Would you like to submit your quiz result to the leaderboard?
Loading
1
2
3
4
5
6
7
8
9
10
11
12
13
14
15
16
17
18
19
20
21
22
23
24
25
26
27
28
29
30
31
32
33
34
35
36
37
38
39
40
41
42
43
44
45
46
47
48
49
50
Current
Review
Answered
Correct
Incorrect
Question 1 of 50
1. Question
An otherwise healthy 11 -year-old girl is brought to the physician by her mother because of a 3-month history of right breast tenderness. She is at the 50th percentile for height and weight. Breast development is Tanner stage 1 on the left and Tanner stage 2 on the right. The left breast is flat and nontender, and the right breast is slightly raised, enlarged, and tender; there is no nipple discharge. There is no axillary or pubic hair. Pelvic examination shows normal-appearing external genitalia. Which of the following is the most appropriate next step in management?
Correct
Incorrect
Question 2 of 50
2. Question
A 13-year-old girl is brought to the physician by her mother because of a 10-day history of vaginal spotting. This is her first episode of vaginal bleeding. She has never been sexually active. She has mild asthma treated with an inhaled β-adrenergic agonist as needed. She is at the 75th percentile for height and 80th percentile for weight and BMI. Breast and pubic hair development are Tanner stage 4. The external genitalia are normal. The remainder of the examination shows no abnormalities. Which of the following is the most appropriate next step in management?
Correct
Incorrect
Question 3 of 50
3. Question
A 7-month-old boy is brought to the physician because of a 4-day history of persistent fever. He was born at term following an uncomplicated pregnancy and delivery; there was prolonged bleeding following circumcision. At the age of 3 months, he developed eczema over the face and elbows that now involves the entire body. He has also had frequent episodes of thrush and otitis media and was recently discharged following treatment of pneumococcal bacteremia. His current temperature is 38.5°C (101.3°F), pulse is 120/min, and respirations are 32/min. Examination shows a diffuse eczematoid rash with areas of purulent drainage. Cervical lymph nodes are movable and range in size from 1.5 to 2 cm. There are white plaques over the oral cavity. The liver edge and spleen tip are palpated 2 cm below the costal margin. Laboratory studies show:
Hemoglobin: 10 g/dL
Leukocyte count: 5000/mm³
Segmented neutrophils: 60%
Lymphocytes: 30%
Monocytes: 10%
Platelet count: 35,000/mm³
Serum:
IgA: 100 mg/dL
IgG: 400 mg/dL
IgM: 15 mg/dL
IgE: 60 IU/mL
Which of the following is the most likely diagnosis?
Correct
Incorrect
Question 4 of 50
4. Question
A 59-year-old woman with a 5-year history of ulcerative colitis comes to the office to discuss pharmacotherapy options. Her condition has been progressively less responsive to oral prednisone therapy. She also has Ehlers-Danlos syndrome and asthma. Other medications are mesalamine, albuterol, and tiotropium. The patient is allergic to sulfonamide drugs. She appears pale and has cushingoid facies; she is not in acute distress. Temperature is 36.9°C (98.4°F), pulse is 90/min, respirations are 16/min, and blood pressure is 110/60 mm Hg. Lungs are clear to auscultation. Cardiac examination discloses a grade 2/6 systolic ejection murmur heard best at the upper left sternal border; the murmur does not radiate. Abdomen is mildly distended and tender to palpation. There is 1+ edema of the lower extremities. Results of laboratory studies are shown:
Blood:
Hematocrit: 36%
Hemoglobin: 11.0 g/dL
WBC: 13,000/mm³
Neutrophils (segmented): 60%
Eosinophils: 1%
Lymphocytes: 36%
Monocytes: 2%
Basophils: 1%
Platelet count: 197,000/mm³
The most appropriate pharmacotherapy for the patient is being considered. Which of the following is most appropriate for this patient to undergo before beginning this medication?
Correct
Incorrect
Question 5 of 50
5. Question
A 27-year-old man with sickle cell disease is admitted to the hospital because of a 2-day history of increasingly severe pain in his shoulders, back, and shins. During the past 6 months, he has been hospitalized three times for treatment of painful crises unresponsive to outpatient therapy with hydrocodone. His temperature is 37.2°C (99°F), pulse is 90/min, respirations are 18/min, and blood pressure is 108/52 mm Hg. The lungs are clear to auscultation. Examination shows tenderness over the shoulders, back, and shins. His hematocrit is 30%, and reticulocyte count is 11%. In addition to pain control, which of the following is the most appropriate next step in management?
Correct
Incorrect
Question 6 of 50
6. Question
A 72-year-old man comes to the emergency department because he has vomited blood three times during the past 12 hours. He has had dizziness during this period. He has a 5-year history of arthritis treated with daily ibuprofen. Over the past 4 weeks, he has increased his daily dose of ibuprofen because of worsening joint pain but is not sure how many pills he has been taking. He has been unable to take his daily walks because of the joint pain. He has not had chest pain. He had an uncomplicated myocardial infarction 10 years ago. He appears pale. His temperature is 37.5°C (99.5°F), pulse is 110/min, respirations are 24/min, and blood pressure is 90/60 mm Hg. Examination shows dried blood near the mouth. The lungs are clear to auscultation. Heart sounds are normal. The stool is black, and test for occult blood is positive. His hematocrit is 22%, and platelet count is 215,000/mm3. Upper endoscopy shows hemorrhagic gastritis with no active site of bleeding. Thirty minutes after fluid resuscitation with crystalloid solution and transfusion of 4 units of crossmatched packed red blood cells, the patient has shortness of breath. Diffuse rhonchi and crackles are heard bilaterally. Which of the following is the most likely cause of the dyspnea?
Correct
Incorrect
Question 7 of 50
7. Question
Six hours after admission to the hospital for management of a seizure secondary to hyponatremia, a 53-year-old man with schizophrenia is found to have iron deficiency anemia. He says he has been drinking 1 gallon of water daily during the past 2 months. He is receiving haloperidol in the hospital. Physical examination shows no abnormalities. His fluid balance has normalized. His psychosis has improved, and he consents to colonoscopy, which shows a large tumor in the ascending colon. When the physician mentions cancer, the patient immediately says, “I don’t have cancer; I stopped drinking a lot of water after I was admitted to the hospital.” Which of the following is the most likely explanation for this patient’s response?
Correct
Incorrect
Question 8 of 50
8. Question
A 25-year-old woman comes to the physician because of a 6-month history of itching over her arms that has become worse during the past 2 months. She attributes the itching to small worms, which she reports having seen appear from under her skin intermittently. On several occasions, she has “dug them out” with a clean needle. She has brought a small box containing samples of her dry skin and debris. She reports no history of depressed mood or auditory hallucinations. There is no personal or family history of serious illness. The patient takes no medications and does not use illicit drugs. Vital signs are within normal limits. Physical examination shows mildly inflamed lesions over the upper extremities with scabbing and excoriations. Examination of the samples she provides shows skin, scabs, and cotton fibers. On mental status examination, she has an anxious mood and constricted affect. Her speech is normal in rate and tone, and her thought processes are organized and coherent. She insists that she has parasites in her skin. Which of the following is the most likely diagnosis?
Correct
Incorrect
Question 9 of 50
9. Question
A 15-year-old boy is brought to the physician by his parents for an examination prior to participating on the school basketball team. Five weeks ago, he had a 1-week history of fever, sore throat, and diffuse muscle aches. Since then, he has had decreased energy and needs at least 10 hours of sleep every night. While the patient’s parents are out of the room, the patient states that he does not want to play basketball, but his parents are forcing him to join the team. He is an honor student but failed an examination last week. He does not drink alcohol, but he smokes marijuana occasionally; he does not use any other illicit drugs. He has been sad and angry since his girlfriend broke up with him 3 weeks ago after she told him that he was “too moody and not fun to be around anymore.” His pulse is 88/min, and blood pressure is 120/72 mm Hg. Physical examination shows no abnormalities. On mental status examination, he has a sad mood and a full range of affect. Which of the following is the most appropriate next step in management?
Correct
Incorrect
Question 10 of 50
10. Question
A 16-year-old boy is brought to the emergency department by his mother 30 minutes after a 4-minute episode of generalized shaking of his body. One hour ago, the patient’s friend brought him home after a party, at which time, the patient exhibited unusual behavior and said he was a superhero with the ability to fly. The patient subsequently became unresponsive and the episode began. The friend reports that he saw the patient “smoke weed” at the party 2 hours before the episode. On arrival, the patient is diaphoretic and difficult to arouse. His temperature is 37.0°C (98.6°F), pulse is 120/min, respirations are 24/min, and blood pressure is 135/95 mm Hg. Pulse oximetry on room air shows an oxygen saturation of 99%. The pupils are 6 mm and sluggishly reactive to light. There is horizontal nystagmus. Use of which of the following substances is the most likely cause of this patient’s symptoms?
Correct
Incorrect
Question 11 of 50
11. Question
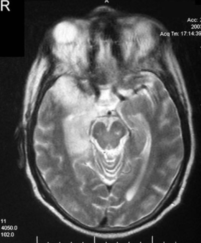
A 38-year-old woman is brought to the emergency department by her husband 30 minutes after she sustained a generalized tonic-clonic seizure. Her husband reports that she has had worsening headache during the past 2 days and had the gradual onset of confusion 1 hour prior to the seizure. The patient has no history of serious illness. Her only medication is an oral contraceptive. She has smoked one pack of cigarettes daily for 20 years. On arrival, she is sleepy but arousable. Her temperature is 37.8°C (100°F). Physical examination shows no abnormalities. On mental status examination, she is oriented to person but not to place or time. She is distractible and recalls zero of three objects after 5 minutes. A T2-weighted MRI of the brain is shown. Which of the following is the most appropriate next step in diagnosis?
Correct
Incorrect
Question 12 of 50
12. Question
A 54-year-old woman is brought to the emergency department because she was unable to move her right side or speak when she awoke this morning. Her husband reports that he found her in bed with these symptoms 25 minutes ago, when he returned home from working an overnight shift. He says she understood what he was saying to her but was unable to respond. He says she felt well the night before. He adds that she fainted three times during the past 2 years. She has no history of serious illness and takes no medications. She appears to be in distress. She seems to understand what is said to her but is unable to respond. She is 165 cm (5 ft 5 in) tall and weighs 82 kg (180 lb); BMI is 30 kg/m2. Her temperature is 36.4°C (97.5°F), pulse is 80/min and regular, respirations are 12/min, and blood pressure is 142/89 mm Hg. Examination shows weakness of the right lower aspect of the face. Muscle strength is 3/5 in the right extremities. Babinski sign is present on the right. The remainder of the examination shows no abnormalities. MRI of the brain shows an infarct in the anterior branches of the left middle cerebral artery. Which of the following is the most appropriate pharmacotherapy?
Correct
Incorrect
Question 13 of 50
13. Question
A previously healthy 47-year-old man comes to the emergency department because he has been unable to close his right eye during the past 4 hours. He noticed the problem while shaving this morning. During breakfast, he had difficulty closing his mouth to chew and could not taste his food. His temperature is 37.2°C (99°F), pulse is 84/min, respirations are 16/min, and blood pressure is 132/80 mm Hg. Examination of the face shows a loss of the right labial fold. There is no movement of the right side of the mouth when the patient is asked to smile, and he is unable to wrinkle the forehead on the right. The remainder of the examination shows no abnormalities. Which of the following is the most appropriate next step in diagnosis?
Correct
Incorrect
Question 14 of 50
14. Question
A 32-year-old woman is brought to the emergency department because of a 1-day history of worsening confusion. Two months ago, she underwent successful gastric bypass for morbid obesity, but she has not adhered to her physician’s instructions for health maintenance since she was discharged from the hospital. She has been taking no regular medications or supplements and has not followed the recommended diet. She has smoked one pack of cigarettes daily for 15 years, and she drinks two glasses of wine daily. On arrival, she is oriented to person but not to place or time. Vital signs are within normal limits. Examination shows disconjugate gaze and marked nystagmus. Muscle strength is normal bilaterally. She cannot stand with her feet together; she stands unsteadily with her feet 12 inches apart. Mental status examination shows moderately impaired attention. She is admitted to the hospital, and medical and physical therapy are begun. Her condition improves, and she is reexamined 1 week later in preparation for discharge home. The patient agrees to take all necessary medications and follow the recommended diet. Which of the following is the most appropriate next step to prevent future similar episodes in this patient?
Correct
Incorrect
Question 15 of 50
15. Question
An 8-year-old girl is brought to the emergency department by her father because of swelling of the right side of her neck. The father first noticed a small lump on her neck last week and says it seems larger today; it also has become discolored and now resembles a bruise. The patient has not had fever or changes in energy or appetite. She has had no recent infections or contact with anyone known to be ill. The family has not traveled outside of the United States, but they spend weekends on the patient’s grandparents’ ranch. The patient is at the 50th percentile for height, weight, and BMI. Vital signs are within normal limits. She appears well. Physical examination shows a 3 x 5-cm firm, mobile mass in the right anterior cervical chain region; there is no erythema and the mass is minimally tender. A purplish hue is noted over the mass. There is no other lymphadenopathy, and no hepatomegaly or splenomegaly is noted. Excisional biopsy specimen of the mass shows the presence of multiple granulomas. Which of the following infectious agents is the most likely cause of this patient’s condition?
Correct
Incorrect
Question 16 of 50
16. Question
A 55-year-old woman with a 10-year history of type 2 diabetes mellitus returns to the clinic for a follow-up examination of a right foot ulcer diagnosed 8 weeks ago. At that time, she was treated with hydrocolloid dressings. Today, the patient reports a 1-week history of chills and moderate mid back pain. She has not had cough, pain with urination, or diarrhea. She also has hypertension. Medications are metformin and lisinopril. The patient is 160 cm (5 ft 2 in) tall and weighs 88 kg (195 lb); BMI is 35 kg/m2. Her temperature is 38.2°C (100.8°F), pulse is 90/min, respirations are 18/min, and blood pressure is 132/80 mm Hg. Examination shows a stage 2 foot ulcer that measures 2 cm in diameter and point tenderness over the T12 spinous process. The remainder of the examination shows no abnormalities. Which of the following studies is most likely to confirm the cause of this patient’s fever and back pain?
Correct
Incorrect
Question 17 of 50
17. Question
A 67-year-old woman comes to the physician because of a 1-week history of moderate pain and swelling, redness, and warmth of her right knee. She has a 10-year history of moderate pain and progressive stiffness of her hands and a 1-year history of swelling and warmth of her digits and wrists. She says she has generalized stiffness for 1 hour after awakening in the morning. She has no history of trauma to the hands or knees. She has no history of serious illness and takes ibuprofen for the pain as needed. Vital signs are within normal limits. On examination, the metacarpophalangeal joints are boggy bilaterally and tender on squeezing. There is erythema and swelling of the right knee; the patella is ballotable. Which of the following is the most appropriate next step in management?
Correct
Incorrect
Question 18 of 50
18. Question
A 22-year-old woman comes to the office because of a 6-week history of mild pain and swelling in the front of her right ankle. She says her symptoms began after she awkwardly stepped off a curb. There is no personal or family history of serious illness. Her only medication is ibuprofen as needed for pain. She does not smoke cigarettes or drink alcohol. Vital signs are within normal limits. Examination shows a 1 -cm abrasion and mild ecchymosis over the anterolateral aspect of the right ankle. There is warmth and swelling at the right anterior ankle joint; passive dorsiflexion produces pain. Anterior drawer test is negative bilaterally. Muscle strength is 5/5 on inversion, eversion, dorsiflexion, and plantar flexion of the right ankle. Dorsalis pedis pulses are 2+ bilaterally. Sensation to light touch is intact over the lower extremities. X-rays of the right ankle are shown. Which of the following is the most appropriate next step in diagnosis?
Correct
Incorrect
Question 19 of 50
19. Question
A 16-year-old girl is brought to the physician because of generalized weakness for the past 3 days. She states that during the past month, she has been following a strict diet and taking laxatives and diuretics to lose weight. She has no history of serious illness. Vital signs are within normal limits. Examination shows diffuse, generalized weakness; there is no pain on muscle palpation. Deep tendon reflexes are 1+ in the upper and lower extremities. A decreased concentration of which of the following serum electrolytes is the most likely cause of this patient’s muscle weakness?
Correct
Incorrect
Question 20 of 50
20. Question
A 61 -year-old man with ischemic cardiomyopathy is admitted to the hospital for management of community-acquired pneumonia. His medications are furosemide, spironolactone, and lisinopril. He has a dietary sodium restriction of less than 1500 mg daily. His temperature is 38.8°C (101.8°F), pulse is 100/min, respirations are 22/min, and blood pressure is 128/74 mm Hg. Pulse oximetry on room air shows an oxygen saturation of 88%. Crackles are heard in the middle lobe of the right lung. There is no edema of the lower extremities. A chest x-ray shows a right middle lobe infiltrate. His ejection fraction is 30%. Which of the following is the most appropriate intravenous fluid maintenance therapy?
Correct
Incorrect
Question 21 of 50
21. Question
A 64-year-old woman is brought to the emergency department because of a 3-hour history of shortness of breath, nausea, and vomiting. She has not had fever or chest or abdominal pain. She has not had any sick contacts. She has hypertension and type 2 diabetes mellitus. Her medications are lisinopril, insulin, and aspirin. On arrival, she is in acute distress. Her pulse is 64/min with occasional premature beats, respirations are 22/min, and blood pressure is 90/50 mm Hg. The lungs are clear to auscultation. On cardiac examination, S1 and S2 are normal and an S4 is heard; there are no murmurs. The abdomen is soft and nontender. There is no peripheral edema. An ECG is shown. Chest x-ray shows no pulmonary edema. Administration of which of the following is contraindicated in this patient?
Correct
Incorrect
Question 22 of 50
22. Question
A 57-year-old woman comes to the physician as a new patient. She has type 2 diabetes mellitus that was poorly controlled with glyburide for 10 years; it has been better controlled with the addition of metformin for the past 2 years. She does not smoke cigarettes or drink alcohol. She is 152 cm (5 ft) tall and weighs 63 kg (140 lb); BMI is 27 kg/m2. Her blood pressure is 165/102 mm Hg on three measurements. One year ago, her blood pressure was 144/90 mm Hg. Examination today shows no abnormalities. Serum studies show electrolyte concentrations within the reference ranges and a creatinine concentration of 0.9 mg/dl_. Urinalysis shows 4+ protein. Which of the following is the most likely mechanism of this patient’s increased blood pressure?
Correct
Incorrect
Question 23 of 50
23. Question
A 25-year-old woman comes to the office for a health maintenance examination. She is on active duty in the US Air Force, and her primary duty is flying drones. She reports no symptoms. Medical history is unremarkable, and she takes no medications. She does not smoke cigarettes or drink alcoholic beverages. Her paternal grandmother had a myocardial infarction at the age of 62 years. Vital signs are within normal limits. Physical examination discloses no abnormalities. Results of fasting serum lipid studies obtained 1 year ago are shown:
Cholesterol:
Total: 205 mg/dL
HDL-cholesterol: 45 mg/dL
LDL-cholesterol: 150 mg/dL
Triglycerides: 50 mg/dL
Which of the following is the most appropriate screening laboratory study at this time?
Correct
Incorrect
Question 24 of 50
24. Question
A 57-year-old man comes to the physician because of a 3-month history of an open wound on the left leg; the wound has been increasing in size during this time. He also has had mild pain and the sensation of heaviness in the entire left leg during this time; the pain is worst at the end of the day and improves with leg elevation. His medications are inhaled albuterol as needed for asthma and acetaminophen as needed for the leg pain. He has smoked one pack of cigarettes daily for 40 years. He lives in the southwestern USA and works as a long-distance truck driver. Vital signs are within normal limits. A photograph of the left leg is shown. The left ankle brachial index is 0.75 (N>1). The remainder of the examination shows no abnormalities. Which of the following is the most likely cause of these findings?
Correct
Incorrect
Question 25 of 50
25. Question
A previously healthy 4-year-old boy is brought to the physician because of a 3-day history of fever, cough, and runny nose. He has not had wheezing, vomiting, or diarrhea. He is at the 75th percentile for height and 10th percentile for weight. His temperature is 37.5°C (99.5°F). The skin is warm and pink. Capillary refill time is 2 seconds. Examination shows clear rhinorrhea. Breath sounds are normal. Cardiac examination is shown. The remainder of the examination shows no abnormalities. Which of the following is the most likely diagnosis?
Correct
Incorrect
Question 26 of 50
26. Question
An asymptomatic 37-year-old man who has been HIV positive for 1 year comes to the physician for a follow-up examination. His CD4+ T-lymphocyte count is 650/mm3 (Normal>500). A PPD skin test produces 6 mm of induration at 48 hours. An x-ray of the chest shows no abnormalities. Which of the following is the most appropriate next step in management?
Correct
Incorrect
Question 27 of 50
27. Question
An 18-year-old woman is admitted to the hospital because of a 3-day history of fever, shortness of breath, and cough productive of sputum. She received the diagnosis of asthma at the age of 12 years. She is currently in acute respiratory distress. Her temperature is 37.3°C (99.1°F), pulse is 120/min, respirations are 30/min, and blood pressure is 120/70 mm Hg. Pulse oximetry on 4 L/min of oxygen by nasal cannula shows a decrease in oxygen saturation from 98% on admission to 90%. Examination shows use of accessory muscles of respiration. Breath sounds are decreased bilaterally. Her leukocyte count is 18,000/mm3. A chest x-ray shows hyperinflation, which is consistent with x- ray findings on admission. Which of the following is the most likely cause of this patient’s current condition?
Correct
Incorrect
Question 28 of 50
28. Question
A 51-year-old man comes to the physician because of a 1-year history of restless sleep and fatigue in the morning. He says that his wife has asked him to sleep in a separate bedroom because of his excessive snoring during this time. The patient has no history of serious illness and takes no medications. He is 191 cm (6 ft 3 in) tall and weighs 124 kg (273 lb); BMI is 34 kg/m2. His pulse is 82/min, respirations are 16/min, and blood pressure is 150/90 mm Hg. Pulmonary examination shows no abnormalities. On cardiac examination, a loud S2 is heard at the second left intercostal space. Which of the following is most likely to be seen on echocardiography?
Correct
Incorrect
Question 29 of 50
29. Question
A 77-year-old man comes to the office because of a 1-day history of bloody diarrhea and moderate abdominal pain. He has had a decreased appetite and four to five bloody stools daily during this period. He was discharged from the hospital 1 week ago following management of an anterior wall myocardial infarction. He has not had fever, chills, vomiting, or recent exposure to sick contacts since he left the hospital. He has not traveled outside of the USA during the past year. His medications are enalapril, atorvastatin, metoprolol, and daily aspirin. He appears moderately ill. His pulse is 95/min, and blood pressure is 105/72 mm Hg. Cardiac examination shows a grade 2/6 systolic ejection murmur. Abdominal examination shows diffuse tenderness that is most prominent in the left lower quadrant; there is voluntary guarding but no rebound tenderness, and no masses are palpated. Results of laboratory studies are shown:
Hematocrit: 39%
Leukocyte count: 12,000/mm³
Platelet count: 175,000/mm³
Serum:
Na⁺: 139 mEq/L
K⁺: 3.9 mEq/L
Cl⁻: 106 mEq/L
HCO₃⁻: 22 mEq/L
Urea nitrogen: 29 mg/dL
Creatinine: 1.2 mg/dL
Fecal leukocytes: 0/mm³
Which of the following is the most likely diagnosis?
Correct
Incorrect
Question 30 of 50
30. Question
A 46-year-old woman, gravida 3, para 3, comes to the emergency department because of a 4-day history of “crampy” lower abdominal pain. She voids six times daily and once at night. Her last bowel movement was 3 days ago. She has not had fever, nausea, vomiting, or changes in appetite. She has hypertension, hypothyroidism, chronic back pain, and overactive bladder. Medications are enalapril, levothyroxine, tramadol, mirabegron, and acetaminophen. She is sexually active with her husband. She appears mildly uncomfortable. Temperature is 37.5°C (99.5°F), pulse is 64/min, respirations are 12/min, and blood pressure is 132/86 mm Hg. Pulse oximetry on room air shows an oxygen saturation of 98%. No abdominal tenderness in noted. The remainder of the examination shows no abnormalities. Adverse effect of which of the following is the most likely cause of this patient’s presenting symptom?
Correct
Incorrect
Question 31 of 50
31. Question
A 69-year-old woman comes to the physician because of a 6-day history of blood in her urine. She has not had pain. She has no history of serious illness and takes no medications. Vital signs are within normal limits. Examination shows no abnormalities. Urinalysis shows many RBCs. Cystoscopy shows a 2-cm mass in the bladder. Which of the following is the most likely diagnosis?
Correct
Incorrect
Question 32 of 50
32. Question
An 18-year-old man is brought to the emergency department because of severe pelvic and lower abdominal pain 30 minutes after he was involved in a motorcycle collision in which he struck a parked car. He was wearing a helmet and did not have loss of consciousness. He is alert. His pulse is 120/min, respirations are 18/min, and blood pressure is 130/50 mm Hg. The airway is clear and open, and breath sounds are normal. The abdomen is nontender. There are ecchymoses over the pelvis and scrotum. The pelvis is unstable. There is blood at the urethral meatus. Pulses are 2+ in all extremities. An x-ray of the pelvis shows an anteroposterior compression fracture. A pelvic binder is placed. Which of the following is the most appropriate next step in management of this patient’s urinary tract injury?
Correct
Incorrect
Question 33 of 50
33. Question
A 27-year-old woman, gravida 2, para 1, at 14 weeks’ gestation comes to the physician for her first prenatal visit. She is concerned because 2 years ago, during her first pregnancy, she delivered a stillborn at 38 weeks’ gestation 24 hours after she had noticed decreased fetal movement. She has no history of serious illness. Examination shows no abnormalities. Which of the following is the most appropriate next step in management?
Correct
Incorrect
Question 34 of 50
34. Question
A 25-year-old woman comes to the physician for a follow-up examination because she continues to have urinary frequency and pain with urination despite a 1-week course of trimethoprim-sulfamethoxazole followed by a 1-week course of nitrofurantoin. A urine culture at the onset of her symptoms 2 weeks ago showed vaginal flora but no specific organism. She is sexually active and uses an oral contraceptive. Examination shows a mildly erythematous, tender urethra. Purulent material can be expressed from the periurethral glands. Vaginal examination shows no abnormalities, and there is no vaginal discharge. Bimanual examination shows a nontender cervix and uterus. The cervix is friable and bleeds easily after a Pap smear. Which of the following is the most likely diagnosis?
Correct
Incorrect
Question 35 of 50
35. Question
A 37-year-old woman comes to the physician for a routine follow-up examination. She has a 12-year history of type 2 diabetes mellitus treated with glipizide and diet. She has urinary frequency when she does not follow her diet. She is otherwise healthy. There is no family history of diabetes mellitus. Her pulse is 72/min, and blood pressure is 130/80 mm Hg. Funduscopic examination shows scattered microaneurysms. The remainder of the examination shows no abnormalities. Which of the following is most likely to determine this patient’s risk for diabetic nephropathy?
Correct
Incorrect
Question 36 of 50
36. Question
Two months after successful resection of a benign adrenal pheochromocytoma, a 47-year-old man comes for a follow-up examination. He has had occasional episodes of mild diarrhea over the past 6 weeks but is otherwise well. There is a family history of endocrine tumors. His blood pressure is 100/60 mm Hg. Examination shows a 2-cm, firm nodule in the right lobe of the thyroid gland. Laboratory studies are most likely to show which of the following serum concentrations?
Correct
Incorrect
Question 37 of 50
37. Question
A 27-year-old man with ulcerative colitis is admitted to the hospital because of a 5-day history of increasingly severe bloody diarrhea and abdominal cramps, fatigue, and generalized weakness. He receives infliximab infusions every 2 weeks. His only other medication is a daily multivitamin. His temperature is 37.2°C (99°F), pulse is 100/min, and blood pressure is 100/70 mm Hg. Examination shows a soft abdomen; there is moderate tenderness to deep palpation of the left lower quadrant. Laboratory studies show a hematocrit of 36% and leukocyte count of 4000/mm3. Colonoscopy shows diffusely erythematous mucosa and superficial ulcers extending contiguously from the rectum to the proximal descending colon. Biopsies of the colonic mucosa show intracellular inclusion bodies. Which of the following is the most appropriate next step in management?
Correct
Incorrect
Question 38 of 50
38. Question
A 54-year-old woman with hypertension is admitted to the hospital because of a 1 -week history of nausea, vomiting, and diarrhea. She says she has been vomiting four to five times daily and has not been able to keep any food or liquids down. She has had up to 10 nonbloody loose stools daily. She reports no fever or chills. She says she previously had been well, but she noticed that her blood pressure had been higher than usual during the past 2 weeks, and she was planning to see her primary care physician. She is a pediatric nurse and had been caring for several patients with unspecified viral gastroenteritis 1 week before she became ill. She has hyperlipidemia. Medications are hydrochlorothiazide and atorvastatin. The patient is 168 cm (5 ft 6 in) tall and weighs 73 kg (162 lb); BMI is 26 kg/m2. Temperature is 37.3°C (99.2°F), pulse is 110/min, and blood pressure is 126/68 mm Hg. Abdominal examination discloses mild, diffuse tenderness to palpation without rebound or guarding. Results of complete blood count and urinalysis are within the reference ranges. Results of serum chemistry profile and urine electrolyte concentrations are shown:
Serum:
Urea nitrogen: 22 mg/dL
Creatinine: 1.0 mg/dL
Na⁺: 136 mEq/L
K⁺: 3.1 mEq/L
Cl⁻: 95 mEq/L
HCO₃⁻: 34 mEq/L
Urine:
Na⁺: <10 mmol/L
K⁺: 30 mmol/L
Cl⁻: 12 mmol/L
Arterial blood gas analysis on room air:
PO₂: 98 mm Hg
PCO₂: 49 mm Hg
pH: 7.51
Which of the following is the most likely cause of this patient’s laboratory results?
Correct
Incorrect
Question 39 of 50
39. Question
A case-control study is conducted to assess the relationship between childhood infection with varicella zoster virus and lymphoma. It is most appropriate to use which of the following methods to minimize recall bias in this study?
Correct
Incorrect
Question 40 of 50
40. Question
A cohort study is conducted to evaluate the impact of fish consumption on the risk for developing cardiovascular disease. Participants complete a questionnaire about dietary habits, including fish consumption; responses are obtained from 2000 participants (80% response rate). The study participants are observed for 20 years, and cases of cardiovascular disease are identified through a data registry. Study results show:
Eating Fish (Frequency)
Cases with Cardiovascular Disease
Cases without Cardiovascular Disease
Total
Never
160
1440
1600
Almost daily
20
380
400
Total
180
1820
2000
Based on these data, which of the following best represents the attributable risk for development of cardiovascular disease caused by lack of fish consumption in this population?
Correct
Incorrect
Question 41 of 50
41. Question
A study is conducted to determine if there is an association between tampon use and toxic shock syndrome (TSS). A total of 50 patients with TSS and 450 patients without TSS are enrolled in the study. The patients are matched for age and race. All patients are interviewed to determine if they use tampons. When analyzing the data, which of the following is the most appropriate statistical method to use for this study?
Correct
Incorrect
Question 42 of 50
42. Question
A 22-year-old man is admitted to the intensive care unit after he sustained a severe head injury in a motorcycle collision. Three days later, he remains intubated and has had no spontaneous respirations. His temperature is 37°C (98.6°F). His pupils are fixed and dilated, and he is unresponsive to all physical and verbal stimuli. He has no cranial nerve reflexes, and repeated EEG shows no electrical activity. He is receiving no medications. Toxicology screening is negative. Which of the following is the most accurate statement regarding continuation of mechanical ventilation for this patient?
Correct
Incorrect
Question 43 of 50
43. Question
A 77-year-old woman is brought to the physician by her son because of palpitations for the past month. She had a cerebral infarction 5 years ago and has residual partial paralysis of her right leg. She uses an orthotic brace on her right ankle and a walker. She has fallen three times during the past year but has not sustained any injuries. She has a 5-year history of type 2 diabetes mellitus treated with metformin. Her vision is 20/60 in her left eye, but she is able to read large print. Her pulse is 120/min and irregularly irregular, and blood pressure is 135/78 mm Hg. Crackles are heard at the lung bases. A grade 2/6 systolic murmur is heard best at the lower left sternal border. Abdominal examination shows no abnormalities. There is 2+ edema below the knees. Neurologic examination shows unchanged hemiparesis. Laboratory studies show:
Hematocrit: 37%
Leukocyte count: 4700/mm³ with a normal differential
Serum:
Urea nitrogen: 27 mg/dL
Creatinine: 1.4 mg/dL
An ECG shows atrial fibrillation with a ventricular rate between 90/min and 140/min. Echocardiography shows an ejection fraction of 40%. Which of the following is the most appropriate next step in management?
Correct
Incorrect
Question 44 of 50
44. Question
A 37-year-old man comes to the physician 12 hours after the onset of vomiting and abdominal cramps and swelling. He has had constipation for the past 4 days. He was diagnosed with Crohn disease 7 years ago. His symptoms of diarrhea and right lower quadrant abdominal pain have been well controlled with mesalamine for the past 3 years. His temperature is 36°C (96.8°F), pulse is 98/min and regular, and blood pressure is 110/70 mm Hg. Examination shows a diffusely distended, tympanitic abdomen and visible peristalsis; high-pitched bowel sounds are heard. Rectal examination shows no stool in the rectal vault. An x-ray of the abdomen shows a small-bowel obstruction. Which of the following is the most likely cause of these findings?
Correct
Incorrect
Question 45 of 50
45. Question
A 62-year-old man comes to the physician to discuss the results of an abdominal CT scan that was performed 4 days ago. He is undergoing evaluation for a 2-month history of increasing back pain and a 6.8-kg (15-lb) weight loss. An initial physical examination showed no abnormalities. The CT scan showed a 4-cm solid mass in the body of the pancreas, multiple defects in the liver consistent with metastases, and a 7-cm abdominal aortic aneurysm with involvement of the renal arteries and no evidence of leakage. A CT scan-guided biopsy of the mass is performed. Examination of the specimen shows a pancreatic adenocarcinoma. After listening to the physician’s explanation of his prognosis, the patient says, “So you think I have a pancreatic cancer that is too advanced to remove. But what about the aneurysm? Should I have something done about that?” Which of the following is the most appropriate recommendation with respect to repair of this patient’s aneurysm?
Correct
Incorrect
Question 46 of 50
46. Question
A 52-year-old man comes to the emergency department 3 days after he sustained an injury to his left foot while walking barefoot on the beach. He says he initially thought he only had a minor cut, but he now has severe pain that radiates from his left foot to his groin. Ten years ago, he underwent cadaveric liver transplantation for hepatitis C. Current medications include mycophenolate and prednisone. On arrival, he appears diaphoretic and ill. His temperature is 39.2°C (102.6°F), pulse is 120/min, respirations are 24/min, and blood pressure is 110/60 mm Hg. Examination shows erythema and hemorrhagic bullae over the left calf and foot. The skin is warm and tender to touch from over the left mid calf to the foot. Pulses in the distal lower extremities are equal bilaterally. His leukocyte count is 16,000/mm3 with 82% segmented neutrophils, 15% bands, and 3% eosinophils. Results of blood cultures are pending. In addition to intravenous administration of antibiotics, which of the following is the most appropriate next step in management?
Correct
Incorrect
Question 47 of 50
47. Question
A 72-year-old man has decreased urine output 2 days after admission to the hospital for treatment of cholecystitis. His urine output has been 15 mL/h over the past 3 hours. On admission, results of laboratory studies were consistent with gram-negative bacteremia and disseminated intravascular coagulation. He is currently receiving intravenous fluids, cefoxitin, and gentamicin. His temperature is 38.5°C (101.3°F), pulse is 110/min, respirations are 24/min, and blood pressure is 90/64 mm Hg. Abdominal examination shows mild right upper quadrant tenderness. His serum creatinine concentration has increased from 1.5 mg/dL 2 days ago to 3 mg/dl_. This patient is most likely to have which of the following sets of urinalysis findings?
Option
Blood
Protein
RBC (/hpf)
WBC (/hpf)
Casts
Other Microscopic Findings
A
None
none
none
none
hyaline
none
B
None
4+
none
none
none
oval fat bodies
C
Trace
1+
0–5
>50
none
WBC clumps
D
1+
1+
0–5
0–5
pigmented granular
renal tubular epithelial cells
E
1+
1+
5–10
10–20
none
eosinophils
F
3+
1+
>50
none
RBC
none
G
4+
1+
none
none
pigmented granular
squamous epithelial cells
H
4+
1+
10–20 dysmorphic
none
none
none
Correct
Incorrect
Question 48 of 50
48. Question
A 17-year-old patient, gravida 1, para 0, aborta 1, comes to the physician for a follow-up examination. Four weeks ago, she underwent dilatation and curettage (D&C) following a spontaneous abortion at 13 weeks’ gestation. She has had no vaginal bleeding or pelvic pain. The patient has no history of serious illness. Her only current medication is an oral contraceptive; she adheres to her medication regimen. Today, pelvic examination shows no abnormalities. Prior to the D&C, her serum β-hCG concentration was 50,326 mIU/mL. Since the D&C, serial measurements of serum β-hCG concentrations have shown:
Week
β-hCG (mIU/mL)
1
18,275
2
8,157
3
8,356
4
14,589
Which of the following is the most likely diagnosis?
Correct
Incorrect
Question 49 of 50
49. Question
A previously healthy 23-year-old man comes to the physician because of a 5-day history of fever, malaise, and headache. He has not had nausea, vomiting, cough, sore throat, diarrhea, pain with urination, or penile discharge. Medications include pseudoephedrine and ibuprofen for sinus headaches. He has no known recent exposure to illness and has not traveled recently outside the USA. He has been sexually active with four female partners over the past year and uses condoms inconsistently. He drinks two six-packs of beer weekly. He lives near tick-infested woods but has not noted a tick bite. He is 183 cm (6 ft) tall and weighs 95 kg (210 lb); BMI is 29 kg/m2. His temperature is 38.3°C (101°F), pulse is 72/min, respirations are 12/min, and blood pressure is 126/68 mm Hg. Examination shows a nonpruritic, painless, pigmented, maculopapular rash over the palms and soles. There is diffuse lymphadenopathy. Which of the following is most likely to have prevented this patient’s symptoms?
Correct
Incorrect
Question 50 of 50
50. Question
A 30-year-old primigravid woman with systemic lupus erythematosus comes to the physician for a prenatal visit at 34 weeks’ gestation. Examination shows that her disease is in remission. She is concerned about the possible effects of her disease on her fetus. The fetus is at greatest risk for which of the following?
Correct
Incorrect
لا تفوّت فرصتك!
احصل على تجربة مجانية لدورة USMLE
محتوى مختار من المحاضرات، الكتب، بنك الأسئلة مع فيديوهات قصيرة لحل الأسئلة، والفلاش كاردز.