 42-year-old woman comes to the physician because of nausea and vomiting and abdominal cramping and swelling over the past 12 hours. She takes an oral contraceptive. She underwent an appendectomy 5 years ago. Abdominal examination shows distention and moderate tenderness without guarding. An x-ray of the abdomen is shown. Which of the following is the most likely diagnosis?
Correct
Incorrect
Question 19 of 50
19. Question
A 17-year-old boy is brought to the emergency department by his mother because of a 20-minute episode of severe chest pain and sweating that started 1 hour ago while he was watching television. On arrival, he is alert and repeatedly expresses concern that something is “very wrong.” He reports that during the episode, his heart was “pounding,” he felt short of breath, and he was sure he was having a heart attack and was going to die. One month ago, he had a similar episode that occurred in the evening 30 minutes after his high school football practice. At that time, results of laboratory studies and an ECG obtained in the emergency department showed no abnormalities. After the initial episode, he quit the football team, and he has continued to limit his physical activity because he is afraid of bringing on another episode. He reports no insomnia or changes in appetite. His mother states that he was diagnosed with an innocent heart murmur at the age of 6 months, but it has not been noted on examinations since the age of 1 year. His paternal grandfather died of a myocardial infarction 3 years ago at the age of 68 years. The patient takes no medications. He does not smoke cigarettes, drink alcohol, or use illicit drugs. He performs well in school. He is 180 cm (5 ft 11 in) tall and weighs 73 kg (161 lb); BMI is 23 kg/m2. His temperature is 37.0°C (98.6°F), and blood pressure is 130/83 mm Hg. No murmurs are heard on cardiac examination. The remainder of the examination shows no abnormalities. ECG is shown. Which of the following is the most likely diagnosis?
Correct
Incorrect
Question 20 of 50
20. Question
A 72-year-old man comes to the physician for a routine health maintenance examination. Abdominal examination shows a nontender, pulsatile mass in the epigastrium. Abdominal ultrasonography shows a 7.2-cm aneurysm. The physician reviews several studies of patients with abdominal aneurysms that are greater than 7 cm in size. The rupture rate is estimated to be 20% per year. Following rupture of an abdominal aneurysm, one half of patients die before reaching a hospital. For patients who do reach a hospital, the perioperative mortality rate is approximately 50%. The mortality rate for patients who undergo elective repair of an aneurysm is 5%. After discussing the risks and benefits of surgical repair of the aneurysm, the patient decides not to undergo an operation. Which of the following best represents this patient’s risk for mortality from rupture of the aneurysm during the next year?
Correct
Incorrect
Question 21 of 50
21. Question
A 47-year-old woman comes to the physician because of a 3-week history of moderate pain in her arms and legs. She states that her “bones ache” in all joints both at rest and with movement. She has hypertension, hyperlipidemia, and type 2 diabetes mellitus well controlled with diet. Current medications include hydrochlorothiazide and simvastatin. Her sister has Sjögren syndrome, and her mother has coronary artery disease. The patient does not smoke and drinks one glass of wine daily. Her blood pressure is 144/80 mm Hg. Cardiopulmonary examination shows no abnormalities. There is tenderness to palpation over the wrist, metacarpophalangeal, knee, and ankle joints. Clubbing of the fingers and toes is noted. A chest x-ray shows a left upper lobe mass with perihilar lymphadenopathy. X-rays of the tibia and fibula show periostosis. Which of the following is the most likely diagnosis?
Correct
Incorrect
Question 22 of 50
22. Question
A 58-year-old man with an 8-year history of schizoaffective disorder, manic type, is brought to the clinic for a follow-up examination. Two weeks ago, he was hospitalized for a manic episode. Risperidone was added to his medication regimen; the dosage was increased to the maximum recommended prior to discharge. At that time, neurologic examination showed mild cogwheel rigidity. There was no evidence of tremors. Muscle strength was 5/5. He has no other history of serious medical or psychiatric illness. His other medications are valproic acid and clonazepam. Today, examination shows drooling, masked facies, and decreased blinking. He has a slow, shuffling gait with decreased arm swing. The remainder of the examination shows no abnormalities. Mental status examination shows normal speech and a mildly anxious mood. There is no evidence of psychosis. Which of the following is the most appropriate next step in management?
Correct
Incorrect
Question 23 of 50
23. Question
A 67-year-old man with metastatic lung cancer comes to the physician because of malaise and lethargy during the past 3 days. Medications are ibuprofen and lisinopril. He appears cachectic but is oriented to person, place, and time. His temperature is 37°C (98.6°F), pulse is 102/min, respirations are 13/min, and blood pressure is 105/75 mm Hg. Examination shows decreased skin turgor. The remainder of the examination shows no abnormalities. Laboratory studies show:
Hemoglobin
10.6 g/dL
Hematocrit
36%
Leukocyte count
11,100/mm3
Platelet count
226,000/mm3
Serum
Na+
136 mEq/L
K+
3.6 mEq/L
Cl−
96 mEq/L
HCO3−
28 mEq/L
Ca2+
11.8 mg/dL
Urea nitrogen
22 mg/dL
Glucose
98 mg/dL
Creatinine
0.9 mg/dL
Phosphorus
2.5 mg/dL
Albumin
2.9 g/dL
Which of the following is the most appropriate initial pharmacotherapy?
Correct
Incorrect
Question 24 of 50
24. Question
A 47-year-old man is brought to the emergency department because of severe left groin pain since he fell 2 hours ago. He is unable to walk because of the pain. He does not have pain in other joints. He has a 20-year history of ulcerative colitis. His only medication is daily prednisone. On examination, any attempts at range of motion of the left hip elicit pain. Muscle strength is intact distally and in the right lower extremity. Distal pulses are 2+. An x-ray of the pelvis and left lower hip shows moderate loss of joint space and diffuse osteopenia. Which of the following is the most appropriate next step in management?
Correct
Incorrect
Question 25 of 50
25. Question
A 74-year-old woman is brought to the clinic by her family because of a 7-month history of progressive confusion and urinary incontinence. During the past year, she has had multiple falls; she sustained wrist fractures 1 year ago and a left tibia fracture 3 months ago. She has hypertension, osteoporosis, and depression. She is evasive when asked how much alcohol she drinks. She appears frail. Vital signs are within normal limits. Physical examination shows a wide-based gait and marked ataxia. She is unable to attempt the Romberg test. Cranial nerve examination shows nystagmus and an inability to move her eyes horizontally. On cognitive testing, she recalls zero of three objects after 5 minutes. Laboratory studies show:
Hemoglobin
10 g/dL
Mean corpuscular volume
102 μm3
Serum
Vitamin B12 (cobalamin)
980 pg/mL (N=160–950)
Folate
3.1 ng/mL (N=2.7–17)
Which of the following is the most likely diagnosis?
Correct
Incorrect
Question 26 of 50
26. Question
Eight days after he was involved in a motor vehicle collision in which he was the restrained driver, a hospitalized 28-year-old man has hypertension. He underwent extensive reconstructive orthopaedic operations for injuries to his left clavicle, shoulder, and femur and exploratory laparotomy for a ruptured spleen. Urine toxicology screening on admission was positive for Δ9-tetrahydrocannabinol, cocaine, and opiates. He was intubated and mechanically ventilated during the procedures and was extubated on hospital day 4. He receives oral acetaminophen-oxycodone as needed. His blood pressure has been 180/110 mm Hg; it decreases to 150/80 mm Hg when he receives his pain medication. An abdominal bandage covers the surgical incision. The nurse tells the physician that the patient rates his pain as a 10 on a 10-point scale and is constantly asking for pain medications. Which of the following is the most appropriate next step in pharmacotherapy for this patient’s hypertension?
Correct
Incorrect
Question 27 of 50
27. Question
A 37-year-old primigravid woman at 16 weeks’ gestation comes to the physician to discuss the results of amniocentesis. She has an IQ of 70. She is employed as a housekeeping assistant in a hotel and has been married to a coworker for 6 months. She has no family history of serious illness. Karyotype analysis of the fetus showed trisomy 21. Her pregnancy has been otherwise uncomplicated. She is informed of the abnormalities associated with the fetal genotype and still wants to continue the pregnancy. Which of the following is the most appropriate next step in management?
Correct
Incorrect
Question 28 of 50
28. Question
A 29-year-old male US Navy veteran comes to the local Veterans Affairs clinic because of a 2-week history of purulent drainage from a small opening at the site of amputation of his left arm. For the past 10 days, he has had increasing pain, tenderness, and redness at the wound site. Thirteen months ago, the patient sustained a traumatic amputation of the left arm below the elbow when an improvised explosive device detonated while he was on a combat mission in the Middle East. Management at that time consisted of aggressive surgical debridement of the residual limb, which has healed slowly; a small part of the wound appeared to heal incompletely. The patient appears well. Vital signs are within normal limits. Examination of the left upper extremity shows a 3-mm opening in the scar with surrounding erythema; the site is draining purulent material. The remainder of the examination shows no abnormalities. Which of the following studies is most likely to confirm the diagnosis?
Correct
Incorrect
Question 29 of 50
29. Question
A 2-year-old girl is brought to the physician because of a 2-week history of difficulty walking and intermittent crossing of the eyes. She also has had three to four episodes of watery diarrhea daily during this time. She has not had fever or vomiting. She has no history of serious illness and receives no medications. She is alert but irritable and tearful; she clings to her mother during the examination. She is at the 50th percentile for length, 25th percentile for weight, and 50th percentile for head circumference. Her pulse is 100/min, respirations are 20/min, and blood pressure is 120/80 mm Hg. The abdomen is soft and nontender; a smooth, firm mass is palpated over the right upper quadrant. Neurologic examination shows rapid, chaotic, multidirectional saccades of the eyes. There are jerking motions of the extremities, which are exacerbated by intentional movement. There is truncal ataxia, and the patient is unable to sit or walk without assistance. Which of the following is the most likely underlying cause of this patient’s symptoms?
Correct
Incorrect
Question 30 of 50
30. Question
Three days after admission to the hospital for acute bacterial endocarditis, a 62-year-old man has shortness of breath that began 5 minutes ago while walking for the first time since admission. On admission, he had a 10-day history of fever; examination showed splinter hemorrhages and normal heart sounds without murmurs. His current pulse is 110/min, respirations are 24/min, and blood pressure is 100/50 mm Hg. Crackles are heard over both lung bases. S1 and S2 are soft; there is an S3. A new grade 2/6, early diastolic murmur is heard at the apex and the left sternal border, and a grade 4/6, systolic ejection murmur is heard best in the carotids and at the left sternal border. Which of the following is the most appropriate next step in management?
Correct
Incorrect
Question 31 of 50
31. Question
A study is proposed to investigate the effectiveness of a third-generation cephalosporin for the treatment of streptococcal pharyngitis. The study will include children between the ages of 5 and 10 years. They will be randomly assigned to receive treatment with a cephalosporin, penicillin, or a placebo. Informed consent will be obtained from one parent. The principal investigator offers a $50 finder’s fee to any medical resident who identifies a possible study participant. Which of the following features of this study is of greatest potential concern?
Correct
Incorrect
Question 32 of 50
32. Question
A 27-year-old woman comes to the physician for a follow-up examination. She has a 5-month history of temperatures to 38.3°C (101°F) and a cough productive of phlegm and mucous plugs. She has severe asthma treated with high doses of prednisone. She has had numerous visits to the emergency department since childhood because of uncontrolled symptoms. Expiratory wheezes are heard bilaterally. Laboratory studies show:
Hemoglobin
14.6 g/dL
Leukocyte count
8700/mm3
Segmented neutrophils
60%
Eosinophils
18%
Lymphocytes
22%
Serum IgE
23,000 IU/mL
An x-ray of the chest shows patchy bilateral upper lobe infiltrates that have shifted in location since an x-ray was taken 4 months ago. A CT scan of the chest shows central bronchiectasis without lymphadenopathy. This patient is most likely to have an immediate response to which of the following on skin testing?
Correct
Incorrect
Question 33 of 50
33. Question
A 4-year-old boy undergoes splenectomy to control bleeding from injuries sustained in a motor vehicle collision. His postoperative course is uncomplicated, and he receives pneumococcal and meningococcal vaccinations in preparation for his discharge home. After discharge, which of the following is the most appropriate follow-up intervention to decrease this patient’s risk for subsequent infection?
Correct
Incorrect
Question 34 of 50
34. Question
A 22-year-old nulligravid woman with cystic fibrosis comes to the physician because she would like to conceive within the next year. She has not been hospitalized in the past 3 years. Her disease is well controlled with antibiotics, vigorous bronchial drainage, bronchodilators, and nutritional support including pancreatic enzyme replacement. She is 155 cm (5 ft 1 in) tall and weighs 38 kg (83 lb); BMI is 16 kg/m2. Her pulse is 96/min, and blood pressure is 138/86 mm Hg. Examination shows no other abnormalities except for a prolonged expiratory phase. Her husband is healthy and has no family history of cystic fibrosis. She should be told that she will most likely require which of the following during pregnancy?
Correct
Incorrect
Question 35 of 50
35. Question
A 6-month-old girl is brought to the emergency department by her parents because of a 2-day history of temperatures to 39.4°C (103.0°F), irritability, decreased oral intake, and vomiting. She has no history of serious illness and receives no medications. She has not received any vaccinations. She appears acutely ill and is lethargic. Temperature is 38.9°C (102.0°F), pulse is 170/min, respirations are 60/min, and blood pressure is 70/45 mm Hg. Pulse oximetry on room air shows an oxygen saturation of 95%. Examination discloses a bulging fontanel and decreased responsiveness. Lumbar puncture is performed. Results of cerebrospinal fluid analysis are shown:
RBC
2/mm3
WBC
800/mm3
Neutrophils
88%
Monocytes
12%
Glucose
15 mg/dL
Protein
150 mg/dL
Broad-spectrum antibiotic and corticosteroid therapy is initiated. Which of the following is the most likely long-term complication of this patient’s condition?
Correct
Incorrect
Question 36 of 50
36. Question
A 16-year-old girl is brought to the physician by her mother because she has never had a menstrual period. She is 147 cm (4 ft 10 in) tall and weighs 52 kg (115 lb); BMI is 24 kg/m2. Her temperature is 37.1°C (98.8°F), pulse is 70/min, respirations are 14/min, and blood pressure is 110/60 mm Hg. Breast and pubic hair development is sexual maturity rating stage 1, and there is scant axillary hair. Pelvic examination shows no abnormalities. Her serum follicle-stimulating hormone concentration is 62 mIU/mL. Which of the following is the most appropriate next step in management?
Correct
Incorrect
Question 37 of 50
37. Question
A 7-year-old boy is brought to the physician because of a 4-day history of a dry, mildly itchy rash. The rash began as a small, pink, oval area on his chest and progressed to scaly, red patches over his arms, legs, and body. His mother applied calamine lotion and a topical corticosteroid cream without relief. He is currently taking amoxicillin for streptococcal pharyngitis diagnosed 4 days ago. He has no other history of rash or serious illness. He is alert and cooperative and in no acute distress. The pharynx is pink, and the tonsils are slightly enlarged with no exudate. The neck is supple with no adenopathy. A photograph of the rash over the trunk is shown. Which of the following is the most likely diagnosis?
Correct
Incorrect
Question 38 of 50
38. Question
A 3-month-old girl is brought to the physician because of constipation. She was born at home at term following an uncomplicated pregnancy and weighed 3118 g (6 lb 14 oz). She has not had routine well-child examinations. She is unable to hold her head up, does not roll over, and does not smile. She is at the 10th percentile for length, 5th percentile for weight, and 75th percentile for head circumference. The posterior fontanel is 2 cm in diameter. The tongue is large and protuberant. Which of the following is most likely to confirm the diagnosis?
Correct
Incorrect
Question 39 of 50
39. Question
A 32-year-old man comes to the office for a routine examination. He was diagnosed with HIV infection 7 years ago and began antiretroviral therapy 6 years ago. He received the appropriate immunizations at the time of diagnosis. He has tolerated his medication regimen well. He used illicit intravenous drugs for 5 years but stopped 7 years ago. He is in a monogamous relationship with one female partner; they use condoms consistently. Examination shows no abnormalities. His CD4+ T-lymphocyte count is 645/mm3 (Normal≥500), and plasma HIV viral load is 1000 copies/mL. Which of the following immunizations is most appropriate to administer at this time?
Correct
Incorrect
Question 40 of 50
40. Question
A 24-year-old man with protein C deficiency comes to the physician because of a 1-week history of yellowing of his skin. Three months ago, he had a mesenteric infarction and required resection of all but 45 cm of the proximal small bowel. The remainder of the jejunum was anastomosed to the colon. He receives total parenteral nutrition at home. He takes no medications. Examination today shows generalized jaundice. Laboratory studies show:
Leukocyte count
7000/mm3
Serum
Bilirubin, total
3.6 mg/dL
Direct
2.6 mg/dL
Alkaline phosphatase
150 U/L
AST
20 U/L
ALT
17 U/L
Which of the following is the most likely cause of this patient’s hyperbilirubinemia?
Correct
Incorrect
Question 41 of 50
41. Question
Eight weeks after an uncomplicated vaginal delivery of a healthy full-term newborn, a 27-year-old woman, gravida 1, para 1, is brought to the physician by her husband because of a change in personality and depressed mood over the past 10 days. She has not had headaches. Her menses have not resumed despite the discontinuation of breast-feeding 5 weeks ago. Her husband says that she has no interest in sexual intercourse. She does not use illicit drugs. She has had a 2.7-kg (6-lb) weight gain since delivery. She is now 175 cm (5 ft 9 in) tall and weighs 74 kg (164 lb); BMI is 24 kg/m2. Physical and neurologic examinations show no abnormalities. On mental status examination, she has a flat affect and is slow to respond to questioning. She spontaneously cries during the interview and examination. She has no suicidal ideation. Which of the following is the most appropriate next step in management?
Correct
Incorrect
Question 42 of 50
42. Question
A 32-year-old woman, gravida 3, para 2, at 37 weeks’ gestation is admitted to the hospital in labor. Contractions occur every 3 minutes. She has gained 2.3 kg (5 lb) during the past week and has had occasional blurred vision. She has been otherwise healthy. Her temperature is 37°C (98.6°F), pulse is 80/min, respirations are 20/min, and blood pressure is 150/110 mm Hg. Physical examination shows retinal arteriolar spasm and pedal edema. The fundus is midway between the umbilicus and xiphoid. The cervix is 3 cm dilated and 100% effaced; the vertex is at 0 station. Laboratory studies show:
Hemoglobin
12.5 g/dL
Leukocyte count
8000/mm3
Platelet count
200,000/mm3
Serum creatinine
1.2 mg/dL
Urine protein
2+
Which of the following is the most likely complication during labor?
Correct
Incorrect
Question 43 of 50
43. Question
A 32-year-old man is brought to the physician by his wife because of a gradual change in personality during the past 2 years. She describes him as less motivated and more self-centered. During the past year, he has had several angry outbursts that were triggered by minor events. The patient says that he does not believe his personality has changed and that he does not recall these events. He is alert and attentive. On examination, eye movements are full, but saccadic eye movements are noticeably slow. Smooth pursuit and vestibular ocular movements are normal. He has occasional involuntary rapid, jerk-like movements of the trunk and extremities, but he is unaware of these movements. The remainder of the examination shows no abnormalities. Which of the following is the most appropriate next step in diagnosis?
Correct
Incorrect
Question 44 of 50
44. Question
A 12-year-old girl is brought to the physician by her mother because of a 2-month history of increasing, constant, throbbing pain and pressure in the pelvic area. She has no history of serious illness and takes no medications. She has never had a menstrual period. She follows a normal diet and takes gymnastics lessons weekly. She is at the 50th percentile for height, weight, and BMI. Vital signs are within normal limits. Breast and pubic hair development are sexual maturity rating (SMR) stage 3. Examination of the external genitalia shows a bluish bulge of tissue between a normal-appearing urethra and anus. Serum studies show:
Follicle-stimulating hormone
12 mIU/mL
Luteinizing hormone
15 mIU/mL
Estradiol
50 pg/mL (N=30–400)
Prolactin
10 ng/mL
Which of the following is the most likely diagnosis?
Correct
Incorrect
Question 45 of 50
45. Question
A 9-year-old girl is brought to the physician by her father for a well-child examination. He is concerned that she is beginning to develop breasts at an early age. Menarche has not occurred. Her mother’s menarche began at the age of 12 years. The patient is at the 75th percentile for height and 50th percentile for weight. Breast development is sexual maturity rating (SMR) stage 2, and pubic hair development is SMR stage 1. The remainder of the examination shows no abnormalities. Which of the following is the most appropriate next step in management?
Correct
Incorrect
Question 46 of 50
46. Question
A 57-year-old man comes to the physician because of a 1-week history of shortness of breath and swelling of his legs. He says his shortness of breath occurs most frequently when he lies down. During the past month, he has had the sensation of abdominal fullness and pulling and has noticed a progressive increase in his belt size. Five years ago, he received the diagnosis of bleeding esophageal varices and alcoholic cirrhosis. He underwent sclerosis of the varices and has abstained from alcohol since then. His temperature is 36.9°C (98.4°F). The abdomen is moderately tense and nontender with shifting dullness. There is 3+ pitting edema of the lower extremities. Paracentesis is performed. Laboratory studies show:
Serum
Protein, total
2.8 g/dL
Albumin
1.8 g/dL
Peritoneal fluid
Leukocyte count
900/mm3
Segmented neutrophils
67%
Lymphocytes
28%
Protein, total
1.8 g/dL
Albumin
1 g/dL
Which of the following is the most appropriate next step in management?
Correct
Incorrect
Question 47 of 50
47. Question
An asymptomatic 62-year-old man comes for a routine health maintenance examination. Physical examination shows splenomegaly. Laboratory studies show:
Hematocrit
42%
Leukocyte count
46,000/mm3
Segmented neutrophils
35%
Bands
15%
Basophils
1%
Lymphocytes
16%
Monocytes
5%
Myeloblasts
1%
Promyelocytes
2%
Metamyelocytes
13%
Myelocytes
12%
Platelet count
650,000/mm3
Leukocyte alkaline phosphatase activity is decreased. Examination of bone marrow shows many immature white blood cell precursors. Which of the following is the most likely diagnosis?
Correct
Incorrect
Question 48 of 50
48. Question
A 5-year-old boy is brought to the office for a follow-up examination 2 days after he was discharged from the hospital following an episode of pyelonephritis. Medications are cefixime and acetaminophen. He is at the 50th percentile for height and 25th percentile for weight; BMI is at the 10th percentile. Temperature is 37.6°C (99.6°F), pulse is 120/min, respirations are 22/min, and blood pressure is 90/60 mm Hg. Physical examination shows no other abnormalities. Results of laboratory studies from his hospital admission showed a leukocyte count within the reference range and urine positive for leukocyte esterase; urine culture grew Klebsiella pneumoniae susceptible to cephalosporins. Kidney ultrasonography showed mild hydronephrosis. Which of the following is the most appropriate next step in management?
Correct
Incorrect
Question 49 of 50
49. Question
A 16-year-old girl is brought to the emergency department immediately after she collapsed on her way to the bathroom at home. She has anorexia nervosa and has had an 18-kg (40-lb) weight loss during the past 16 months. Menarche was at the age of 11 years, but her last menstrual period was 14 months ago. She does not drink alcohol or use illicit drugs. On arrival, she appears cachectic. She is 165 cm (5 ft 5 in) tall and weighs 36 kg (80 lb); BMI is 13 kg/m2. Her temperature is 36.4°C (97.6°F), pulse is 40/min, respirations are 18/min, and blood pressure is 85/55 mm Hg. Physical examination shows fine hair over the skin. An ECG shows ST-segment depression and an increased U wave. This patient is most likely to have which of the following sets of serum electrolyte findings?
Option
Na⁺ (mEq/L)
K⁺ (mEq/L)
Cl⁻ (mEq/L)
HCO₃⁻ (mEq/L)
A
125
3.2
102
25
B
125
6.8
102
27
C
140
2.3
94
28
D
140
6.8
94
28
E
155
3.2
102
26
Correct
Incorrect
Question 50 of 50
50. Question
A 20-hour-old female newborn was noted to have jaundice 1 hour ago. She was born at term to a 29-year-old woman, gravida 2, para 2, following an uncomplicated pregnancy and spontaneous vaginal delivery. The mother emigrated from Ethiopia 2 years ago. She received routine prenatal care. Examination of the patient shows jaundice to the level of the umbilicus. There is conjunctival icterus. No other abnormalities are noted. The maternal blood group is O, Rh-positive. Results of laboratory studies, including the patient’s blood group, are pending. Which of the following laboratory findings is most likely to be decreased in this patient?
Correct
Incorrect
لا تفوّت فرصتك!
احصل على تجربة مجانية لدورة USMLE
محتوى مختار من المحاضرات، الكتب، بنك الأسئلة مع فيديوهات قصيرة لحل الأسئلة، والفلاش كاردز.