A 42-year-old man is brought to the emergency department by the staff of a homeless shelter after they found him unconscious outside the shelter. He has alcohol use disorder, schizophrenia, hepatitis C, and cirrhosis. He has been treated for hepatic encephalopathy and ascites. On arrival, he is responsive only to painful stimuli. He is 188 cm (6 ft 2 in) tall and weighs 68 kg (150 lb); BMI is 19 kg/m2. Temperature is 37.7°C (99.9°F), pulse is 130/min, respirations are 24/min, and blood pressure is 86/40 mm Hg. Pulse oximetry on room air shows an oxygen saturation of 92%. Examination shows jaundice and conjunctival icterus. There are multiple ecchymoses over all the extremities. Abdominal examination shows ascites and a fluid wave. The patient moans on palpation of the abdomen. There is trace edema of the ankles. All extremities are warm. Urine output has been 60 mL/h during the past 4 hours. In addition to obtaining a complete blood count, serum electrolyte concentrations, and urinalysis, which of the following is most likely to confirm the diagnosis?
Correct
Incorrect
Question 2 of 50
2. Question
A 2-year-old boy is admitted to the intensive care unit through the emergency department 20 minutes after his parents found him at the bottom of the backyard swimming pool. The parents report that when they pulled their son from the pool, he was not breathing and had no pulse. They are unsure of the duration of the submersion. They administered cardiopulmonary resuscitation for 10 minutes until emergency medical technicians arrived. En route to the emergency department, the patient was intubated and mechanically ventilated with 100% oxygen at a rate of 20 breaths per minute, after which his pulse returned at a rate of 150/min. On arrival in the emergency department, vital signs were temperature 36.5°C (97.7°F), pulse 150/min, and blood pressure 100/60 mm Hg. Pulse oximetry on 100% oxygen showed an oxygen saturation of 100%. Now, in the intensive care unit, his vital signs are unchanged. He has spontaneous respirations, and he is reaching for his endotracheal tube. His parents want to know if he will survive. Which of the following factors would most strongly suggest a good prognosis in this patient?
Correct
Incorrect
Question 3 of 50
3. Question
An 18-year-old woman comes to the physician in the fall because of episodes of coughing and wheezing since she moved from the Midwest to New England to attend college 3 weeks ago. The episodes have been occurring several times daily and are associated with a sensation of tightness in her chest. During this period, she has had decreased stamina during exercise. She has had one episode of bronchitis each winter for 3 years. She has no history of serious illness and takes no medications. She does not smoke cigarettes. She is not in respiratory distress. Vital signs are within normal limits. The lungs are clear to auscultation. Spirometry shows no abnormalities. Which of the following is the most appropriate next step in management?
Correct
Incorrect
Question 4 of 50
4. Question
A 44-year-old woman comes to the physician because of a 2-week history of nonproductive cough that worsens at night. She says occasionally she has coughed so hard that she vomited or had loss of urine. Between these episodes, she feels well. She has not had fever, night sweats, shortness of breath, wheezing, chills, weight loss, or cough productive of bloody sputum. She says her symptoms began as a cold with sore throat and runny nose and seemed to improve by the end of the first week, but then she began coughing. Use of over-the-counter cold medicine has not provided relief of her cough. Results of a PPD skin test 1 year ago were negative. The patient has no history of asthma, hypertension, or allergies. She takes no medications. She does not smoke cigarettes. Her three children recently had similar illnesses, but she says their symptoms resolved within 1 week. They attend school, and their vaccinations are up-to-date. The patient volunteers at a homeless shelter twice monthly. Her temperature is 37.2°C (99°F), pulse is 72/min and regular, respirations are 16/min, and blood pressure is 122/76 mm Hg. Pulse oximetry on room air shows an oxygen saturation of 99%. Examination shows no abnormalities. Which of the following is the most appropriate next step in diagnosis?
Correct
Incorrect
Question 5 of 50
5. Question
An 82-year-old woman is brought to the emergency department by her daughter because of shortness of breath. Each night for the past week, the patient has awakened with shortness of breath; she has found that using three pillows instead of one allows her to breathe more easily at night. Two days ago, she had shortness of breath with exertion, and 8 hours ago, she had the sudden onset of mild shortness of breath at rest. She also has a 4-day history of swelling of her ankles and feet. Her only medication is 81-mg aspirin. On arrival, she is in mild respiratory distress but able to speak in complete sentences. Her temperature is 37°C (98.6°F), pulse is 86/min, respirations are 16/min, and blood pressure is 162/88 mm Hg. Examination shows jugular venous distention. Bilateral basilar crackles are heard over the lower quarter of the lung fields. Cardiac examination shows a regular rhythm. A grade 2/6 holosystolic murmur is heard best at the apex with the patient in the left lateral decubitus position. There is 2+ pitting edema of the ankles. In addition to furosemide, administration of which of the following is the most appropriate next step in pharmacotherapy?
Correct
Incorrect
Question 6 of 50
6. Question
A 62-year-old woman is brought to the emergency department by paramedics 30 minutes after the onset of sharp, anterior chest pain. She is otherwise asymptomatic. Administration of nitroglycerin en route to the hospital has not relieved her symptoms. She has type 2 diabetes mellitus, hypertension, and peripheral artery disease. She underwent laparoscopic cholecystectomy 1 year ago. Her medications are insulin, ramipril, hydrochlorothiazide, atorvastatin, and aspirin. Her pulse is 96/min, respirations are 12/min, and blood pressure is 124/76 mm Hg. The lungs are clear to auscultation. A normal S1 and S2 are heard. Peripheral pulses are decreased bilaterally. An ECG shows a left bundle branch block; review of her medical records shows that a routine ECG 1 year ago showed no abnormalities. Her serum troponin I and myoglobin concentrations are within the reference ranges. The patient is admitted to the hospital. Which of the following is the most appropriate next step in diagnosis?
Correct
Incorrect
Question 7 of 50
7. Question
A 52-year-old man is brought to the emergency department because of a 6-hour history of thirst and fatigue and a 2-hour history of light-headedness. He has been working outside during the past 2 days in temperatures reaching 90.0°F. He has no history of serious illness and takes no medications. On arrival, he is lethargic and disoriented. His temperature is 37.2°C (99.0°F), pulse is 150/min and irregular, respirations are 16/min, and blood pressure is 78/50 mm Hg. The lungs are clear to auscultation; no bruits are heard. No murmurs are noted on cardiac examination. The abdomen is nontender. ECG is shown. In addition to administration of 0.9% saline, which of the following is the most appropriate next step in management?
Correct
Incorrect
Question 8 of 50
8. Question
A 27-year-old woman comes to the physician because of a 3-day history of temperatures to 39.4°C (103°F). She has not had any other symptoms. She underwent splenectomy at the age of 17 years because of injuries she sustained in a motor vehicle collision. She has no history of serious illness and takes no medications. Her father died of alcoholic hepatitis and cirrhosis. She is sexually active with multiple partners and does not use condoms. She has smoked one pack of cigarettes daily for 15 years. She occasionally drinks alcohol. She has an 8-year history of frequent crack cocaine use and daily intravenous heroin use. She appears ill. Her temperature is 39.8°C (103.7°F), pulse is 120/min and regular, respirations are 24/min, and blood pressure is 80/60 mm Hg. Examination shows no other abnormalities. Laboratory studies show:
Hematocrit: 33%
Leukocyte count: 21,000/mm³
Segmented neutrophils: 85%
Bands: 9%
Lymphocytes: 6%
Platelet count: 490,000/mm³
Urine:
RBC: 10/hpf
WBC: 2/hpf
Bacteria: negative
Serum studies show no abnormalities. Results of blood cultures are pending. A chest x-ray and transthoracic echocardiography show no abnormalities. Which of the following is the most appropriate initial antibiotic therapy for this patient?
Correct
Incorrect
Question 9 of 50
9. Question
A 62-year-old woman comes to the physician because of a 6-month history of increasingly severe left knee pain and a “giving-way” sensation while walking. The pain occurs in the front of the knee and is exacerbated by walking up stairs or sitting in a car for prolonged periods of time. There is no history of trauma. Five years ago, she underwent a discectomy for herniation of L3-4. She is 158 cm (5 ft 2 in) tall and weighs 113 kg (250 lb); BMI is 46 kg/m2. Examination of the left knee shows no joint effusion. There is tenderness to palpation along the patella. Muscle strength in both lower extremities is 5/5. Sensation to light touch is decreased over the left hallux. Pedal pulses are 2+ bilaterally. Which of the following is the most likely diagnosis?
Correct
Incorrect
Question 10 of 50
10. Question
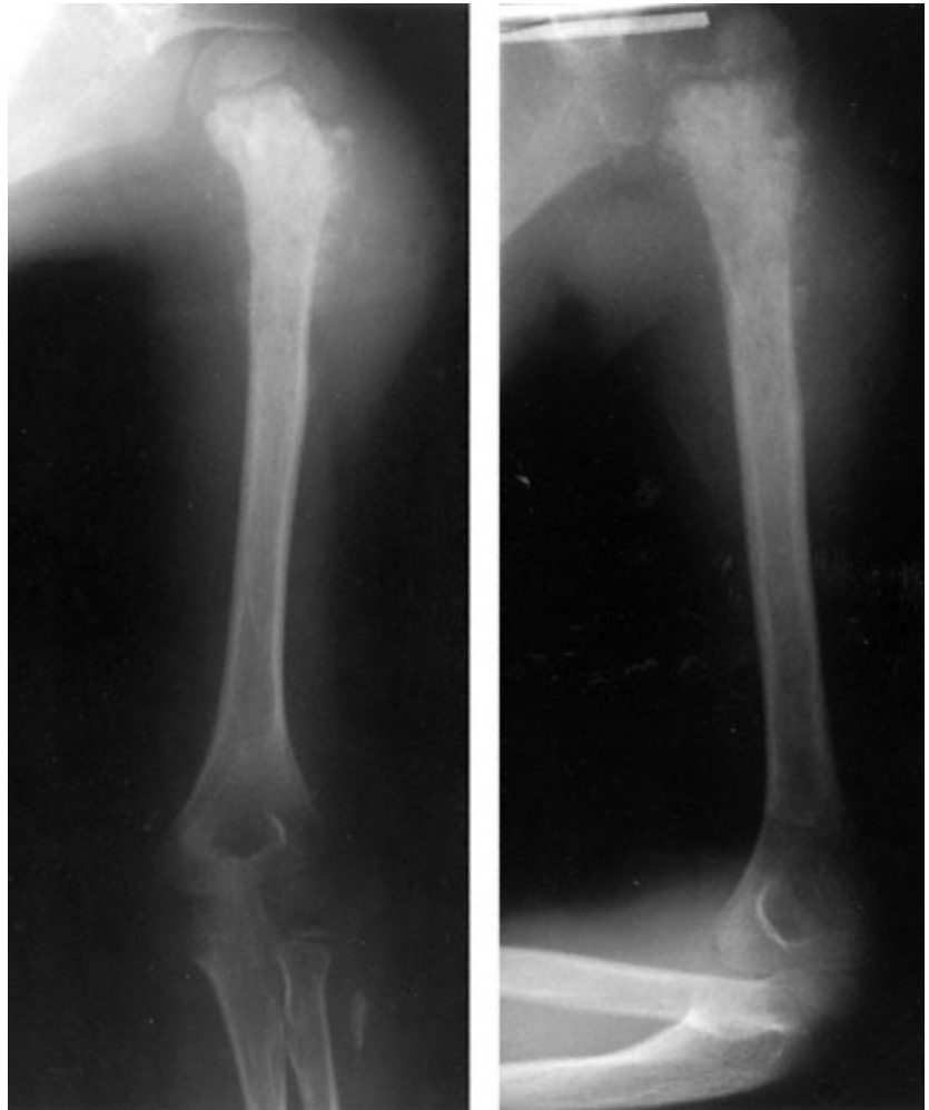
A previously healthy 7-year-old boy is brought to the physician because of a 3-week history of pain in his left shoulder and arm. He has difficulty raising his left arm over his head. The pain is worse with motion and at night; it often awakens him from sleep. Over-the-counter medications have not relieved the pain. There is no history of trauma. Examination of the left shoulder shows diffuse tenderness of the greater tuberosity involving the entire humoral head. Passive range of motion of the left shoulder is limited to 90 degrees of abduction and 70 degrees of forward flexion. Extension and flexion of the left wrist are full. Muscle strength and sensation are intact. Radial pulses are palpable bilaterally. X-rays of the left upper extremity are shown. Which of the following is the most appropriate next step in management?
Correct
Incorrect
Question 11 of 50
11. Question
A 3-year-old girl is brought to the clinic because of a 3-day history of low-grade fever and sore throat. She also has a 12-hour history of rash that began on her hands; the rash is not itchy or painful. She has no history of serious illness and receives no medications. Her temperature is 38.4°C (101.2°F), pulse is 132/min, respirations are 34/min, and blood pressure is 93/48 mm Hg. Examination shows multiple ulcers on the soft palate and posterior aspect of the pharynx. The lungs are clear to auscultation. A grade 2/6 ejection murmur is heard on cardiac examination; S2 varies with inspiration. The abdomen is soft and nontender. The liver edge is palpated 2 cm below the right costal margin. There are multiple vesicles over the palms and digits. A dose of acetaminophen is administered. Which of the following is the most appropriate next step in management?
Correct
Incorrect
Question 12 of 50
12. Question
A 13-year-old girl with neurofibromatosis 2 is brought to the office for a follow-up examination. She feels well. Vital signs are within normal limits. Physical examination shows no abnormalities. In addition to audiometry, which of the following is most appropriate to include in the annual screening of this patient?
Correct
Incorrect
Question 13 of 50
13. Question
A 62-year-old man comes to the physician because he has been “slowing down” during the past 6 months. He has noticed that his gait is slower, he has difficulty rising from a chair, and his handwriting is smaller. He has a history of type 2 diabetes mellitus, insomnia, gastroparesis, hypertension, and hyperlipidemia. Medications are metformin, metoclopramide, lisinopril, atorvastatin, and zolpidem. His blood pressure is 140/80 mm Hg; other vital signs are within normal limits. During the examination, there is decreased facial expression and reduced eye blinking. Tone is increased in the axial and limb muscles. Muscle strength is 5/5 throughout, and deep tendon reflexes are 1+ bilaterally. Sensation to vibration is decreased over the toes bilaterally. His gait is shuffling, and there is decreased arm swing. Which of the following medications is most likely worsening this patient’s neurologic condition?
Correct
Incorrect
Question 14 of 50
14. Question
A 24-year-old woman with sickle cell disease is admitted to the hospital for management of severe abdominal pain and diffuse muscle and bone pain of the arms and legs associated with a sickle cell crisis. Her pain is similar to that of her previous crises. Her medications are acetaminophen-hydrocodone and folic acid supplementation. She appears to be in moderate discomfort. Her temperature is 36.7°C (98.1 °F), pulse is 94/min, respirations are 22/min, and blood pressure is 116/68 mm Hg. The abdomen is diffusely tender; there is no guarding or rebound. The remainder of the examination shows no abnormalities. Her hemoglobin concentration is 6.8 g/dL, and leukocyte count is 14,000/mm3. Pulse oximetry on room air shows an oxygen saturation of 94%. Administration of intravenous fluids and hydromorphone is begun. Which of the following is the most appropriate next step in management?
Correct
Incorrect
Question 15 of 50
15. Question
An asymptomatic 27-year-old man comes to the physician 1 month after he received the diagnosis of HIV infection. He takes no medications. He has been sexually active with multiple male partners. Examination shows no abnormalities. Laboratory studies show:
CD4⁺ T-lymphocyte count: 479/mm³ (Normal ≥ 500)
Serum:
Cytomegalovirus (CMV) antibody: negative
Hepatitis B surface antibody: negative
Hepatitis C antibody: negative
Toxoplasma gondii antibody: negative
Plasma HIV viral load: 2000 copies/mL
Which of the following is the most appropriate pharmacotherapy during the next year?
Correct
Incorrect
Question 16 of 50
16. Question
A 4-year-old girl is brought to the physician because of cough and a 2.3-kg (5-lb) weight loss during the past 2 months. There is no history of serious illness, and she takes no medications. Immunizations are up-to-date. She is at the 50th percentile for height and 25th percentile for weight. Occasional crackles are heard over the right middle lung field. Intradermal skin testing with PPD, tetanus toxoid, and antigens for Candida albicans and Trichophyton tonsurans is nonreactive at 72 hours. Her leukocyte count is 5100/mm3. Nucleic acid hybridization testing of gastric aspirates shows Mycobacterium tuberculosis. Which of the following is the most likely explanation for this patient’s findings?
Correct
Incorrect
Question 17 of 50
17. Question
A 1-year-old boy is brought to the physician 24 hours after the onset of lethargy. He has a 2-day history of fever, vomiting, and decreased appetite. He was recently adopted from Russia. He attends day care five times weekly. His temperature is 39.4°C (103°F). Examination shows neck stiffness and decreased skin turgor. Which of the following vaccines is most likely to have prevented this patient’s condition?
Correct
Incorrect
Question 18 of 50
18. Question
Six hours after undergoing surgical excision of the distal colon for cancer, a 77-year-old man has decreased urine output. His urine output has been 10 mL/h during the past 3 hours. During the 4-hour operation, he lost 500 mL of blood and underwent transfusion of 1 unit of packed red blood cells. His initial postoperative course was uncomplicated. Two years ago, he had a myocardial infarction and underwent coronary artery bypass grafting. He has a 10-year history of hypertension well controlled with atenolol. Current medications include morphine and labetalol. He currently appears pale and diaphoretic. His temperature is 37°C (98.6°F), pulse is 85/min, respirations are 14/min, and blood pressure is 90/60 mm Hg. Pulse oximetry on 2 L/min of oxygen via nasal cannula shows an oxygen saturation of 89%. Cardiopulmonary examination shows no abnormalities. The abdomen is nondistended with mild tenderness over the incision. His hematocrit is 24%, serum sodium concentration is 140 mEq/L, and serum creatinine concentration is 2.1 mg/dL. The patient is switched to administration of 100% oxygen by a nonrebreathing face mask. The most appropriate next step in management is administration of which of the following?
Correct
Incorrect
Question 19 of 50
19. Question
A 47-year-old man has had marked shortness of breath during ambulation and at rest for 24 hours. He has no chest pain. He completed a required course of chemotherapy including doxorubicin for non-Hodgkin lymphoma 4 months ago. His resting pulse has increased from 80/min to 110/min during this period. Echocardiography shows a left ventricular ejection fraction of 40%. An ECG shows sinus tachycardia but is otherwise normal. Which of the following is the most likely explanation for these findings?
Correct
Incorrect
Question 20 of 50
20. Question
A 27-year-old man comes to the physician because of a 4-day history of pain and fullness in his left testicle and a 2-day history of mild pain with urination. He has been sexually active with one female sexual partner for the past 2 years. Examination shows mild left testicular and scrotal tenderness with no redness or edema. Urinalysis shows 3-5 WBC/hpf but no obvious organisms. Which of the following is the most likely causal organism?
Correct
Incorrect
Question 21 of 50
21. Question
A 52-year-old woman with type 2 diabetes mellitus is brought to the emergency department by her family 24 hours after the onset of vomiting. She has not taken any medications during this period and has become confused during the past 4 hours. She has not had fever or any other symptoms. Her diabetes has been complicated by neuropathy, retinopathy, gastroparesis, and nephropathy. Her prescribed medications include short- and intermediate-acting insulin and gabapentin. She also takes aspirin as needed for headache. On arrival, she is oriented to person but not to place or time. Her temperature is 37.2°C (98.9°F), pulse is 110/min, respirations are 16/min, and blood pressure is 112/78 mm Hg. Examination, including neurologic examination, shows no other abnormalities. Laboratory studies show:
Hemoglobin: 14.1 g/dL
Leukocyte count: 14,200/mm³
Segmented neutrophils: 90%
Bands: 4%
Eosinophils: 1%
Lymphocytes: 3%
Monocytes: 2%
Platelet count: 240,000/mm³
Serum
Na⁺: 127 mEq/L
K⁺: 4.2 mEq/L
Cl⁻: 98 mEq/L
HCO₃⁻: 22 mEq/L
Urea nitrogen: 36 mg/dL
Glucose: 890 mg/dL
Creatinine: 2.6 mg/dL
Arterial blood gas analysis on room air
pH: 7.35
PCO₂: 37 mm Hg
PO₂: 100 mm Hg
Which of the following is the most likely cause of this patient’s confusion?
Correct
Incorrect
Question 22 of 50
22. Question
A 37-year-old woman comes to the office because of a 2-week history of episodes of anxiety. The anxiety is accompanied by a rapid heartbeat and light-headedness. Pulse is 130/min, and blood pressure is 100/50 mm Hg. Physical examination shows a bilateral hand tremor. Which of the following is the most appropriate next step in management?
Correct
Incorrect
Question 23 of 50
23. Question
A 57-year-old woman comes to the physician because of vaginal bleeding for 10 days. Her last menstrual period was 9 years ago. She is not receiving hormone replacement therapy. She is 170 cm (5 ft 7 in) tall and weighs 85 kg (188 lb); BMI is 29 kg/m2. Examination shows no other abnormalities. Transvaginal ultrasonography shows a 2.5-cm subserosal leiomyoma uteri and an 18-mm endometrium. There are no ovarian abnormalities. Which of the following is the most appropriate next step in management?
Correct
Incorrect
Question 24 of 50
24. Question
A 32-year-old primigravid woman at 16 weeks’ gestation is brought to the emergency department 30 minutes after the onset of heavy vaginal bleeding, palpitations, and moderate headache. Her temperature is 37°C (98.6°F), pulse is 110/min, respirations are 18/min, and blood pressure is 150/100 mm Hg. She appears flushed and anxious. The uterus is consistent in size with a 20-week gestation. No fetal heart tones are heard. Urinalysis shows 2+ protein. Ultrasonography shows a uterus with a cystic appearance and 10-cm, cystic adnexal masses bilaterally. Which of the following is the most appropriate next step in management?
Correct
Incorrect
Question 25 of 50
25. Question
Twelve hours after delivery, a newborn is cyanotic and in respiratory distress. He was born at term to a 27-year-old woman, gravida 2, para 1, following an uncomplicated pregnancy; he weighed 3317 g (7 lb 5 oz). Delivery was complicated by meconium aspiration, and the trachea was suctioned at birth. Apgar scores were 3, 5, and 8 at 1, 5, and 10 minutes, respectively. His temperature is 37.2°C (99°F), pulse is 170/min, respirations are 70/min, and blood pressure is 70/50 mm Hg. Examination shows labored breathing with grunting, nasal flaring, and subcostal and intercostal retractions. The lungs are clear to auscultation. A loud S2 is heard. An x-ray of the chest shows small scattered infiltrates in the lung fields and a normal cardiac silhouette. An ECG shows no abnormalities. Which of the following is the most likely explanation for this patient’s respiratory distress?
Correct
Incorrect
Question 26 of 50
26. Question
A 62-year-old man with a 6-month history of poorly controlled hypertension comes to the office for a follow-up examination. His blood pressure measurements 1 year ago averaged 140/90 mm Hg; at that time, he was treated with hydrochlorothiazide. He is now taking the maximum doses of enalapril, metoprolol, and hydrochlorothiazide. He also has peripheral vascular disease. His blood pressure today is 170/110 mm Hg. Examination shows narrowing of the retinal arterioles. The lungs are clear to auscultation. Cardiac examination shows an S4at the lower left sternal border. The abdomen is nontender, and a systolic bruit is heard just to the right of the umbilicus. The dorsalis pedis and posterior tibialis pulses are absent bilaterally; there is no lower extremity edema. Laboratory studies show:
Serum
K⁺: 3.6 mEq/L
Urea nitrogen: 25 mg/dL
Creatinine: 1.1 mg/dL
Urine
Protein: 1+
RBC: none
WBC: none
Which of the following is the most appropriate next step in management?
Correct
Incorrect
Question 27 of 50
27. Question
A 4-year-old boy is brought to the emergency department by his parents because of a 2-day history of increasingly severe pain in his right leg with an associated limp. He has not fallen or sustained any trauma. One week ago, he was treated with amoxicillin for a middle ear infection. He has no history of serious illness and currently takes no medications. He is at the 50th percentile for height and weight. Vital signs are within normal limits. On examination, the patient holds the right hip flexed and externally rotated. Passive range of motion of the right hip is limited by pain. An x-ray of the right hip shows no abnormalities. Which of the following is the most appropriate next step in diagnosis?
Correct
Incorrect
Question 28 of 50
28. Question
A 52-year-old man is brought to the physician because of a 2-day history of pain at the base of his scrotum, fever, and confusion. He has type 2 diabetes mellitus poorly controlled with insulin. He has no other history of serious illness. He appears lethargic. He is oriented to person but not to place or time. His temperature is 39.2°C (102.6°F), pulse is 120/min, and blood pressure is 118/78 mm Hg. Examination of the scrotum shows several bullae over the scrotum and crepitus of the perineum. The scrotum is edematous and tender. The remainder of the examination shows no abnormalities. His leukocyte count is 16,000/mm3 with a left shift, and serum glucose concentration is 415 mg/dl_. In addition to insulin and antibiotic therapy, which of the following is the most appropriate next step in management?
Correct
Incorrect
Question 29 of 50
29. Question
A 43-year-old woman comes to the office because of a 10-year history of enlarging, painless growths on her eyelids. She also has a 1-year history of mild fatigue and occasional bilateral knee pain. She has no history of serious illness and takes no medications. Vital signs are within normal limits. A photograph of the eyelids is shown. The remainder of the examination shows no abnormalities. Which of the following is most likely to confirm the diagnosis?
Correct
Incorrect
Question 30 of 50
30. Question
An otherwise healthy 42-year-old woman comes to the physician because her left eye has been red since she awoke 4 hours ago. She has had no changes in her vision and cannot recall any trauma. She takes no medications. Her blood pressure is 110/70 mm Hg. A photograph of the left eye is shown. Her visual acuity is 20/20 in both eyes. Pupils are equal and reactive to light. Ocular movements are full. Visual field testing shows no abnormalities. Which of the following is the most appropriate next step in management?
Correct
Incorrect
Question 31 of 50
31. Question
A 42-year-old woman comes to the physician because she has been feeling sad and hopeless for the past 2 weeks. She reports having mood swings several times daily and crying suddenly for no reason. She has had difficulty motivating herself and can work no more than 4 hours daily as a retail salesperson before becoming tired. She has been wondering if her condition is hopeless and if she will ever feel better. One month ago, she had sinusitis that was treated with amoxicillin. At the end of treatment 3 weeks ago, weakness in her right arm developed that was attributed to a postinfectious autoimmune neuropathy. Since then, she has been receiving prednisone therapy. She has no other history of serious medical or psychiatric illness. Vital signs are within normal limits. Physical examination shows no abnormalities. Muscle strength is normal in all extremities. On mental status examination, she is alert and oriented. She has a sad mood and is on the verge of crying several times. Which of the following is the most appropriate next step in management?
Correct
Incorrect
Question 32 of 50
32. Question
A 32-year-old woman is brought to the emergency department 1 hour after an episode of palpitations, sweating, and shortness of breath. The episode occurred while she was at her job working as an administrative assistant. She thought that she was having a heart attack. She reports that her company recently underwent a reorganization, and she has been under increased stress. This is her fourth visit to the emergency department during the past 3 weeks for similar symptoms. At each previous visit, physical examination and laboratory studies showed no abnormalities. Today, her pulse is 88/min, respirations are 17/min, and blood pressure is 130/70 mm Hg. Physical examination shows no abnormalities. On mental status examination, she is tense and fearful. She has a linear thought process. There is no evidence of hallucinations or delusions. Serum cardiac enzyme activity is within the reference range. Her hematocrit is 39%. Pulse oximetry on room air shows an oxygen saturation of 99%. An ECG shows sinus arrhythmia. Which of the following is the most likely diagnosis?
Correct
Incorrect
Question 33 of 50
33. Question
A 37-year-old man is brought to the emergency department by a coworker 30 minutes after the sudden onset of moderately severe chest pain. His coworker reports that he has become increasingly irritable over the past week. He has no history of diabetes mellitus, coronary artery disease, hyperthyroidism, mood disorder, or intravenous drug abuse. He takes no medications. He is physically fit and exercises regularly. His temperature is 37°C (98.6°F), pulse is 110/min, respirations are 18/min, and blood pressure is 160/100 mm Hg. Physical examination shows diaphoresis. He is alert, oriented, hypervigilant, and irritable. His speech is rapid and pressured. He frequently yells at staff to keep away from him because he believes they are trying to kill him. An ECG shows ST-segment elevation across the precordium. Which of the following is the most likely diagnosis?
Correct
Incorrect
Question 34 of 50
34. Question
A previously healthy 18-year-old woman comes to the physician because of a lump in her neck that she first noticed 1 month ago. She is otherwise asymptomatic. Examination shows a 3-cm left supraclavicular lymph node that is firm and rubbery. The spleen is palpated 3 cm below the left costal margin. The remainder of the examination shows no abnormalities. Laboratory studies are most likely to show which of the following?
Correct
Incorrect
Question 35 of 50
35. Question
Investigators would like to assess the effectiveness of a new drug for the treatment of bacterial meningitis in humans. Previous studies have shown that the drug is effective in treating the disease in laboratory animals. The investigators design a study protocol that includes randomization of participants to an experimental group and a control group. Which of the following is the primary consideration regarding use of placebo for the control group?
Correct
Incorrect
Question 36 of 50
36. Question
A study is planned to compare the efficacy of two sedatives in all children who are receiving mechanical ventilation for respiratory failure in a pediatric intensive care unit. Which of the following is most likely to invalidate the results of the study?
Correct
Incorrect
Question 37 of 50
37. Question
A study is conducted to determine if a hemoglobin A1c greater than 15% predicts diabetic retinopathy. Results show that 88% of all patients with diabetic retinopathy had a hemoglobin A1c greater than 15%. Which of the following is the most accurate interpretation of these results?
Correct
Incorrect
Question 38 of 50
38. Question
A study is conducted to assess the relationship between cigarette smoking and the development of lung cancer. One thousand participants who smoke cigarettes and 1000 participants who do not smoke are observed for 15 years. The results show:
Group
Lung Cancer Present
Lung Cancer Absent
Total
Cigarette Smokers
30
970
1000
Nonsmokers
3
997
1000
Total
33
1967
2000
Based on these results, which of the following best approximates the attributable risk of cigarette smoking on the development of lung cancer?
Correct
Incorrect
Question 39 of 50
39. Question
An asymptomatic 27-year-old man comes to the physician for a routine health maintenance examination. He has a history of inguinal hernia repair during childhood. He takes no medications. His father died at the age of 42 years of an aortic root dissection, and his paternal grandmother died suddenly at the age of 46 years of unknown causes. He is 188 cm (6 ft 2 in) tall and weighs 85 kg (187 lb); BMI is 24 kg/m2. His pulse is 76/min and regular, respirations are 12/min, and blood pressure is 130/70 mm Hg. Examination shows a high narrow palate, mild scoliosis, and a pectus excavatum deformity of the chest. His arm span is 196 cm (6 ft 5 in). The joints of the upper and lower extremities are hyperextensible bilaterally. The feet are flat. In addition to echocardiography, which of the following is the most appropriate next step in evaluation?
Correct
Incorrect
Question 40 of 50
40. Question
A 37-year-old man is brought to the emergency department 30 minutes after losing consciousness immediately following a scuba diving session. According to another diver, the patient had a normal descent into the water but shortly after seemed confused and made a rapid ascent. The patient uses high-quality scuba diving equipment and has experience in the sport. He has hypertension controlled with diet and exercise. He does not smoke cigarettes or drink alcohol. The patient is unresponsive to voice and minimally responsive to sternal rub. His temperature is 35°C (95°F), pulse is 100/min, respirations are 20/min, and blood pressure is 100/70 mm Hg. Pulse oximetry on room air shows an oxygen saturation of 80%. The skin is cyanotic, and the tongue is pale. Scattered crackles are heard bilaterally. Cardiac examination shows no abnormalities. Which of the following is the most likely diagnosis?
Correct
Incorrect
Question 41 of 50
41. Question
A 24-year-old nulligravid college student comes to the emergency department because of a 20-day history of intermittent heavy vaginal bleeding with passage of clots. During this time, she also has had fatigue and light-headedness with no visual changes or headaches. She has no history of easy bruisability. Menarche was at the age of 12 years. During the past 3 years, menses have occurred at irregular 45- to 70-day intervals and last 5 to 7 days. Menses previously occurred at regular 28- to 30-day intervals and lasted 3 to 5 days. She is not sexually active. Her temperature is 37.4°C (99.3°F), pulse is 96/min, respirations are 20/min, and blood pressure is 115/60 mm Hg. Physical examination, including pelvic examination, shows no petechiae or other abnormalities. Her hemoglobin concentration is 8.7 g/dL, and hematocrit is 28%. Which of the following is the most likely cause of this patient’s heavy menses?
Correct
Incorrect
Question 42 of 50
42. Question
One day after uncomplicated spontaneous vaginal delivery of a healthy newborn at term, a 17-year-old patient, gravida 1, para 1, has severe right nipple pain when attempting to breast-feed. She has no history of serious illness, and her only medication is a prenatal vitamin. She is crying and frustrated. Examination of the right nipple shows erythema and no discharge. Examination of the left nipple shows no abnormalities. Which of the following is the most appropriate recommendation for this patient?
Correct
Incorrect
Question 43 of 50
43. Question
A 28-year-old woman, gravida 2, para 1, at 12 weeks’ gestation comes to the office for her first prenatal visit. She feels well, and pregnancy has been uncomplicated. Her first pregnancy ended in cesarean delivery at 41 weeks’ gestation because of an active herpes simplex lesion. The newborn weighed 4763 g (10 lb 8 oz) at birth; growth and development have been appropriate for age. The patient has no other history of serious illness and takes no medications. She has a brother and father with type 2 diabetes mellitus. She is 157 cm (5 ft 2 in) tall. She weighed 86 kg (190 lb) prior to pregnancy; BMI was 35 kg/m2. She has had a 4.5-kg (10-lb) weight gain during this pregnancy. Vital signs are within normal limits. Examination shows a uterus consistent in size with a 12-week gestation. Pelvic ultrasonography confirms gestational age. Which of the following is the most appropriate screening test for this patient at this visit?
Correct
Incorrect
Question 44 of 50
44. Question
A 32-year-old woman, gravida 2, para 1, at 18 weeks’ gestation comes to the office for a routine prenatal visit. She has no history of operative procedures, and pregnancy has been uncomplicated. She has hypothyroidism and asthma. Her medications are levothyroxine, fluticasone, and a prenatal vitamin. Immunizations are up-to-date. Her first pregnancy was uncomplicated and ended in spontaneous vaginal delivery at term 3 years ago. She is married and works as an international airline pilot. Recently, she has made frequent trips to South America and the Pacific Islands for work. Fetal heart rate is 125/min. Examination shows a uterus consistent in size with an 18-week gestation. Fetal anatomic survey shows microcephaly and a clubbed foot. Which of the following is the most appropriate next step in pharmacotherapy?
Correct
Incorrect
Question 45 of 50
45. Question
A 52-year-old woman, gravida 2, para 2, comes to the physician because of increasingly frequent loss of urine during the past 2 years. She often feels an overwhelming urge to void and completely saturates an absorbent pad before reaching the bathroom. The loss of urine occurs most frequently when she steps out of her car. She also awakens three to four times nightly to void. She has not had any loss of urine with coughing or sneezing. She has hypertension treated with a diuretic. Vital signs are within normal limits. Abdominal examination shows no abnormalities. The external genitalia, vagina, and cervix appear normal. The uterus and adnexa are normal to palpation. There is no loss of urine with Valsalva maneuver or with coughing. Her postvoid residual volume is 50 mL. Urinalysis shows no abnormalities. Which of the following is the most likely diagnosis?
Correct
Incorrect
Question 46 of 50
46. Question
Four days after admission to the hospital for management of cellulitis of the right lower extremity, a 70-year-old woman has an increased serum creatinine concentration. She has type 2 diabetes mellitus. Her medications are glipizide and a multivitamin; she also has received intravenous nafcillin since admission. She is retired from the military. Vital signs are within normal limits. Examination of the trunk shows no abnormalities. There is edema, erythema, and warmth of the right lower extremity. Examination of the left lower extremity shows no abnormalities. On admission, her serum creatinine concentration was 0.9 mg/dl_. Today, laboratory studies show:
Hemoglobin: 11 g/dL
Hemoglobin A1c: 7.5%
Leukocyte count: 15,000/mm³
Segmented neutrophils: 75%
Bands: 1%
Eosinophils: 8%
Lymphocytes: 14%
Monocytes: 2%
Serum:
Potassium (K⁺): 5 mEq/L
Urea nitrogen: 60 mg/dL
Creatinine: 2.3 mg/dL
Phosphorus: 4.3 mg/dL
Albumin: 2 g/dL
Cholesterol: 250 mg/dL
Urine:
pH: 6.00
Protein: trace
Red blood cells (RBC): 10/hpf
White blood cells (WBC): 20–50/hpf
RBC casts: 0/lpf
WBC casts: 0/lpf
Serum complement concentrations are within the reference ranges. Which of the following is the most appropriate next step in management?
Correct
Incorrect
Question 47 of 50
47. Question
A 52-year-old woman comes to the emergency department because of a 5-day history of continuous abdominal pain, nausea, and decreased appetite. Nine days ago, she underwent an elective laparoscopic cholecystectomy for symptomatic cholelithiasis. She was discharged from the hospital 7 days ago. Her temperature is 38.2°C (100.8°F), pulse is 108/min, respirations are 20/min, and blood pressure is 102/64 mm Hg. Examination shows jaundice. Abdominal examination shows right upper quadrant tenderness. Bowel sounds are present throughout all quadrants. Laboratory studies show:
Hemoglobin: 12.2 g/dL
Hematocrit: 36%
Leukocyte count: 17,200/mm³
Serum:
Urea nitrogen: 48 mg/dL
Glucose: 186 mg/dL
Creatinine: 1.5 mg/dL
Total bilirubin: 7.2 mg/dL
Alkaline phosphatase: 251 U/L
AST: 84 U/L
Ultrasonography of the abdomen shows no fluid collections. Which of the following is the most appropriate next step in diagnosis?
Correct
Incorrect
Question 48 of 50
48. Question
A 72-year-old woman comes to the emergency department because of a 3-day history of bright red rectal bleeding. She also has had moderate left-sided lower abdominal cramps that decrease in intensity shortly after the passage of bloody stools. She has no history of similar symptoms. A colonoscopy at the age of 65 years showed mild diverticular disease and no polyps or cancers. She has coronary artery disease and cardiomyopathy with a left ventricular ejection fraction of 15%. Her medications are an ACE inhibitor, a (3-adrenergic blocking agent, oral nitrates, a statin, an aldosterone receptor antagonist, and a loop diuretic. The dose of the loop diuretic was increased 10 days ago during a routine examination because of volume overload. She appears healthy and is not in acute distress. Her temperature is 37°C (98.6°F), pulse is 100/min, respirations are 20/min, and blood pressure is 90/65 mm Hg. There is no jugular venous distention with the patient lying at a 45-degree angle. The lungs are clear to auscultation. Cardiovascular examination shows a displaced point of maximal impulse and a soft S3 gallop. Abdominal examination shows tenderness to deep palpation in the left lower quadrant with minimal guarding; there is no rebound. Bowel sounds are normal. The liver cannot be palpated. Rectal examination shows scant stool with a small amount of blood on the examination glove. There is no edema of the lower extremities. Which of the following is the most likely diagnosis?
Correct
Incorrect
Question 49 of 50
49. Question
A 47-year-old man comes to the physician for a routine health maintenance examination. He feels well. He has no history of serious illness and takes no medications. His mother was diagnosed with breast cancer at the age of 60 years; his father has hypertension and hyperlipidemia; and his maternal grandmother was diagnosed with colon cancer at the age of 47 years. The patient has smoked one-half pack of cigarettes daily for 25 years and drinks three to four beers on weekends. He does not use illicit drugs. He is 183 cm (6 ft) tall and weighs 90 kg (199 lb); BMI is 27 kg/m2. His pulse is 70/min, and blood pressure is 120/85 mm Hg. Examination shows no abnormalities. Which of the following is the most appropriate recommendation for this patient regarding colon cancer screening?
Correct
Incorrect
Question 50 of 50
50. Question
A 26-year-old woman is admitted to the hospital because of a 3-month history of abdominal cramps, painful bowel movements, and worsening bloody diarrhea. During this time, she also has had fecal urgency and says she occasionally passes only mucus with some blood. She has had a 4.5-kg (10-lb) weight loss during the past month despite no change in appetite. She has not had nausea or vomiting. She has no history of serious illness and takes no medications. She is 170 cm (5 ft 7 in) tall and weighs 57 kg (125 lb); BMI is 20 kg/m2. Her temperature is 37.8°C (100°F), pulse is 80/min, respirations are 16/min, and blood pressure is 112/68 mm Hg. Cardiopulmonary examination shows no abnormalities. Abdominal examination shows mild, diffuse tenderness; no masses are palpated. Bowel sounds are normal. There is no hepatosplenomegaly. Rectal examination produces pain; there are streaks of blood on the physician’s gloved finger. Laboratory studies show:
Hemoglobin: 9.5 g/dL
Hematocrit: 29%
Mean corpuscular volume (MCV): 75 µm³
Leukocyte count: 9,700/mm³
Erythrocyte sedimentation rate (ESR): 65 mm/h
Serum:
Total protein: 6.3 g/dL
Albumin: 3.5 g/dL
Ferritin: <10 ng/mL
C-reactive protein (CRP): 3.5 mg/L (Normal: 0.08–3.1)
Test of the stool for Clostridium difficile toxin is negative. A stool culture is negative. Colonoscopy shows continuous mucosal inflammation and ulceration from the rectum through the transverse colon. Which of the following is the most appropriate next step in management?
Correct
Incorrect
لا تفوّت فرصتك!
احصل على تجربة مجانية لدورة USMLE
محتوى مختار من المحاضرات، الكتب، بنك الأسئلة مع فيديوهات قصيرة لحل الأسئلة، والفلاش كاردز.