Would you like to submit your quiz result to the leaderboard?
Loading
1
2
3
4
5
6
7
8
9
10
11
12
13
14
15
16
17
18
19
20
21
22
23
24
25
26
27
28
29
30
31
32
33
34
35
36
37
38
39
40
41
42
43
44
45
46
47
48
49
50
Current
Review
Answered
Correct
Incorrect
Question 1 of 50
1. Question
A 55-year-old woman comes to the office for a health maintenance examination. She feels well. She has no history of serious illness and takes no medications. Her mother had hypertension and died of a cerebral infarction at the age of 78 years. The patient does not smoke cigarettes. She drinks one glass of red wine daily. She is 173 cm (5 ft 8 in) tall and weighs 70 kg (155 lb); BMI is 24 kg/m2. Her blood pressure is 162/99 mm Hg. Examination shows no other abnormalities. Serum studies show:
Creatinine: 0.8 mg/dL
Total cholesterol: 240 mg/dL
HDL cholesterol: 45 mg/dL
LDL cholesterol: 160 mg/dL
Triglycerides: 140 mg/dL
Which of the following is the most appropriate next step in management?
Correct
Incorrect
Question 2 of 50
2. Question
A 68-year-old woman comes to the physician because of a 6-month history of shortness of breath with exertion and a sensation of pressure in her mid chest. Initially, her symptoms occurred after she walked up a second flight of stairs to her office; they resolved with 10 minutes of rest. During the past 4 months, her symptoms have begun as she finishes walking up the first flight of stairs. If she rests for 5 minutes, she is able to walk up the second flight of stairs. She has not had pain at rest, during the night, or after eating. She has no history of serious illness and takes no medications. There is no family history of serious illness. The patient has never smoked cigarettes. She appears in no distress. Vital signs are within normal limits. On cardiac examination, a grade 3/6 systolic ejection murmur is heard best at the base of the heart, and there is an S4; there is radiation to the carotid arteries. Fasting serum lipid studies show:
Total cholesterol: 217 mg/dL
HDL cholesterol: 59 mg/dL
LDL cholesterol: 140 mg/dL
Triglycerides: 90 mg/dL
Results of other laboratory studies are within the reference ranges. An ECG shows non-specific ST-T wave changes. Echocardiography shows an ejection fraction of 45% and severe aortic valve stenosis. Which of the following is the most appropriate next step in management?
Correct
Incorrect
Question 3 of 50
3. Question
A 57-year-old man comes to the office because of a 2-month history of intermittent chest pain. He describes the pain as a squeezing sensation in the center of his chest that lasts for 2 to 3 minutes. The pain worsens when he walks outside or becomes upset. He also has noted the pain after eating large meals. He has not had nausea or vomiting. He has hypertension, hypercholesterolemia, and osteoarthritis. Medications are hydrochlorothiazide, simvastatin, and acetaminophen. Family history is noncontributory. The patient does not smoke cigarettes. He is 178 cm (5 ft 10 in) tall and weighs 102 kg (225 lb); BMI is 32 kg/m2. His pulse is 80/min, respirations are 12/min, and blood pressure is 142/92 mm Hg. Lungs are clear to auscultation. On cardiac examination, a regular rhythm and prominent S4 are heard with no murmurs. ECG shows nonspecific ST-T wave abnormalities in leads V3-V4. Which of the following is the most likely diagnosis?
Correct
Incorrect
Question 4 of 50
4. Question
A 47-year-old man has tachycardia 3 days after undergoing emergency sigmoid colectomy for a perforated diverticulitis. One year ago, he had coronary artery stents inserted after sustaining an acute myocardial infarction. He has been receiving scheduled doses of propranolol. His pulse is 210/min; other vital signs are within normal limits. Examination shows no abnormalities. A 12-lead ECG is shown. Which of the following is the most appropriate treatment for this patient?
Correct
Incorrect
Question 5 of 50
5. Question
A 32-year-old man comes to the physician because of a 2-month history of right groin pain. He is unable to work at his construction job because of his pain. He has no history of trauma or serious illness. He usually drinks six alcoholic beverages daily and occasionally has episodes of binge drinking. On examination, there is a 10-degree flexion contracture of the right hip. Any attempt at passive movement of the right hip produces pain. Flexion of the right hip is limited to 80 degrees, and internal rotation of the right hip is limited to the neutral position. X-rays of the right hip show lytic and sclerotic lesions of the femoral head. The joint space is intact. Which of the following is the most likely diagnosis?
Correct
Incorrect
Question 6 of 50
6. Question
A 52-year-old man comes to the emergency department because of a 3-day history of severe pain in his left hip and thigh. He has a 3-year history of a daily cough productive of up to three tablespoons of yellow-tinged sputum. He also has a 10-year history of well-controlled hypertension. He has smoked one pack of cigarettes daily for 30 years. Vital signs are within normal limits. Examination shows marked restriction of movement of the left hip as a result of pain with movement. AP x-rays of the left lower extremity followed by CT scan show an impending fracture of the proximal femur in the area of a 3 X 3-cm radiolucent defect with focal breaching of the cortex laterally. CT scans of the chest and abdomen show a 5 x 3-cm spiculated density in the central right upper lobe of the lung; there is no lymphadenopathy or abdominal masses. Which of the following is the most likely diagnosis?
Correct
Incorrect
Question 7 of 50
7. Question
A 3-year-old girl is brought to the physician by her mother because of a 6-week history of intermittent, increasingly severe knee pain. Her mother says that initially the pain involved only the right knee, but during the past 2 weeks, her daughter also has had pain in the left knee, and the knees have felt warm and slightly swollen. The patient has not had fever or rash. She is alert and walks with a limp. She is at the 50th percentile for height and 25th percentile for weight. Her temperature is 36.8°C (98.2°F), pulse is 106/min, respirations are 24/min, and blood pressure is 86/48 mm Hg. Pupillary light reflexes are normal, and ocular movements are intact. The conjunctivae appear normal. No masses are noted in the neck. Cardiopulmonary examination shows no abnormalities. The abdomen is soft and nontender. Examination of the knees shows mild swelling and decreased range of motion because of pain. Laboratory studies show:
Erythrocyte sedimentation rate (ESR): 32 mm/h
Antinuclear antibody (ANA): positive (1:640)
Rheumatoid factor (RF): negative
Which of the following is the most appropriate screening test for this patient?
Correct
Incorrect
Question 8 of 50
8. Question
A 50-year-old man has had a swollen painful right elbow for 2 days. There is no history of trauma. He has rheumatoid arthritis involving the shoulders, fingers, elbows, knees, and ankles that has been well controlled with prednisone therapy for 4 months. He also takes ibuprofen and penicillamine. He had a painful vesicular rash in a dermatome distribution below his left breast 6 months ago. Two years ago, he was told that his rheumatoid process was affecting his lungs. He has been monogamous for 25 years. His temperature is 38.2°C (100.7°F), pulse is 80/min and regular, respirations are 20/min, and blood pressure is 140/80 mm Hg. His fingers, wrists, knees, and ankles show evidence of synovial proliferation; pain is minimal, and there is no warmth. His right elbow is swollen, warm, erythematous, and extremely tender. Laboratory studies show:
Hemoglobin: 10.5 g/dL
Leukocyte count: 16,800/mm³
Segmented neutrophils: 80%
Bands: 10%
Lymphocytes: 10%
Erythrocyte sedimentation rate (ESR): 50 mm/h
Analysis of synovial fluid from the right elbow is turbid and shows a leukocyte count of 200,000/mm3 (98% segmented neutrophils and 2% monocytes) and a glucose concentration of 10 mg/dL. Gram stain is negative. An x-ray of the chest shows a small right pleural effusion. Which of the following is the most likely causal organism?
Correct
Incorrect
Question 9 of 50
9. Question
An 18-year-old woman comes to the physician because of a 4-year history of acne over her face. She has not sought treatment before today, and she is concerned about having clear skin before she leaves for college in 3 months. She uses water-based skin products and does not wear cosmetics. She has no history of serious illness, takes no medications, and has no known allergies. Menses occur at regular 28-day intervals. She is not sexually active. She is a competitive swimmer and trains 2 to 3 hours daily. Examination shows mild comedonal and papular acne over the face but no other abnormalities. Which of the following is the most appropriate initial step in management?
Correct
Incorrect
Question 10 of 50
10. Question
A 9-month-old girl is brought to the office because of a 5-day history of a rash in the diaper area. She has had two episodes of otitis media treated with oral antibiotic therapy but has been otherwise healthy. Her temperature is 37.0°C (98.6°F). A photograph of the rash is shown. Which of the following is the most appropriate pharmacotherapy?
Correct
Incorrect
Question 11 of 50
11. Question
A 47-year-old man comes to the emergency department because of a 12-hour history of a spinning sensation that worsens when he closes his eyes. He has no history of similar symptoms or serious illness. He takes no medications. Vital signs are within normal limits. Examination shows horizontal-rotatory nystagmus on right lateral gaze. Hearing acuity is normal bilaterally. The remainder of the examination shows no abnormalities. Which of the following is the most likely diagnosis?
Correct
Incorrect
Question 12 of 50
12. Question
A 77-year-old man is brought to the emergency department by his son 4 hours after he became dizzy and was unable to stand. He has a history of intermittent atrial fibrillation and hypertension well controlled with digoxin and hydrochlorothiazide. His speech is dysarthric. His temperature is 37°C (98.6°F), pulse is 80/min and irregularly irregular, respirations are 12/min, and blood pressure is 140/90 mm Hg. Examination shows right-beating nystagmus and left ptosis. The left pupil is smaller than the right, especially in the dark. Sensation to pain and temperature is decreased over the left side of the face and right side of the body. The left upper and lower extremities are ataxic. An ECG shows atrial fibrillation. ACT scan of the head shows no abnormalities. Carotid ultrasonography shows 40% stenosis of the left internal carotid artery and 60% stenosis of the right internal carotid artery. Which of the following is the most appropriate next step in management to prevent recurrent cerebral infarction in this patient?
Correct
Incorrect
Question 13 of 50
13. Question
A 6-month-old female infant is brought to the office because of a 4-day history of irritability and difficulty sucking and a 2-week history of constipation. She is exclusively breast¬fed but has stopped latching during the past 4 days. Her mother typically gives her a pacifier dipped in honey to quiet her when necessary, but the patient will no longer take the pacifier. She has not had fever, cough, or vomiting. She appears lethargic and has a weak cry. Her temperature is 37.0°C (98.6°F), pulse is 100/min, respirations are 40/min, and blood pressure is 70/50 mm Hg. Examination shows bilateral ptosis, facial weakness, and poor head control. The pupils are sluggishly reactive to light. Gag reflex is diminished. Muscle strength is 2/5 in the upper extremities and 3/5 in the lower extremities. Deep tendon reflexes are absent in all extremities. Sensation is intact throughout. Which of the following is the most appropriate next step in diagnosis?
Correct
Incorrect
Question 14 of 50
14. Question
A 17-year-old boy is bought to the emergency department by his parents because of slurred speech, sleepiness, and an inability to walk properly since he returned home from his friend’s house 30 minutes ago. The patient’s parents say that he has been socializing with the “wrong” crowd during the past year; they worry he has been experimenting with drugs and alcohol because he shows little interest in family activities. On arrival, he responds only to sternal rub. His pulse is 100/min, respirations are 12/min, and blood pressure is 90/60 mm Hg. The pupils are equal and reactive to light. Speech is slurred. Pulmonary examination shows no abnormalities. The remainder of the neurologic examination shows no focal findings. His serum glucose concentration is 35 mg/dL, and arterial pH is 7.3. Toxicity from which of the following is the most likely explanation for this patient’s symptoms?
Correct
Incorrect
Question 15 of 50
15. Question
A 27-year-old man with an 8-year history of bipolar disorder comes to the physician because of depressed mood for 6 weeks. He reports that he no longer has an interest in his job as a salesclerk or in recreational activities. He has had a decreased appetite and low level of energy. He had been taking lithium carbonate for 6 years but stopped 3 months ago because he felt he no longer needed it. He currently takes no medications. Physical examination shows no abnormalities. On mental status examination, he says he has thought about suicide occasionally but has no plans to kill himself. Which of the following is the most appropriate pharmacotherapy at this time?
Correct
Incorrect
Question 16 of 50
16. Question
A 25-year-old man who is a nursing student comes to the office because of anxiety about his ability to pass his courses. He says that yesterday, during his first practical session, he had what he thought was a panic attack at the sight of blood. He says, “My heart began racing. I felt light-headed, and I almost got sick to my stomach.” He says he has always felt squeamish at the sight of blood but thought he would eventually get used to it. He does not think he can be a nurse unless he receives help for this problem. He worries about how he will pay back his student loans and how he will explain his failure to his family. Vital signs are within normal limits. Physical examination shows no abnormalities. On mental status examination, he appears anxious and has a full range of affect. His thought process and content are clear and goal directed. Which of the following is the most likely diagnosis?
Correct
Incorrect
Question 17 of 50
17. Question
A 27-year-old man is brought to the emergency department by his family because of bizarre behavior for 3 hours. He has a 10-year history of schizophrenia treated with olanzapine. He and his family are driving across the country, and he was seen in another emergency department last night for an episode of agitation; his agitation resolved after intramuscular administration of haloperidol. On arrival, he is moaning and agitated and lies on the examination table with his arms held rigidly at his side. The mouth is open, and there is maximal upward deviation of the eyes. When asked to try to relax and look at the examiner, the patient says he cannot. His pulse is 110/min, and blood pressure is 154/86 mm Hg. Examination shows muscular rigidity. Which of the following is the most appropriate next step in management?
Correct
Incorrect
Question 18 of 50
18. Question
A 22-year-old woman comes to the physician because of a 2-week history of yellowing skin and increasing shortness of breath on exertion. She has not had abdominal pain or weight loss. She does not smoke cigarettes or use illicit drugs. She drinks one to two beers on weekends. Her pulse is 80/min, respirations are 12/min, and blood pressure is 100/70 mm Hg. Examination shows scleral icterus and jaundice. The lungs are clear to auscultation. Abdominal examination shows a liver span of 10 cm, and the spleen tip is palpated 3 cm below the left costal margin. The remainder of the examination shows no abnormalities. Her hematocrit is 20%, and reticulocyte count is 10%. Additional serum studies are most likely to show which of the following?
Option
Indirect Bilirubin (mg/dL)
Lactate Dehydrogenase (U/L)
Alkaline Phosphatase (U/L)
A
0.5
50
50
B
0.5
50
500
C
0.5
500
50
D
0.5
500
500
E
3.5
50
50
F
3.5
50
500
G
3.5
500
50
H
3.5
500
500
Correct
Incorrect
Question 19 of 50
19. Question
A previously healthy 52-year-old woman is brought to the physician because of a 1-month history of progressive fatigue and low back pain. Vital signs are within normal limits. Examination shows diffuse tenderness to fist percussion over the lumbar spine. Laboratory studies show:
Hematocrit: 30%
Leukocyte count: 9,500/mm³
Segmented neutrophils: 65%
Bands: 5%
Lymphocytes: 10%
Monocytes: 20%
Platelet count: 200,000/mm³
Serum:
Ca²⁺: 14 mg/dL
Urea nitrogen: 60 mg/dL
Urine:
Protein: 4+
A protein electrophoresis shows monoclonal gammopathy. X-rays of the back show severe osteoporosis of the lumbar and thoracic spine without fracture. Examination of the bone marrow shows sheets of plasma cells. Cytogenetic analysis of the bone marrow shows no abnormalities. Which of the following is most likely to be increased in this patient?
Correct
Incorrect
Question 20 of 50
20. Question
A 47-year-old woman comes to the physician because of a 1-week history of progressive left-sided weakness. Six months ago, she underwent an uncomplicated pancreatic transplant because of type 1 diabetes mellitus. Her medications are mycophenolate mofetil and prednisone. Vital signs are within normal limits. Muscle strength is 4/5 in the left lower aspect of the face and left upper extremity. Deep tendon reflexes are increased on the left. Sensation is intact. The remainder of the examination shows no abnormalities. An MRI of the brain shows a homogeneously enhancing right frontotemporal mass with surrounding edema. A biopsy specimen of the lesion shows proliferation of monoclonal B lymphocytes. Which of the following is the most likely causal organism?
Correct
Incorrect
Question 21 of 50
21. Question
An asymptomatic 37-year-old woman comes to the physician for a follow-up examination after an HIV antibody test was positive. Her last HIV antibody test 5 years ago was negative. She has no previous history of sexually transmitted disease. During the past 10 years, she has been sexually active with eight male partners; she uses an oral contraceptive. She does not know of any partners who are HIV positive. She exercises regularly. Her vital signs are within normal limits. Examination shows no abnormalities. A complete blood count and serum electrolyte, urea nitrogen, and creatinine concentrations are within the reference range. Her CD4+ T-lymphocyte count is 410/mm3 (Normal>500), and plasma HIV viral load is 30,000 copies/mL. Urine pregnancy test is negative. Serologic testing for hepatitis and a PPD skin test are negative. Liver function tests show no abnormalities. Antiretroviral therapy is begun. Which of the following is the most appropriate next step to prevent infections in this patient?
Correct
Incorrect
Question 22 of 50
22. Question
A 14-year-old boy is brought to the physician by his mother because she has had difficulty awakening him in the morning since the start of the school year 3 months ago. She reports that last year he would always get up on his own. She now has to rouse him several times every morning. She says that he has the same group of friends as he did last year. When interviewed alone, the patient says that during the summer he discovered a talk show at 10 PM that he enjoys watching. He states that he is not tired at 10 PM, which was his bedtime last year. Physical examination shows no abnormalities. Which of the following is the most appropriate next step?
Correct
Incorrect
Question 23 of 50
23. Question
A 7-year-old boy is brought to the office by his mother because of a 1-month history of urinary incontinence. During this time, he also has passed occasional hard, painful stools. He has not had pain with urination or changes in appetite. He has had occasional episodes of daytime enuresis at school since he was toilet trained at the age of 4 years; until last month, these episodes were rare. He has wet the bed four times weekly during the past month. His mother cannot identify any new stressors at home. He has no history of serious illness and receives no medications. Vaccinations are up-to-date. He receives grades of A’s in school. He is at the 25th percentile for height and weight and 35th percentile for BMI. Vital signs are within normal limits. Examination shows no abnormalities. Urinalysis shows no abnormalities. Which of the following is the most appropriate next step in management?
Correct
Incorrect
Question 24 of 50
24. Question
A 37-year-old man with hepatitis C and HIV infection comes to the physician because of a 2-week history of edema and generalized fatigue. He has not had fever, vomiting, or any other symptoms. He is taking antiretroviral therapy. One month ago his CD4+ T-lymphocyte count was 240/mm3 (N>500). He was treated for Mycobacterium avium- intracellulare complex infection 2 years ago. His blood pressure is 150/96 mm Hg. Examination shows pitting edema from the midcalves to the feet bilaterally. Laboratory studies show:
Serum
Urea nitrogen: 20 mg/dL
Creatinine: 1.8 mg/dL
Urine
Blood: negative
Protein: 4+
Microscopic examination of urine shows no cells or casts. Which of the following is the most appropriate next step in management?
Correct
Incorrect
Question 25 of 50
25. Question
A 32-year-old man comes to the physician because of severe throbbing headaches that have been increasing in frequency over the past 3 months. He has a 10-year history of similar headaches that typically last 6 to 12 hours and are associated with nausea, vomiting, and photophobia. The headaches used to occur approximately every 6 months but now occur twice weekly. He is unable to identify any precipitating factors. Over-the-counter medications have been ineffective. He is otherwise healthy and active. His temperature is 37°C (98.6°F), pulse is 72/min, and blood pressure is 120/75 mm Hg. Examination shows no abnormalities. Which of the following is the most appropriate prophylaxis for his headaches?
Correct
Incorrect
Question 26 of 50
26. Question
A 52-year-old woman with systemic sclerosis (scleroderma) comes to the physician because she has had an increasingly painful ulcer on her left small toe for the past month. The ulcer was caused by minor trauma. She has not had fever or chills. A 10-day course of oral ciprofloxacin and daily application of topical antibiotic cream have not resolved the ulcer. Despite acetaminophen and ibuprofen therapy, she rates her pain as a 7 on a 10-point scale. Her other medications are prednisone and hydroxychloroquine. Her temperature is 37.2°C (99°F), pulse is 84/min and regular, and blood pressure is 145/85 mm Hg. Examination shows skin changes over the face and hands consistent with scleroderma. The left small toe is erythematous and edematous. There is a 1-cm, shaggy, fibrinous, full-thickness ulcer on the dorsum of the proximal interphalangeal joint; there is crepitus on palpation of the joint. The bone is visible. Cellulitis extends along the dorsum of the foot. The posterior tibial pulse is palpable. Culture of the ulcer grows methicillin-resistant Staphylococcus aureus. Which of the following is the most appropriate next step in management?
Correct
Incorrect
Question 27 of 50
27. Question
An asymptomatic 37-year-old woman comes to the physician for a follow-up examination. She has a 19-year history of hypertension that has been difficult to control with medication. She has measured her blood pressure at home every morning for the past 3 weeks; readings have ranged between 148/92 mm Hg and 166/96 mm Hg. She currently takes no medications. She does not smoke or drink alcohol. She exercises four times weekly. She is employed as a police officer and describes her work as stressful. She is 173 cm (5 ft 8 in) tall and weighs 59 kg (130 lb); BMI is 20 kg/m2. Her blood pressure is 160/94 mm Hg in both arms while sitting and 162/92 mm Hg in the right arm while standing. The remainder of the examination shows no abnormalities. Laboratory studies show:
Serum Na⁺: 141 mEq/L
Serum K⁺: 3.2 mEq/L
Serum Cl⁻: 103 mEq/L
Serum HCO₃⁻: 30 mEq/L
Urea nitrogen: 15 mg/dL
Creatinine: 0.9 mg/dL
Aldosterone : renin ratio: 42
Urine aldosterone: 34 µg/24 h (Normal = 3–20)
An MRI of the abdomen shows no abnormalities. The most appropriate next step in management is to add which of the following to this patient’s regimen?
Correct
Incorrect
Question 28 of 50
28. Question
An 87-year-old man comes to the physician because of a 1-year history of difficulty starting his urinary stream and occasional postvoid dribbling. He typically arises to void two times nightly. He has a 30-year history of type 2 diabetes mellitus complicated by orthostatic hypotension secondary to autonomic dysfunction. Current medications include lisinopril and glyburide. His blood pressure is 140/80 mm Hg while supine and 100/60 mm Hg while standing. Examination shows an enlarged prostrate. Which of the following is the most appropriate pharmacotherapy for this patient’s urinary symptoms?
Correct
Incorrect
Question 29 of 50
29. Question
A 37-year-old premenopausal woman undergoes a modified radical mastectomy with transverse rectus abdominis musculocutaneous (TRAM) flap reconstruction for a 4-cm infiltrating ductal carcinoma in the upper outer quadrant of the right breast. The axillary dissection yields two positive lymph nodes of 22 that were removed. The tumor is progesterone-receptor positive with a low S phase. Which of the following factors is most predictive of this patient’s survival?
Correct
Incorrect
Question 30 of 50
30. Question
A male newborn is cyanotic immediately after delivery. He was born at term to a healthy 27-year-old woman, gravida 3, para 2, after an uncomplicated pregnancy and vaginal delivery. Examination shows no respiratory effort and poor muscle tone. His pulse is 60/min. Positive pressure ventilation and aggressive stimulation are begun. Examination 5 minutes later shows active movement of the extremities, grimacing in response to pain, acrocyanosis, and a strong cry. His pulse is now 120/min. Which of the following is the most appropriate next step in management?
Correct
Incorrect
Question 31 of 50
31. Question
A 32-year-old woman comes to the physician because of a 1-month history of diarrhea, abdominal bloating, and loss of appetite resulting in a 3.6-kg (8-lb) weight loss. She reports three to four semiliquid stools daily. She has not had fever, abdominal pain, or rectal bleeding. She returned from a scuba diving vacation in Mexico 6 weeks ago; her boyfriend who accompanied her has not had similar symptoms. Abdominal and rectal examinations show no abnormalities. Which of the following is the most likely causal organism?
Correct
Incorrect
Question 32 of 50
32. Question
A4000-g (8-lb 13-oz) newborn has respiratory distress immediately after emergency cesarean delivery because of a prolapsed umbilical cord. He was born at term to a 24-year-old primigravid woman whose pregnancy was complicated by gestational diabetes. The newborn’s temperature is 36.7°C (98°F), pulse is 180/min, respirations are 60/min, and blood pressure is 60/40 mm Hg. Examination shows ecchymoses over the face and upper chest. There are mild subcostal and intercostal retractions. The remainder of the examination shows no abnormalities. An x-ray of the chest shows a left pleural effusion. A chest tube is inserted, and fluid is obtained; analysis shows clear fluid with numerous lymphocytes. Three days later, the newborn is breast-feeding without difficulty. Drainage from the chest tube is now milky. Which of the following is the most likely cause?
Correct
Incorrect
Question 33 of 50
33. Question
A 37-year-old woman comes to the physician for a routine health maintenance examination. She has no history of abnormal Pap smears or sexually transmitted diseases. Her only medication is an oral contraceptive. Pelvic examination shows no abnormalities. Results of a Pap smear show atypical glandular cells. Which of the following is the most appropriate next step in management?
Correct
Incorrect
Question 34 of 50
34. Question
An 8-year-old boy is brought to the emergency department because of blood in his urine for 24 hours. His older brother and maternal uncle have a chronic bleeding disorder characterized by recurrent hemarthroses and soft-tissue bleeding. Examination shows no abnormalities. Laboratory studies show:
Hematocrit: 32%
Leukocyte count: 8,000/mm³
Segmented neutrophils: 68%
Lymphocytes: 32%
Platelet count: 225,000/mm³
Bleeding time: 5 min
Prothrombin time: 12 sec (INR = 1)
Partial thromboplastin time: 50 sec
Plasma fibrinogen: 250 mg/dL (Normal = 200–400)
Which of the following is the most likely cause of this patient’s prolonged bleeding?
Correct
Incorrect
Question 35 of 50
35. Question
A new blood test to diagnose temporal arteritis is being evaluated using 100 patients with biopsy-proven temporal arteritis and 100 participants who do not have this disease. The blood test is found to have a sensitivity of 75% and specificity of 25%. Which of the following are the positive and negative predictive values of this test?
Option
Positive Predictive Value (%)
Negative Predictive Value (%)
A
25
50
B
25
75
C
50
50
D
50
75
E
75
25
F
75
75
Correct
Incorrect
Question 36 of 50
36. Question
A series of small studies are conducted during a 12-year period comparing daily consumption of one to three cups of coffee with the 5-year development of endometrial cancer; these studies yield mixed or nonsignificant results. A subsequent meta¬analysis of 15 of these studies is conducted. Each study met prespecified criteria. The results are shown. Which of the following is the most appropriate interpretation of the meta-analysis of coffee consumption and the risk for endometrial cancer?
Option
Risk for Endometrial Cancer
Statistical Significance
A
Decreased
Not significant
B
Decreased
Significant
C
Increased
Not significant
D
Increased
Significant
Correct
Incorrect
Question 37 of 50
37. Question
Three years after a state passed legislation eliminating mandatory helmet use for motorcycle riders, an investigator is studying the incidence of head injuries in motorcycle riders involved in motor vehicle collisions. The state’s motor vehicle department data during the past 3 years are analyzed. Results show that motorcycle riders between the ages of 18 and 25 years who did not wear a helmet were more likely to die during a collision; the same age group also had an increased morbidity rate from nonlethal head traumas. Which of the following is the most appropriate outcome measure to determine the overall public health impact of eliminating mandatory helmet use in motorcycle riders in the state?
Correct
Incorrect
Question 38 of 50
38. Question
A 13-year-old boy is brought to the office by his parents for a well-child examination. He is at the 10th percentile for height and 97th percentile for weight. The physician has counseled the patient about diet and exercise in the past, but his parents state that he has not changed his eating patterns. The parents add that he has become less involved in school activities, his grades are declining, and he is being bullied at school about his weight. Which of the following is the most appropriate next step in management?
Correct
Incorrect
Question 39 of 50
39. Question
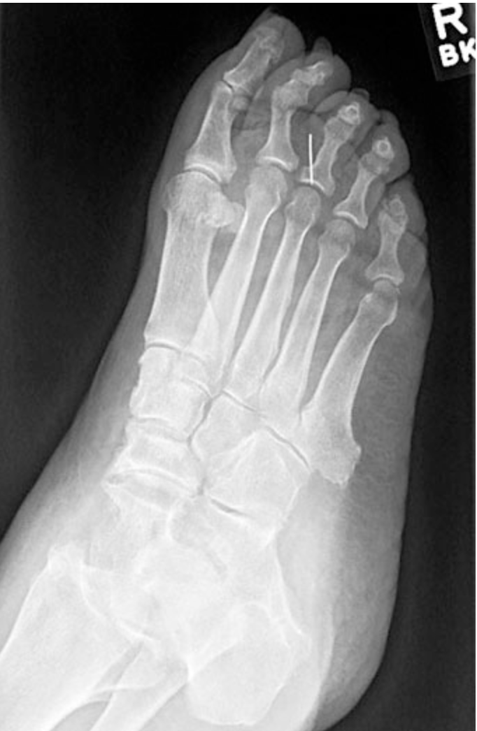
A 52-year-old woman comes to the physician because of a 1-week history of swelling of the ball of her right foot. She remembers that she saw a small area of blood on the floor after she rose to take a break from sewing. She was not wearing shoes at the time. When she looked, she did not see anything on her feet. She has type 2 diabetes mellitus, retinopathy, and hypertension. She does not measure her blood glucose concentration regularly; her last hemoglobin A1c4 weeks ago was 10%. Her medications are metformin, glyburide, and hydrochlorothiazide. She is 157 cm (5 ft 2 in) tall and weighs 109 kg (240 lb); BMI is 44 kg/m2. Her temperature is 37.8°C (100°F), and blood pressure is 145/85 mm Hg. Examination shows a 2-mm, superficial wound over the plantar aspect of the right foot between the second and third metatarsophalangeal joints. There is edema and tenderness to palpation over the right forefoot, particularly over the third metatarsophalangeal joint. Dorsalis pedis pulses are not palpable bilaterally. Semmes-Weinstein 5.07 monofilament testing shows decreased sensation over both feet. An x-ray of the right foot is shown. Which of the following is most likely to have prevented this patient’s current condition?
Correct
Incorrect
Question 40 of 50
40. Question
A 27-year-old nulligravid woman comes to the physician because she has been unable to conceive for 2 years. She also has had pain with sexual intercourse over the past 6 months. She has been otherwise healthy. Menarche was at the age of 13 years, and menses have occurred at regular 28-day intervals. Her last menstrual period was 1 week ago. Her temperature is 37°C (98.6°F), pulse is 80/min, respirations are 20/min, and blood pressure is 120/80 mm Hg. Abdominal examination shows right lower quadrant tenderness. Pelvic examination shows a 5-cm, tender, right adnexal mass. Laboratory studies show:
Hemoglobin: 12 g/dL
Leukocyte count: 9,000/mm³
Segmented neutrophils: 60%
Bands: 5%
Lymphocytes: 30%
Monocytes: 5%
Erythrocyte sedimentation rate (ESR): 15 mm/h
A urine pregnancy test is negative. Ultrasonography shows a 5-cm right adnexal mass containing low-level, homogeneous, internal echos. A biopsy specimen of the mass is most likely to show which of the following?
Correct
Incorrect
Question 41 of 50
41. Question
A 22-year-old primigravid woman at 22 weeks’ gestation is admitted to the hospital because of a 24-hour history of increasing abdominal pain, fever, nausea, and vomiting. Pregnancy has been uncomplicated, and she notes good fetal movement. She has not had pain with urination and had a bowel movement 2 days ago. Her temperature is 38.8°C (101.8°F), pulse is 100/min, and blood pressure is 100/60 mm Hg. Physical examination shows a tense abdomen with guarding and peritoneal signs; there is diffuse tenderness, more severe on the right, at the level of the umbilicus. The fetal heart rate is 150/min with no decelerations. There are no contractions. Her hematocrit is 33%, and leukocyte count is 16,000/mm3. Serum electrolyte concentrations are within the reference ranges, and urinalysis shows no abnormalities. Ultrasonography shows a normal gallbladder and no stones; the appendix cannot be seen. Which of the following is the most appropriate next step in management?
Correct
Incorrect
Question 42 of 50
42. Question
A 67-year-old woman, who is receiving hospice care for emphysema, has a 3-month history of progressive urinary incontinence with laughing and coughing. She is now afraid and embarrassed to laugh. She has not had pain with urination, urinary urgency, or nocturia. Current treatment includes inhaled bronchodilators, theophylline, and oxygen supplementation. She appears older than her age. Abdominal examination shows a soft, nontender abdomen; the bladder is not palpable. Pelvic examination shows a normal¬appearing vagina, nontender cervix, and a small, anteverted uterus. Which of the following is the most likely cause of this patient’s incontinence?
Correct
Incorrect
Question 43 of 50
43. Question
A 77-year-old woman is admitted to the hospital because of a 1 -day history of nausea, vomiting, and confusion. She has hypertension, coronary artery disease, and hyperlipidemia. Her medications are atorvastatin, diltiazem, and 81-mg aspirin. She is 168 cm (5 ft 4 in) tall and weighs 50 kg (110 lb); BMI is 18 kg/m2. Her temperature is 36.9°C (98.4°F), pulse is 92/min and regular, and blood pressure is 160/70 mm Hg. Pulse oximetry on room air shows an oxygen saturation of 84%. Examination shows a jugular venous pressure of 9 cm H20 (N=5-9). Crackles are heard over the midlung fields. On cardiac examination, a three-component friction rub is heard. There is 2+ pretibial edema. On mental status examination, she is oriented to person but not to place or time. Laboratory studies show:
Serum
Sodium (Na⁺): 132 mEq/L
Potassium (K⁺): 5.2 mEq/L
Chloride (Cl⁻): 100 mEq/L
Bicarbonate (HCO₃⁻): 19 mEq/L
Urea nitrogen: 80 mg/dL
Creatinine: 3.5 mg/dL
Urine
Blood: 3+
Protein: 1+
Red blood cells (RBC): 1/hpf
White blood cells (WBC): 0/hpf
Which of the following is the most appropriate next step in management?
Correct
Incorrect
Question 44 of 50
44. Question
A 43-year-old man is brought to the emergency department by his wife because of a 1-week history of persistent fever, moderate abdominal pain, nausea, and vomiting. Medical history is unremarkable, and he takes no medications. He usually drinks at least one pint of whiskey daily but stopped 1 week ago because of his symptoms. He has had limited food intake during the past week; he has been able to keep down some water and a nutritional supplement shake that his wife convinced him to drink. The patient appears jaundiced and weak. He is 183 cm (6 ft) tall and weighs 72 kg (158 lb); BMI is 21 kg/m2. Temperature is 38.4°C (101.1 °F), pulse is 111 /min, respirations are 14/min, and blood pressure is 103/66 mm Hg. Physical examination shows conjunctival icterus, thin extremities, numerous spider angiomata over the upper chest, and mild gynecomastia. Abdominal examination discloses moderate distention; no fluid wave is present. The liver edge is palpated 2 cm below the costal margin; there is marked tenderness to palpation over the liver. Muscle strength is 4/5 in the proximal aspects of all extremities. Hyperreflexia and asterixis is noted. The patient is slow to answer questions. He is oriented to person and place but not to time. Results of laboratory studies are shown:
Serum
Alkaline phosphatase: 120 U/L
ALT: 134 U/L
AST: 277 U/L
Bilirubin: 13.4 mg/dL
Calcium: 7.6 mg/dL
Urea nitrogen: 3 mg/dL
Creatinine: 2.2 mg/dL
Sodium (Na⁺): 133 mEq/L
Potassium (K⁺): 3.6 mEq/L
Chloride (Cl⁻): 97 mEq/L
Bicarbonate (HCO₃⁻): 21 mEq/L
Magnesium: 1.5 mg/dL
Phosphorus: 3.0 mg/dL
Albumin: 2.3 g/dL
Blood
Hematocrit: 30%
Hemoglobin: 10.1 g/dL
White blood cell count (WBC): 17,200/mm³
Platelet count: 104,000/mm³
Prothrombin time: 22 seconds
INR: 1.8
Results of which of the following are most likely to be abnormal in this patient?
Correct
Incorrect
Question 45 of 50
45. Question
A 27-year-old woman comes to the physician for a follow-up examination. Six months ago, she began treatment with a proton pump inhibitor for heartburn. Despite increasing the dosage to the maximum amount, her heartburn has not been relieved. She otherwise feels well and has had no weight loss. Examination today shows no abnormalities. Test of the stool for occult blood is negative. Which of the following is the most appropriate next step in management?
Correct
Incorrect
Question 46 of 50
46. Question
A 62-year-old man comes to the physician because of a 4-week history of intermittent epigastric pain, nausea, and fatigue. He has not had any other symptoms. He has no history of serious illness and takes no medications. Vital signs are within normal limits. The abdomen is flat and nontender. Test of the stool for occult blood is positive. His hemoglobin concentration is 10 g/dL, and hematocrit is 30%. Esophagogastroduodenoscopy shows nonspecific gastritis with a few gastric ulcerations. Biopsy specimens of the gastric mucosa show mucosa-associated lymphoid tissue (MALT) lymphoma. Which of the following is the most appropriate initial step in management?
Correct
Incorrect
Question 47 of 50
47. Question
A 57-year-old woman with mixed connective tissue disease comes to the physician for a follow-up examination. She has a 6-month history of fatigue and progressive shortness of breath on exertion that improves within a few minutes of rest. She occasionally has a nonproductive cough when lying down. She has not noticed any wheezing. Her medications include prednisone and azathioprine. She works in an office as a secretary. She has never smoked cigarettes. She is 158 cm (5 ft 2 in) tall and weighs 70 kg (155 lb); BMI is 28 kg/m2. Her temperature is 37°C (98.6°F), pulse is 68/min, respirations are 16/min, and blood pressure is 120/72 mm Hg. Pulse oximetry on room air shows an oxygen saturation of 97% at rest. Dry crackles are heard at both lung bases; they do not clear completely with coughing. Pedal pulses are 2+, and there is trace ankle edema bilaterally. Which of the following is the most appropriate next step in diagnosis?
Correct
Incorrect
Question 48 of 50
48. Question
A 92-year-old woman comes to the physician because of a 2-month history of an enlarging lump in her neck. She has congestive heart failure and type 2 diabetes mellitus. Her medications are digoxin, hydrochlorothiazide, and metformin. She had smoked one pack of cigarettes daily for 55 years but quit 17 years ago. She appears well developed and well nourished. Her temperature is 37°C (98.6°F), pulse is 72/min and irregular, respirations are 20/min, and blood pressure is 150/80 mm Hg. Examination of the ears, nose, mouth, and posterior pharynx shows no abnormalities. A 3-cm, firm mass is palpated at the left mandibular angle. The remainder of the examination, including chest x-ray, shows no abnormalities. Which of the following is the most appropriate next step in diagnosis?
Correct
Incorrect
Question 49 of 50
49. Question
A 32-year-old woman comes to the physician for a routine examination. She feels well. Two years ago, she underwent hysterectomy because of leiomyomata uteri. Her only medications are a multivitamin and calcium and vitamin D supplementation. She received the bCG vaccine as a child. Her mother was diagnosed with breast cancer at the age of 61 years. The patient emigrated from China 3 years ago. She does not smoke cigarettes or drink alcohol. She eats a “prudent” diet. She does not exercise. She works as a biologist studying obesity with murine models. She is sexually active and monogamous with her husband of 6 years. Vital signs are within normal limits. Examination shows no abnormalities. A PPD skin test shows 12 mm of induration at 48 hours. A chest x-ray shows no abnormalities. Which of the following is the most appropriate next step in management?
Correct
Incorrect
Question 50 of 50
50. Question
A 72-year-old man comes to the physician because of a 3-month history of swelling and discoloration of his right leg. He describes his symptoms as mildly uncomfortable but not painful. He received the diagnosis of deep venous thrombosis 8 months ago after undergoing total knee replacement; he received warfarin therapy for 6 months, and his INR remained at 2 to 3 during this period. He has hyperlipidemia treated with atorvastatin. Vital signs are within normal limits. Examination of the right lower extremity shows reddish-brown hyperpigmentation below the knee; there is edema and tenderness to palpation below the knee. There are well-healed arthroscopic scars over the knee. Distal pulses are intact. Venous duplex ultrasonography shows no abnormalities. Which of the following is the most likely diagnosis?
Correct
Incorrect
لا تفوّت فرصتك!
احصل على تجربة مجانية لدورة USMLE
محتوى مختار من المحاضرات، الكتب، بنك الأسئلة مع فيديوهات قصيرة لحل الأسئلة، والفلاش كاردز.